Anno nuovo, sorriso nuovo
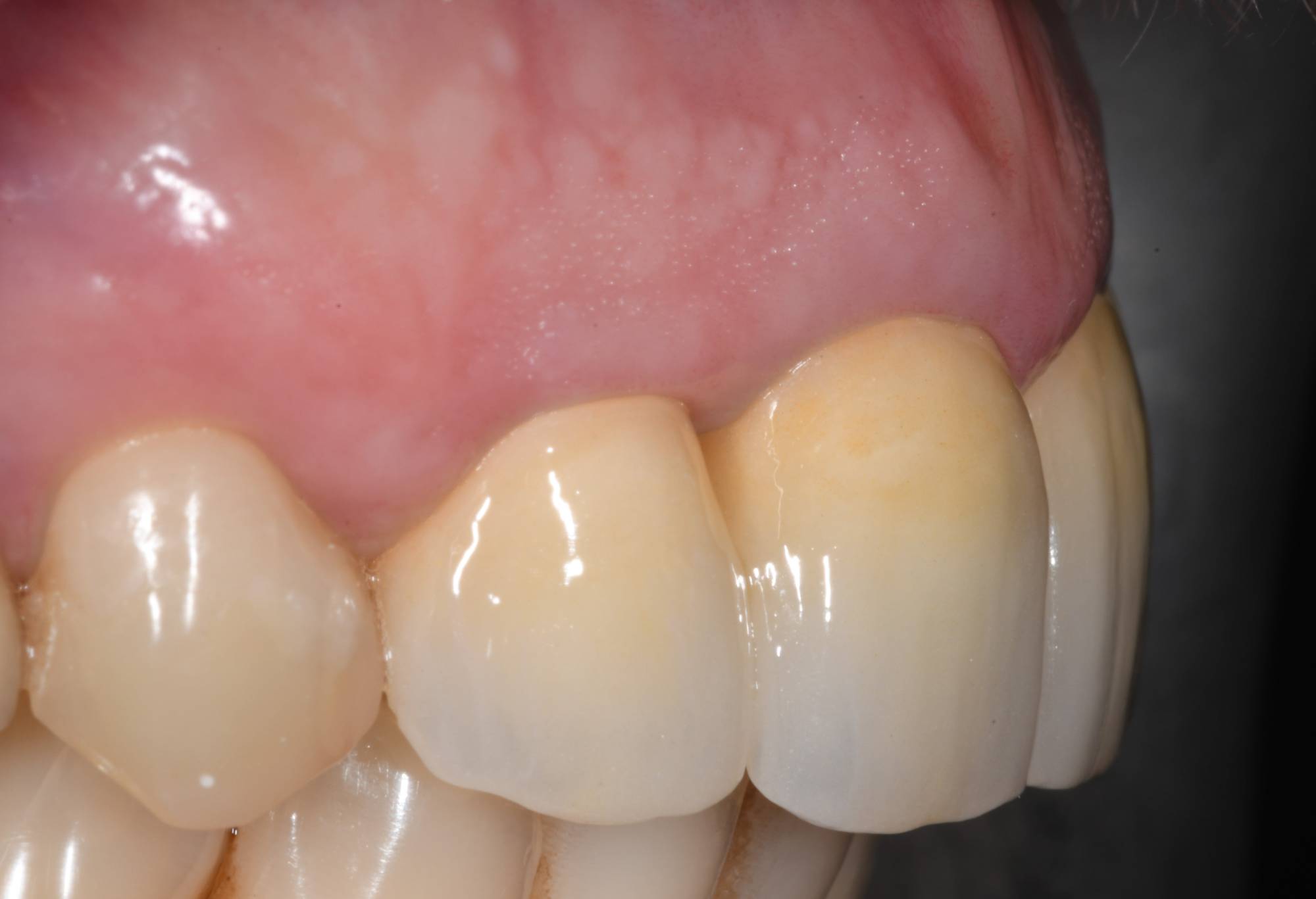
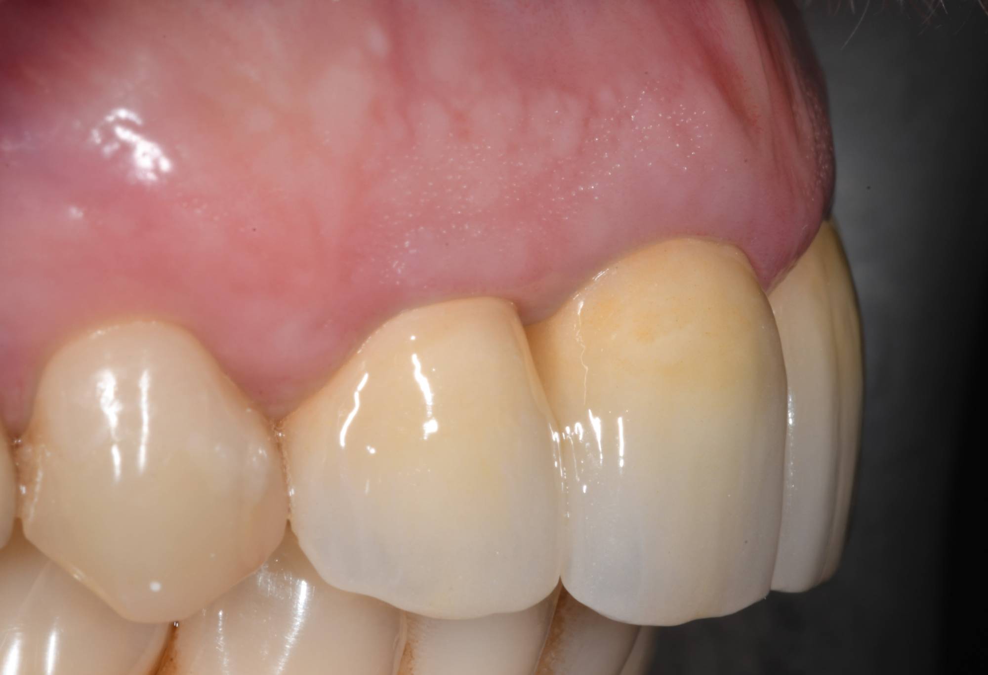
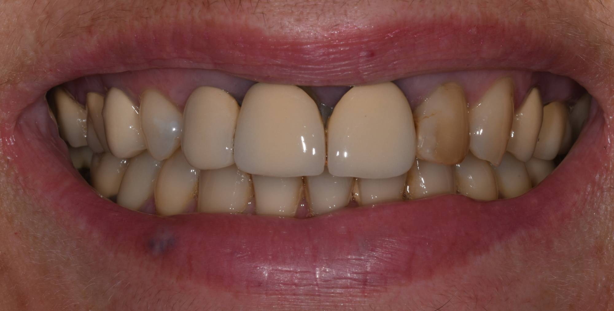
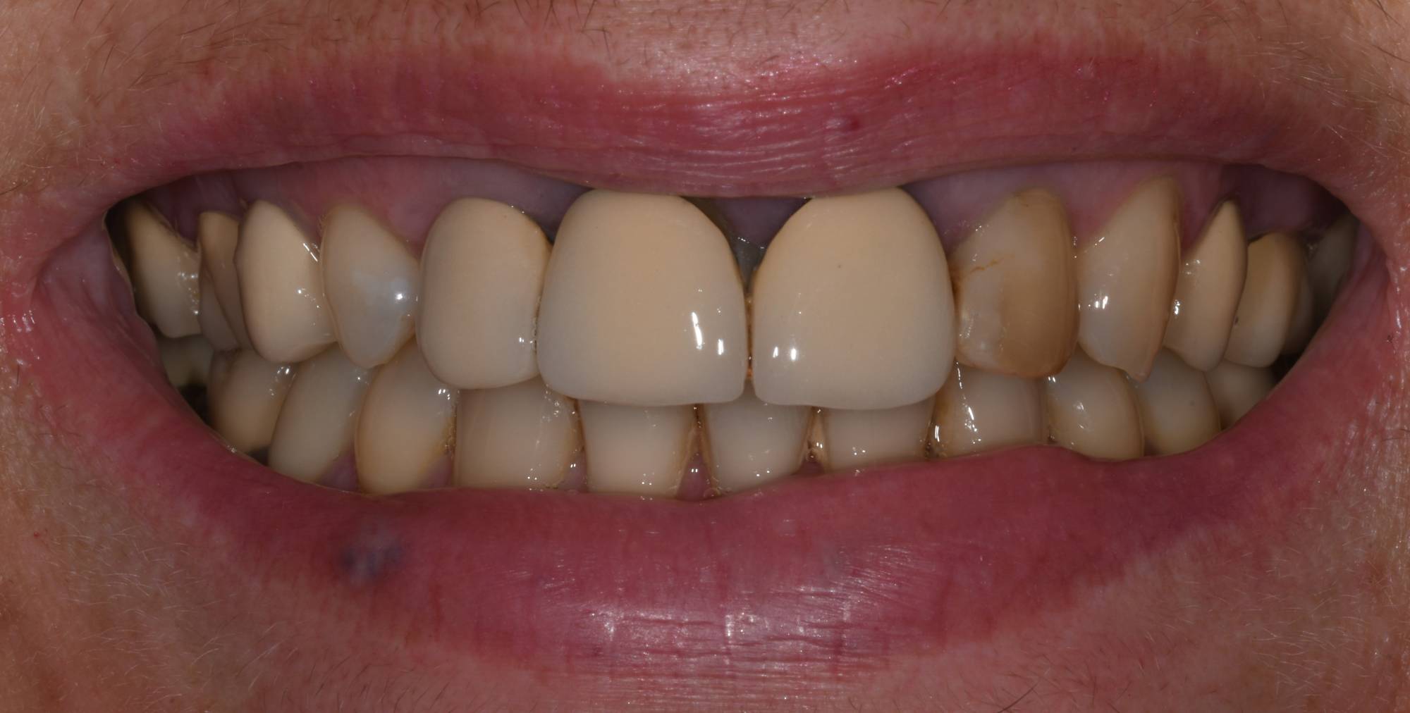
Le prime 5 foto che vedi appartengono ad una mia paziente che si è fatta un “lifting” al sorriso. Come puoi notare, gli elementi frontali sembrano tutti denti naturali, senza trucco e senza inganno. Il suo sorriso è armonioso e spontaneo; naturale e assolutamente gradevole. Ma se guardi le successive 5 foto, osserva bene da come partiva la sua estetica. Aveva vecchie capsule in metallo-ceramica dall’aspetto finto sui denti frontali, un incisivo laterale molto ingiallito (perché devitalizzato tanti anni fa) e i denti molto sporgenti in avanti, come vedi nelle foto di profilo. Adesso che hai visto l’aspetto iniziale, torna sulle foto di fine lavoro. Nessuno potrebbe sospettare che si tratti del lavoro di un dentista. Il sorriso deve essere bello e naturale, questo è il mantra dello Studio dentistico del dott. Fabio Ballestrasse di Besana Brianza, esperto in estetica dentale. Se vuoi iniziare il 2026 con uno splendido sorriso, adesso sai cosa fare.









