Dalla sera alla mattina
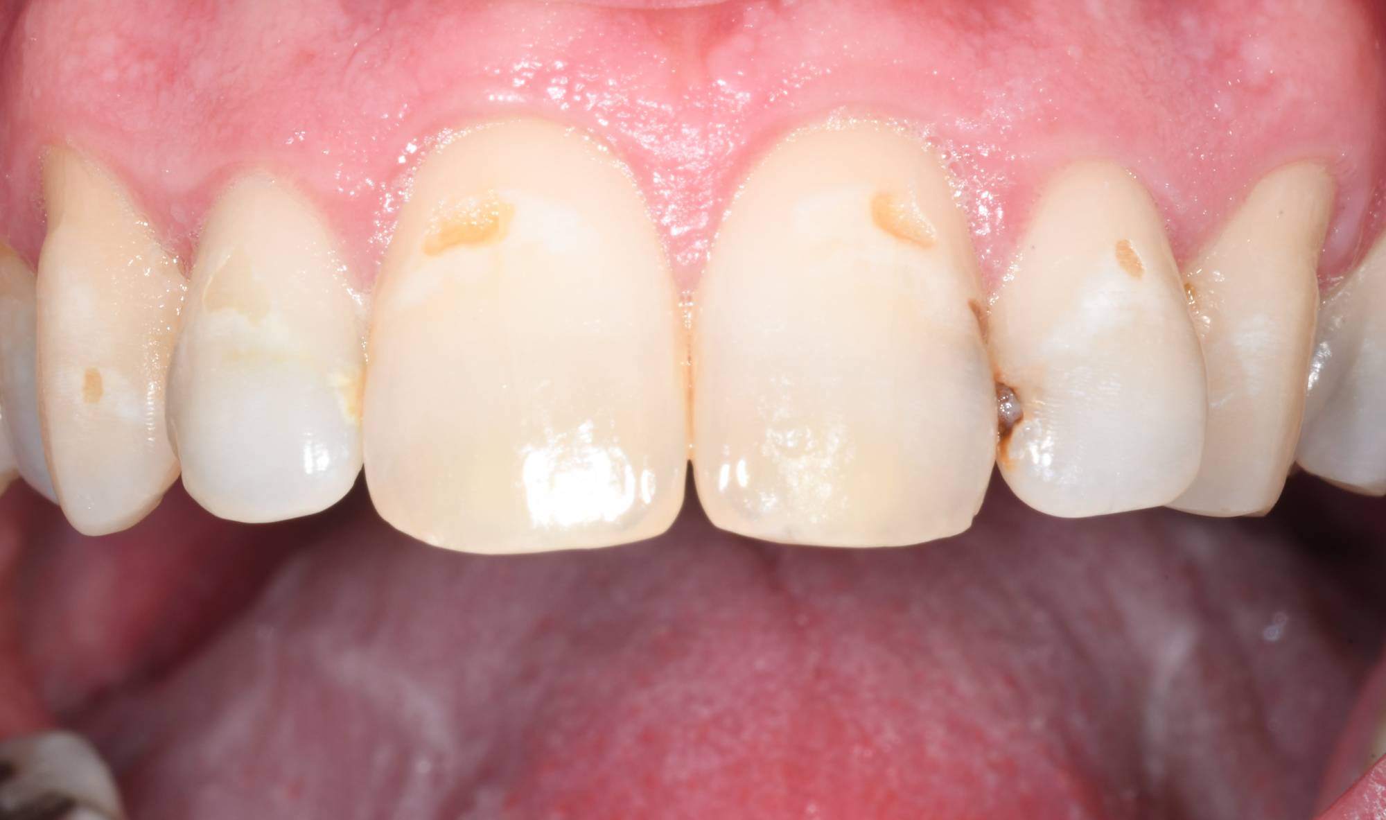
Sorridere con naturalezza e spontaneità è un atteggiamento che non tutti si possono permettere. Molte persone si vergognano dei loro denti a causa di imperfezioni dello smalto dentale che presenta macchie e alterazioni di colore. Purtroppo più passa il tempo e più queste alterazioni diventano visibili compromettendo il sorriso. Questo a volte può peggiorare la qualità di vita sociale tanto che tentare di non far vedere i propri incisivi può diventare un’ossessione. E proprio per questo che chi ha questo tipo difetti nei denti anteriori di non vede l’ora di tornare a ridere, mangiare e divertirsi in compagnia.
Alle volte basta veramente poco per cambiare un sorriso. Un signore ha ritrovato la voglia di sorridere dopo che gli ho sostituito lo smalto compromesso con materiali estetici di ultima generazione. Ha cambiato faccia dalla sera alla mattina.
L’aspetto più bello di questo lavoro è stato constatare che ho gli restituito la voglia di sorridere e l’ho aiutato ad aumentare la sua autostima e sicurezza in sé stesso.
Per dare i risultati che vedi nella seconda foto utilizzo nuovi e performanti materiali compositi per otturazioni estetiche. I vantaggi di questa tecnica sono:
• Risultati veloci in un paio di sedute
• In modo non invasivo e senza anestesia
• Poco costosa
Anche tu desideri migliorare il tuo sorriso e ritrovare il piacere di stare con gli altri? Adesso hai visto che è possibile dal dott. Fabio Ballestrasse a Besana Brianza (MB)

