Carico immediato full arch in implantologia
Sai di cosa si tratta? Se ad una persona mancano dei denti, in una zona d’impatto estetico o addirittura in tutta l’arcata, allora sorridere e mangiare diventa un grosso problema. Se si vuole risolvere l’edentulia con gli impianti, di solito dopo l’intervento chirurgico poi bisogna aspettare qualche mese prima di poterci fissare sopra una protesi, dal momento che bisogna aspettare l’osteointegrazione. La buona notizia è che c’è una tecnica per poterli rimpiazzare velocemente: l’implantologia a carico immediato.
Si mettono cioè gli impianti e si esegue subito un’impronta, in modo da poter rimettere i denti persi entro 48 ore. Così i tempi vengono ridotti. Se abiti a Giussano puoi venire a Besana Brianza dal dott. Fabio Ballestrasse.
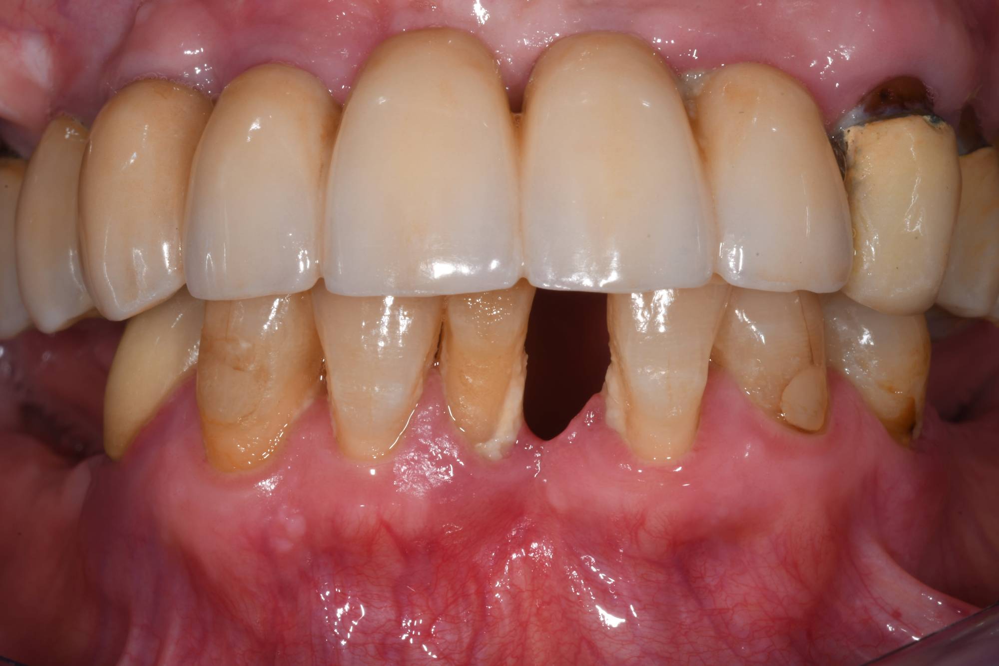
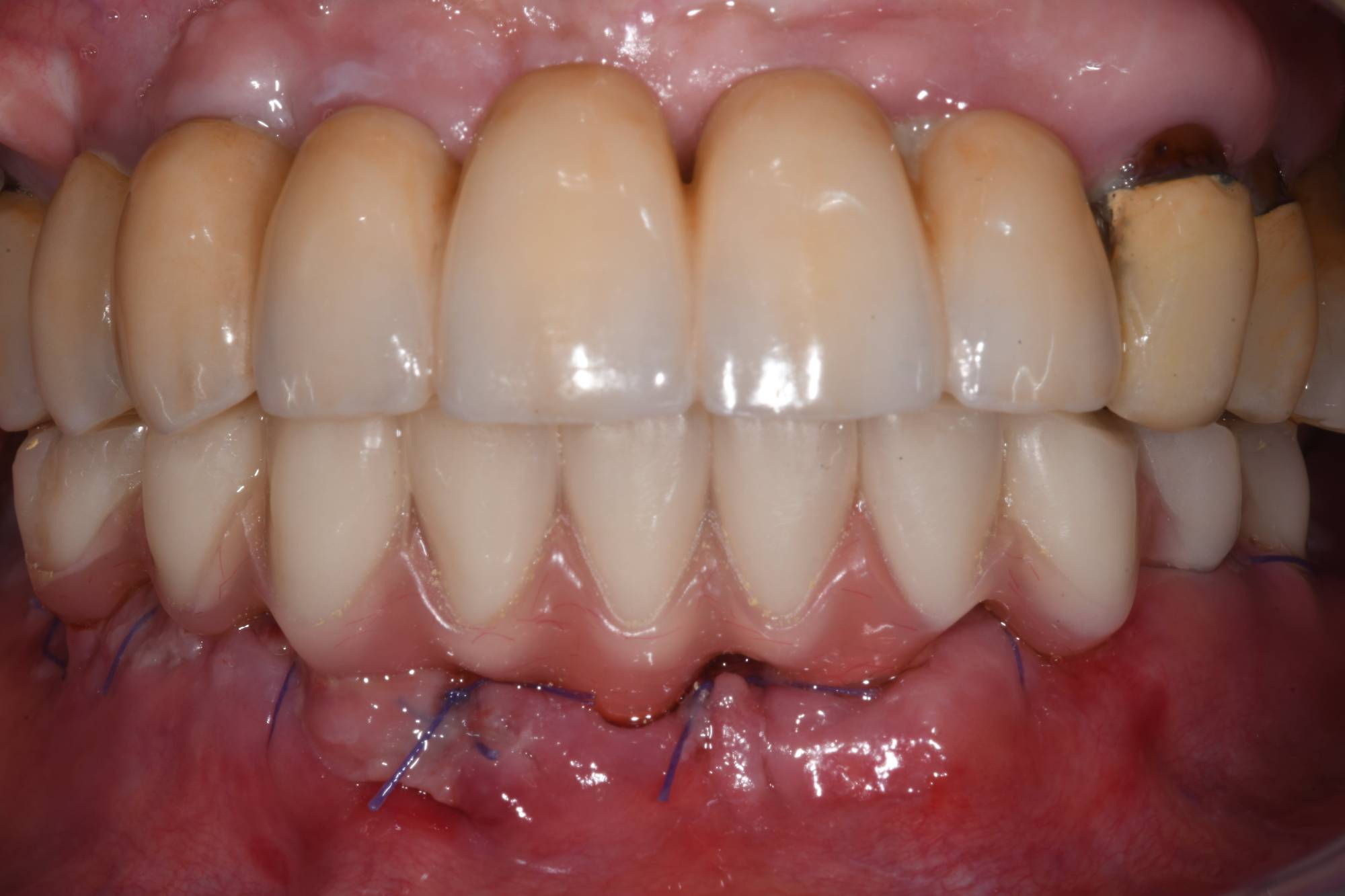
Come vedi dalle foto qui sotto, la paziente aveva perso numerosi denti e i 7 rimanenti erano malmessi, non poteva più sorridere e mangiare. Per cui li ho estratti e ho inserito gli impianti necessari per rimpiazzare tutta l’arcata, full arch, come dicono gli americani. Nel giro di 2 giorni ha ritrovato il sorriso e funzione con una protesi fissa provvisoria saldamente avvitata agli impianti. Si vedono ancora i punti di sutura che poi le toglierò tra 2 settimane. E tra altri 6 mesi avrà una protesi fissa definitiva, più estesa ed estetica di quella provvisoria!
Questa tecnica è adatta per sostituire anche un singolo dente, oltre che un’arcata intera!
I vantaggi sono:
• sostituzione dei denti subito dopo l’intervento chirurgico
• ripristino veloce dell’estetica e della funzione
• ridotto numero di sedute e minore stress

