Addenta la vita!
La foto della ragazza che vedi qui sotto sembra essere stata scattata con la bocca aperta. Infatti si vede bene la lingua, ma se ci fai caso i denti posteriori sono a contatto. Inoltre l’arcata superiore è più stretta di quella inferiore, esattamente il contrario del normale. Questo è il classico caso che noi dentisti chiamiamo morso aperto e incrociato, una condizione complicata dal punto di vista ortodontico. Hai una vaga idea della difficoltà di masticazione, fonazione e aspetto estetico che la paziente ha subito per anni? Si vergognava di sorridere. Quando è arrivata nel mio Studio in questa condizione aveva già subito 7 anni di terapia ortodontica. Ma non aveva risolto il problema, anzi, a dir suo era peggiorato.
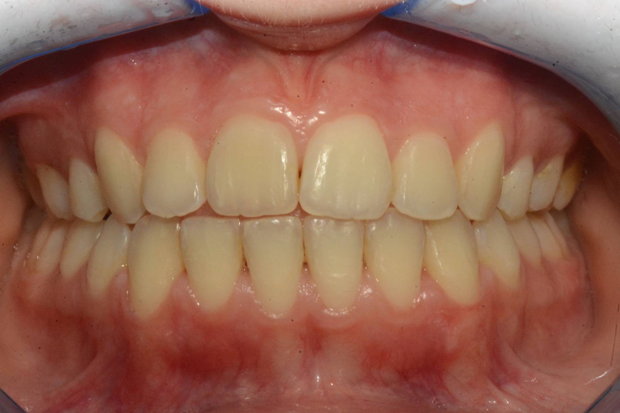
Io e il mio collega ortodontista dott. Cantù abbiamo studiato attentamente il caso e proposto la nostra soluzione. Ho applicato i brackets (gli attacchi metallici) sui denti e dopo 3 anni di terapia ortodontica abbiamo ottenuto il risultato che puoi vedere nell’altra foto. L’arcata superiore è correttamente più larga dell’inferiore e il morso aperto anteriore è stato chiuso al meglio del possibile considerando il punto di partenza. La soddisfazione della paziente è stata enorme: migliore masticazione, migliore estetica (ha “cambiato faccia”) e maggiore sicurezza in se stessa. Adesso affronta la vita con più spensieratezza. Nello Studio dentistico del dott. Fabio Ballestrasse anche l'ortodonzia viene eseguita a regola d'arte!

