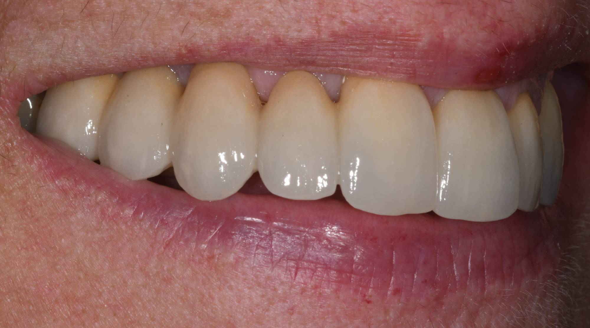
Riabilitazione arcata superiore con corone in zirconia-ceramica

DSC_3050
DOPO - Sorriso
DSC_3054
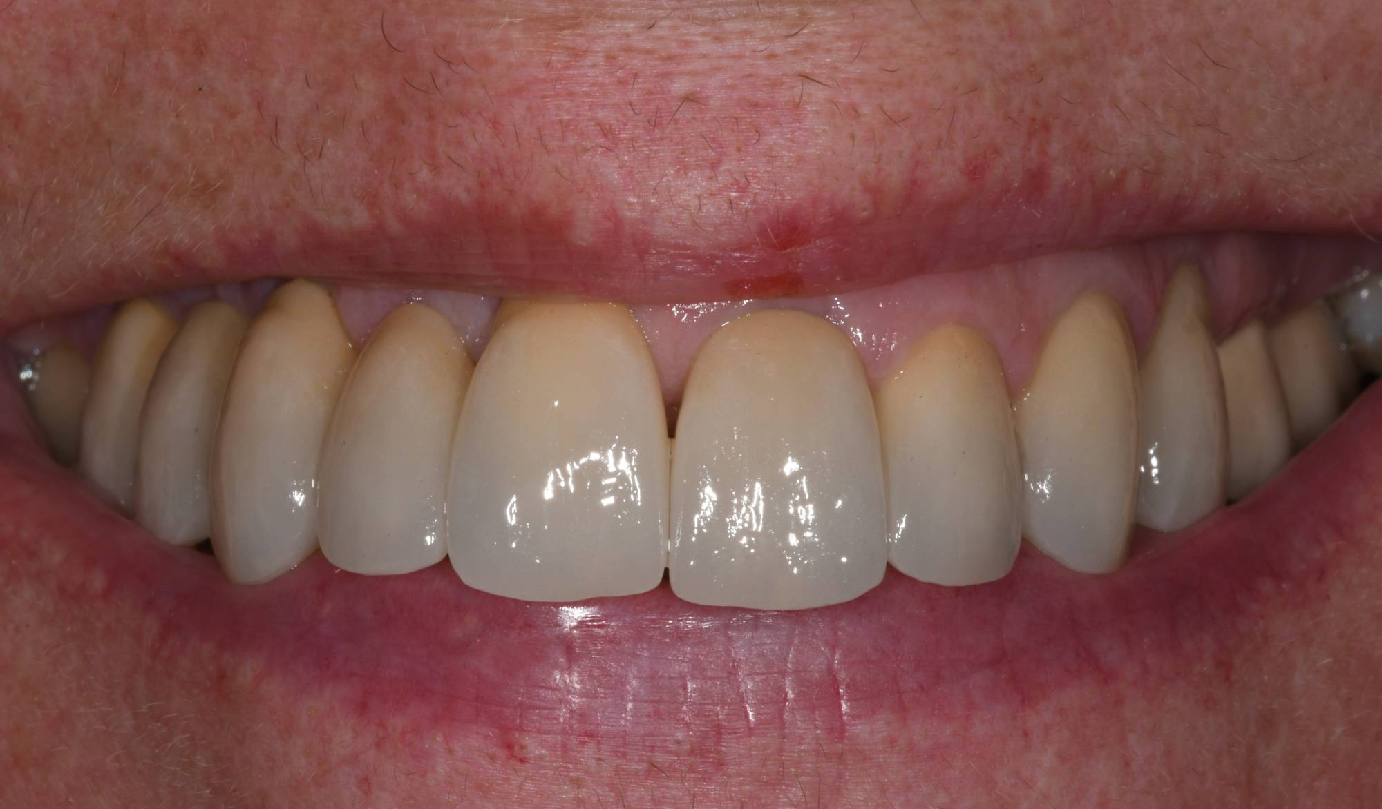
DOPO- Lato destro
DSC_3051.jpg-bis
DOPO- Lato Sinistro
DSC_3022-bis (1)
Dettaglio corone lato esterno
DSC_3024-bis (1)
Dettaglio corone lato interno
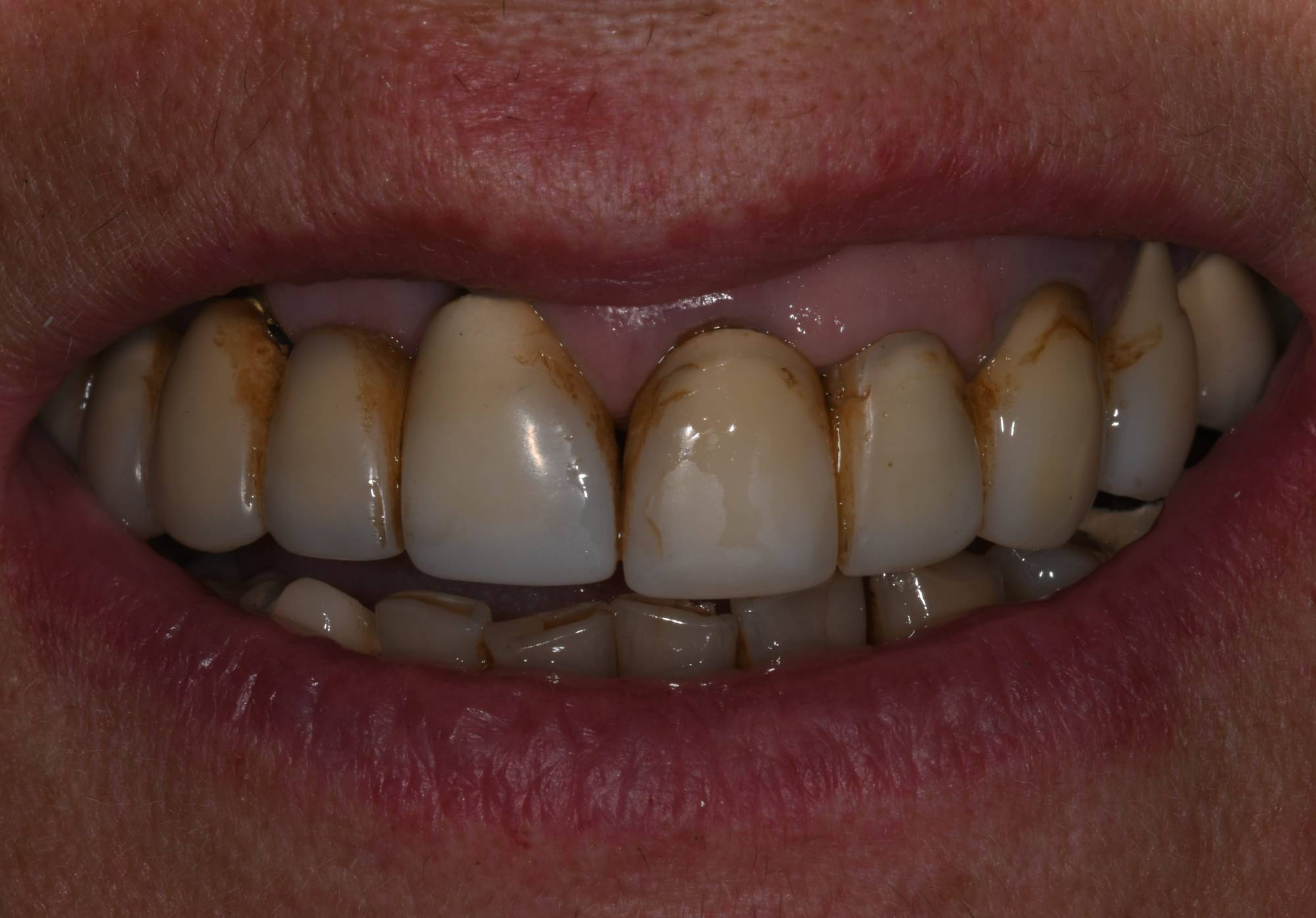
DSC_1727.jpg-bis
PRIMA- Sorriso
DSC_1732
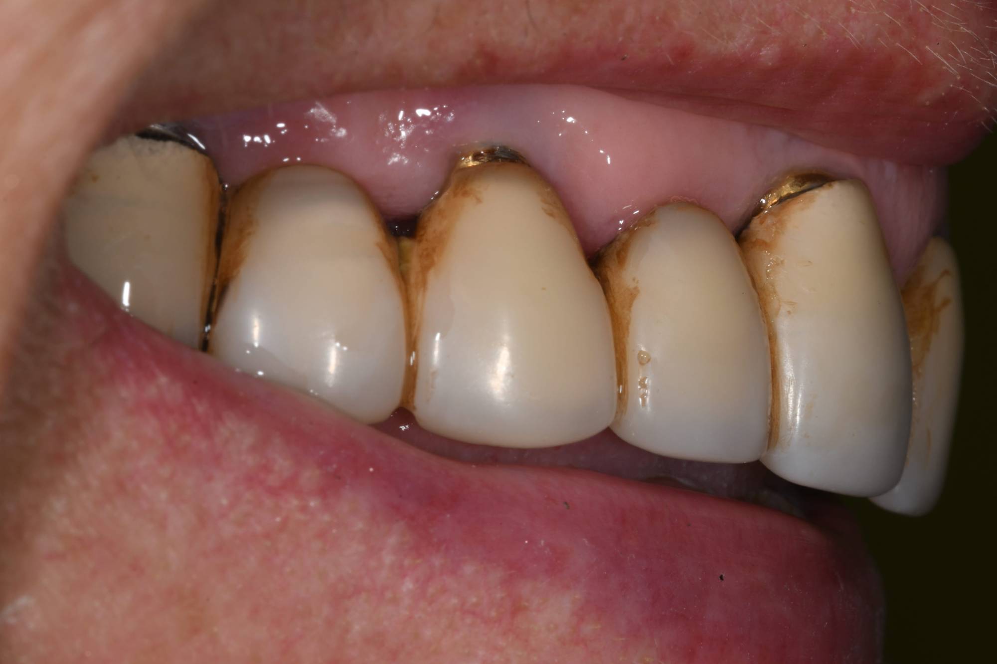
PRIMA- Lato destro
DSC_1730
PRIMA- Lato sinistro
Tutti i casi clinici