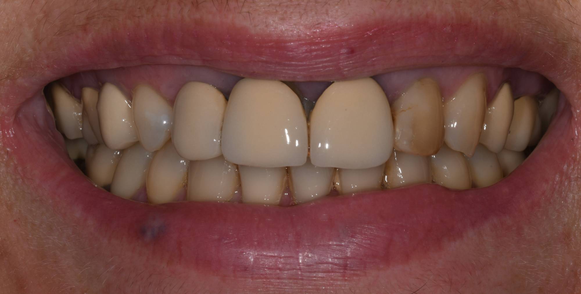
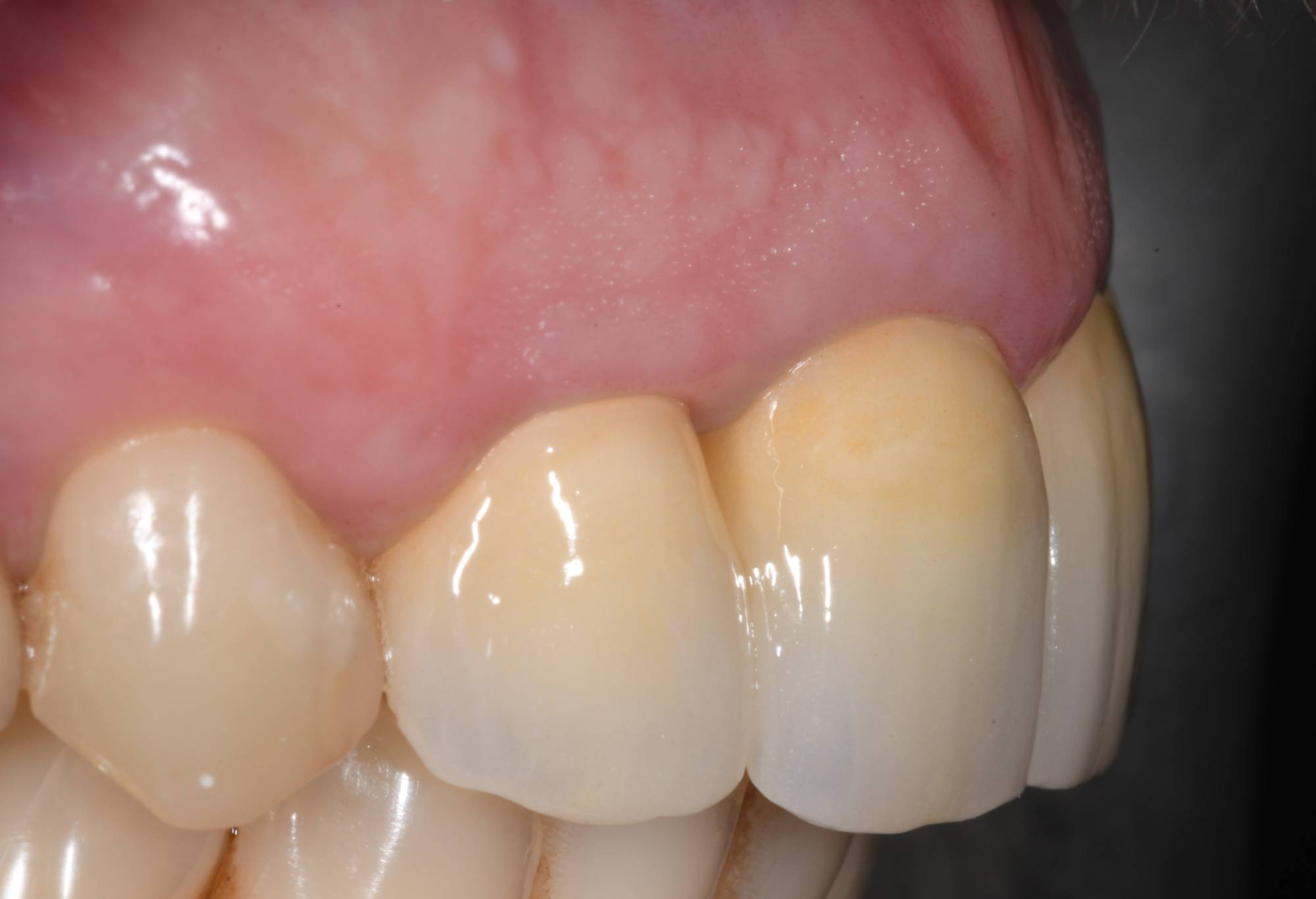
Corone in zirconia-ceramica degli incisivi superiori

DSC_2694-bis-min
DOPO- Sorriso
DSC_2696-bis-min
DOPO- Visione frontale
DSC_2692-bis-min
DOPO- Lato destro
DSC_2690-min
DOPO- Lato sinistro
DSC_2680-bis-min
DOPO- Dettaglio incisivi
DSC_2236-bis-min
PRIMA- Sorriso
DSC_2258-bis-min
PRIMA- Visione frontale
DSC_2239-bis-min
PRIMA- Lato sinistro
DSC_2238-bis-min
PRIMA- Lato destro
DSC_2254-bis-min
PRIMA- Dettaglio incisivi
Tutti i casi clinici