Tel. 0362 996562
Orari
Home
Studio
La nostra filosofia
Tecnologie
Team
Cosa dicono i pazienti
Terapie
Odontoiatria generale
Odontoiatria laser
Odontoiatria estetica
Informazioni paziente
Il primo appuntamento
Valutazione del sorriso
Istruzioni post terapia
Domande frequenti
Casi clinici
News
Contatti
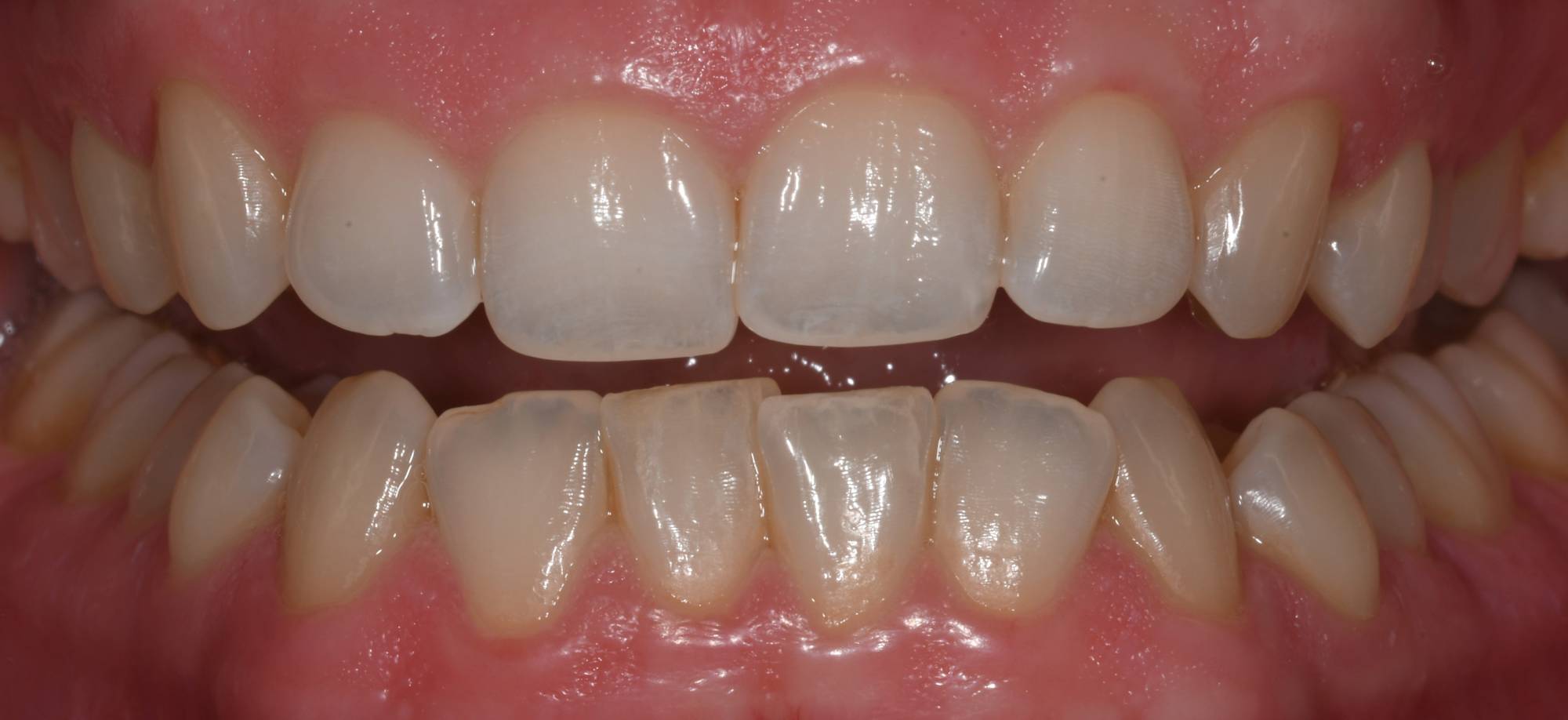
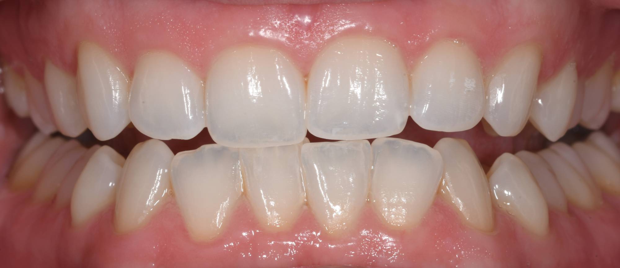
Sbiancamento dentale domiciliare 3
DOPO
PRIMA
Tutti i casi clinici