Attenzione: non farlo, è pericoloso!
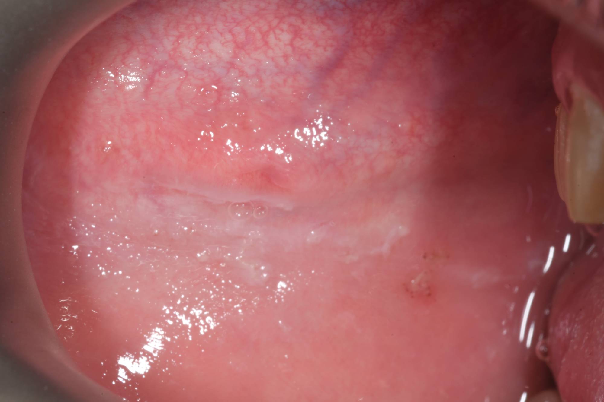
Alcune persone hanno il vizio di mordersi l’interno della guancia. Lo fanno mentre sono concentrate sul lavoro, quando sono preoccupate, nervose o arrabbiate. Un po' alla volta diventa un vizio e senza accorgersene continuano a farlo sempre più spesso. Ad un certo punto la mucosa della guancia inizia a modificarsi e dal solito colore rosa inizia a diventare biancastra, si forma quello che noi odontoiatri chiamiamo “linea alba”. E’ una striscia biancastra che segue la linea dei denti, spesso in rilievo e frastagliata, guarda la foto. Questo succede perché il continuo traumatismo comporta una displasia (differenziazione cellulare diversa dal normale) delle cellule della mucosa fino a trasformarle a volte in leucoplachia, una lesione bianca caratterizzata da un’alterazione morfologica tissutale nella quale è più probabile l’evoluzione neoplastica rispetto ai tessuti sani. Il rischio che tale lesione si trasformi in cancro orale è del 5-10%. Nel caso di dubbio è opportuno eseguire una biopsia per l’analisi istologica, pratica che lo Studio dentistico del dott. Fabio Ballestrasse a Besana Brianza (MB) esegue senza problemi. Oltre al traumatismo locale, altri fattori di rischio sono il fumo e l’alcol. Sicuramente tu non fumi e non bevi, ma se hai il vizio di morderti le guance, smetti subito, stai correndo un grosso rischio!
