Da quasi zero all'arcata fissa
Se sei nella situazione della signora che vedi nella prima foto, sarà il caso di correre ai ripari.
Come puoi vedere, la paziente si è presentata con pochi denti residui, “traballanti”; faceva fatica a mangiare e presentava disagi nella vita quotidiana. Ha deciso di usufruire della tecnica del “carico immediato” che consiste nell’estrarre i denti residui irrecuperabili, inserire gli impianti osteointegrati e prendere subito un’impronta.
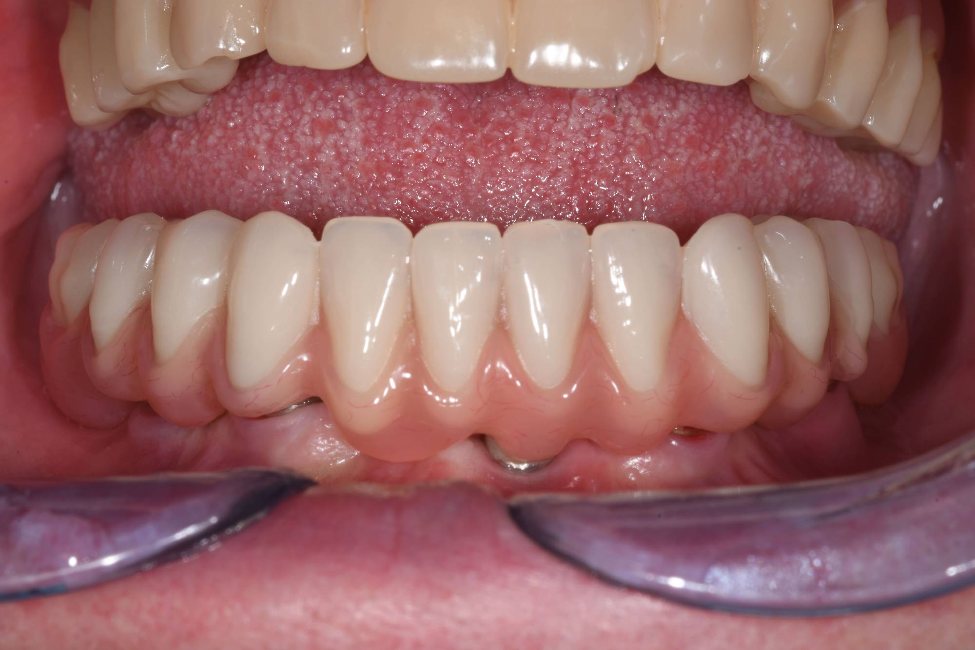
Una sola seduta, lo stress una volta sola, e dopo 2 giorni dall’intervento ho avvitato agli impianti un ponte provvisorio fisso. E già da quel momento la qualità di vita della paziente è cambiata totalmente. Dopo 5 mesi ho realizzato la protesi fissa definitiva, più estesa della precedente, che vedi nella seconda foto, migliorando ulteriormente estetica e funzione.
Ma parliamoci chiaro: in odontoiatria ogni caso deve essere individualizzato e studiato su misura. Lo scopo è offrire ad ogni paziente le migliori alternative terapeutiche. Non a tutti si può eseguire il carico immediato, ogni caso va valutato con attenzione, come da protocollo del dott. Fabio Ballestrasse di Besana Brianza.
In linea generale, l’implantologia a carico immediato si può eseguire per sostituire un dente singolo, alcuni denti o un’arcata intera come in questo caso.
Casa puoi ottenere con l’implantologia a carico immediato?
· Denti fissi poche ore dopo l’intervento chirurgico
· ripristino veloce dell’estetica e della funzionalità
· ridotto numero di sedute e minore stress

