Cambio di marcia
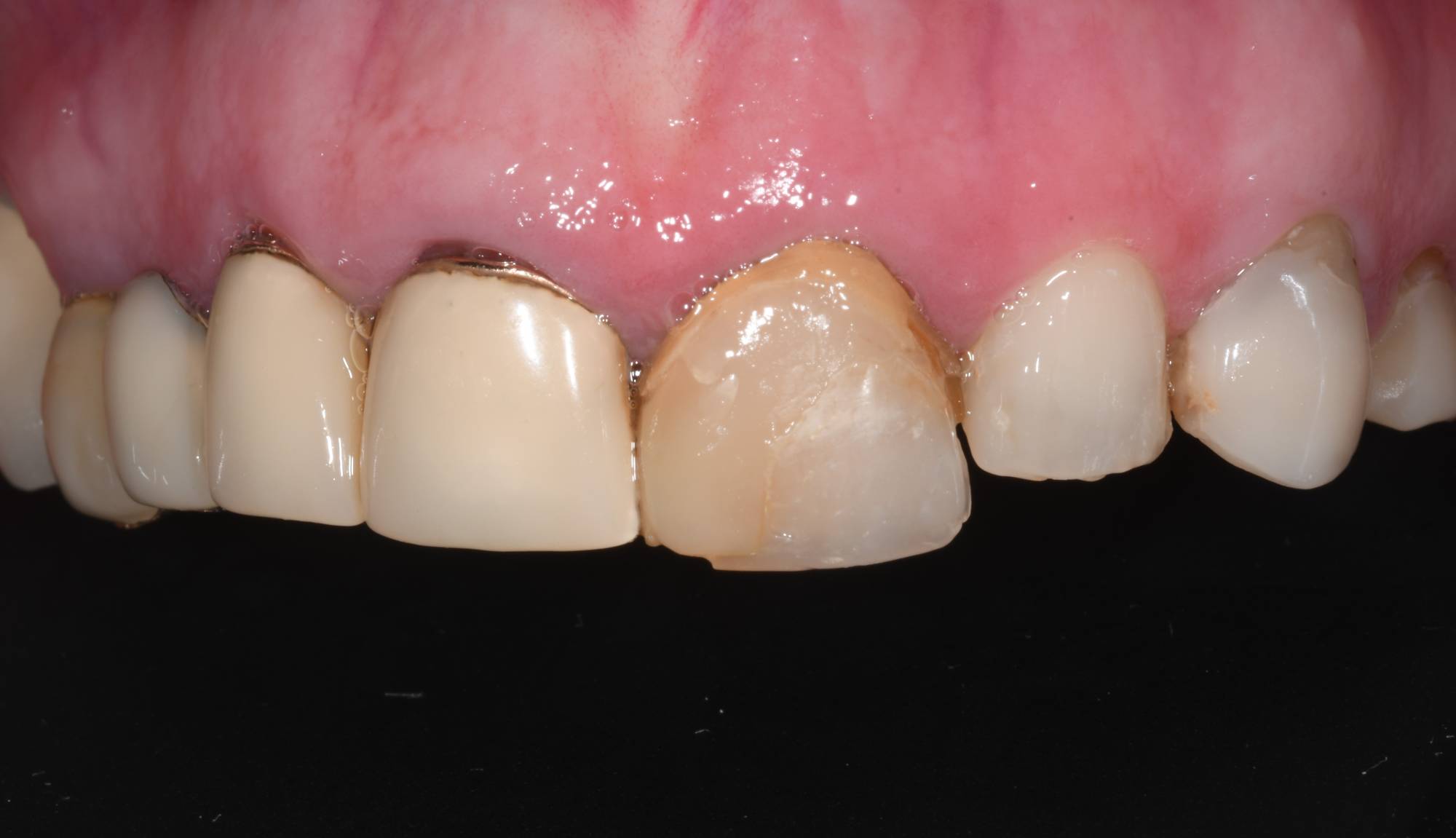
Non sorridere perché ci si vergogna dei propri denti, girarsi dall’altra parte se si scoppia in una risata, disagio nel chiacchierare tra amici, evitare di inquadrare il volto in una foto. La donna nella prima foto aveva già subito vari interventi odontoiatrici pur essendo giovane, e più il tempo passava e più cresceva la sua insoddisfazione per un sorriso che riteneva brutto, disarmonico e falso.
I denti nella foto numero uno danno l’impressione di essere finti, artificiali. Nessuna traslucenza, gengive ritirate che evidenziano il margine protesico in metallo delle vecchie capsule. Se devi effettuare delle cure odontoiatriche in un settore di massima importanza estetica, l’aspetto più importante è che il risultato non sia solo bello, ma che soprattutto sia naturale. Questo è il mantra dello Studio di Besana Brianza.
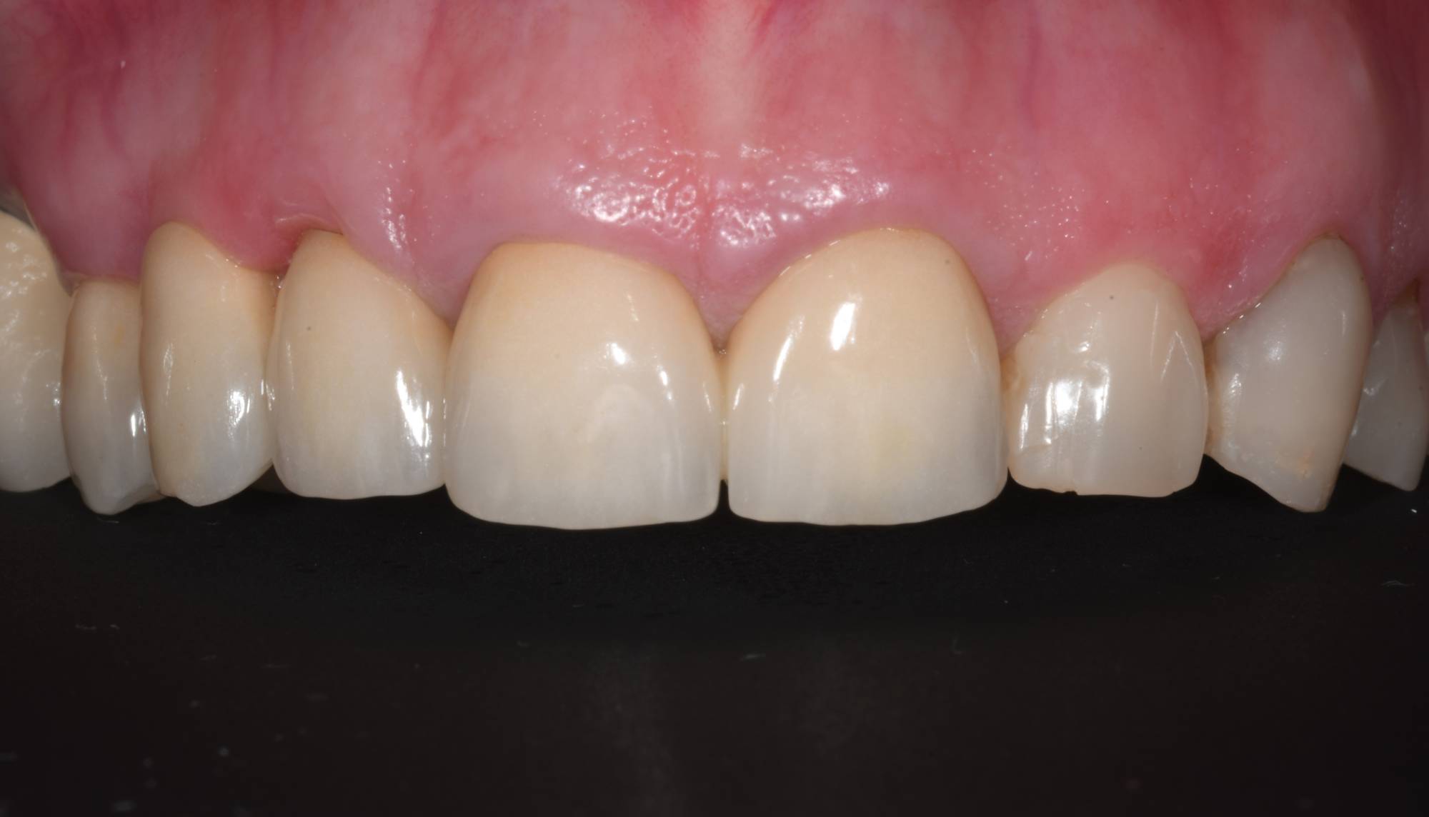
Adesso guarda le altre foto e come il dott. Ballestrasse le ha cambiato il sorriso: non si riesce a capire quali siano i denti artificiali e quali quelli naturali. L’odontoiatria estetica è data dal giusto mix di forme armoniche, contorni naturali, corretto adattamento alle gengive, mimetismo perfetto e soprattutto naturalezza e imitazione dei denti adiacenti. Il risultato del cambiamento del suo sorriso lo puoi percepire nelle altre foto: autostima, sicurezza in sé stessa e grinta nell’affrontare la vita. Pensaci, puoi farlo anche tu.


