Tel. 0362 996562
Orari
Home
Studio
La nostra filosofia
Tecnologie
Team
Cosa dicono i pazienti
Terapie
Odontoiatria generale
Odontoiatria laser
Odontoiatria estetica
Informazioni paziente
Il primo appuntamento
Valutazione del sorriso
Istruzioni post terapia
Domande frequenti
Casi clinici
News
Contatti
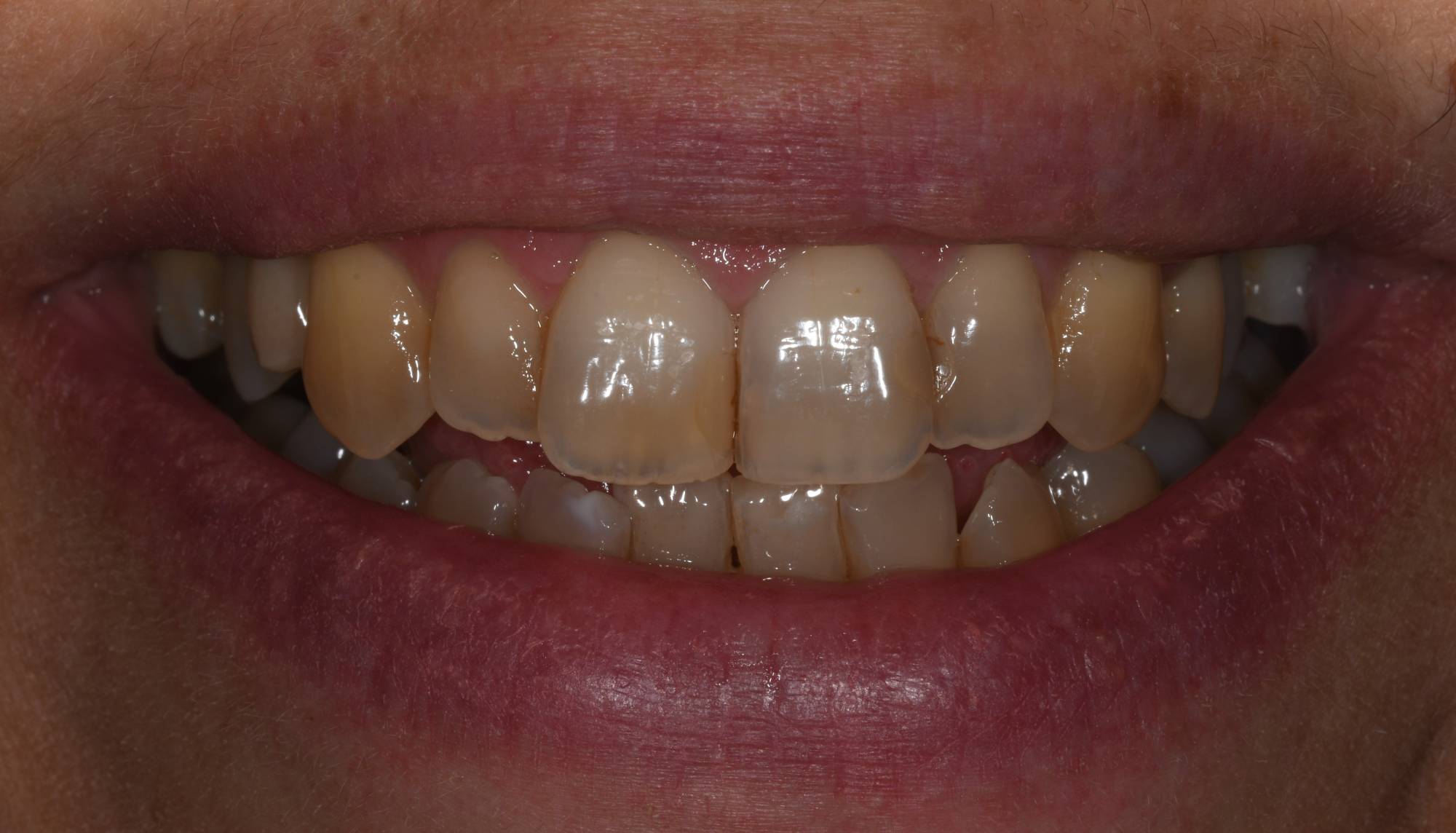
Sbiancamento dentale domiciliare
DOPO
PRIMA
Tutti i casi clinici