Dettagli che contano
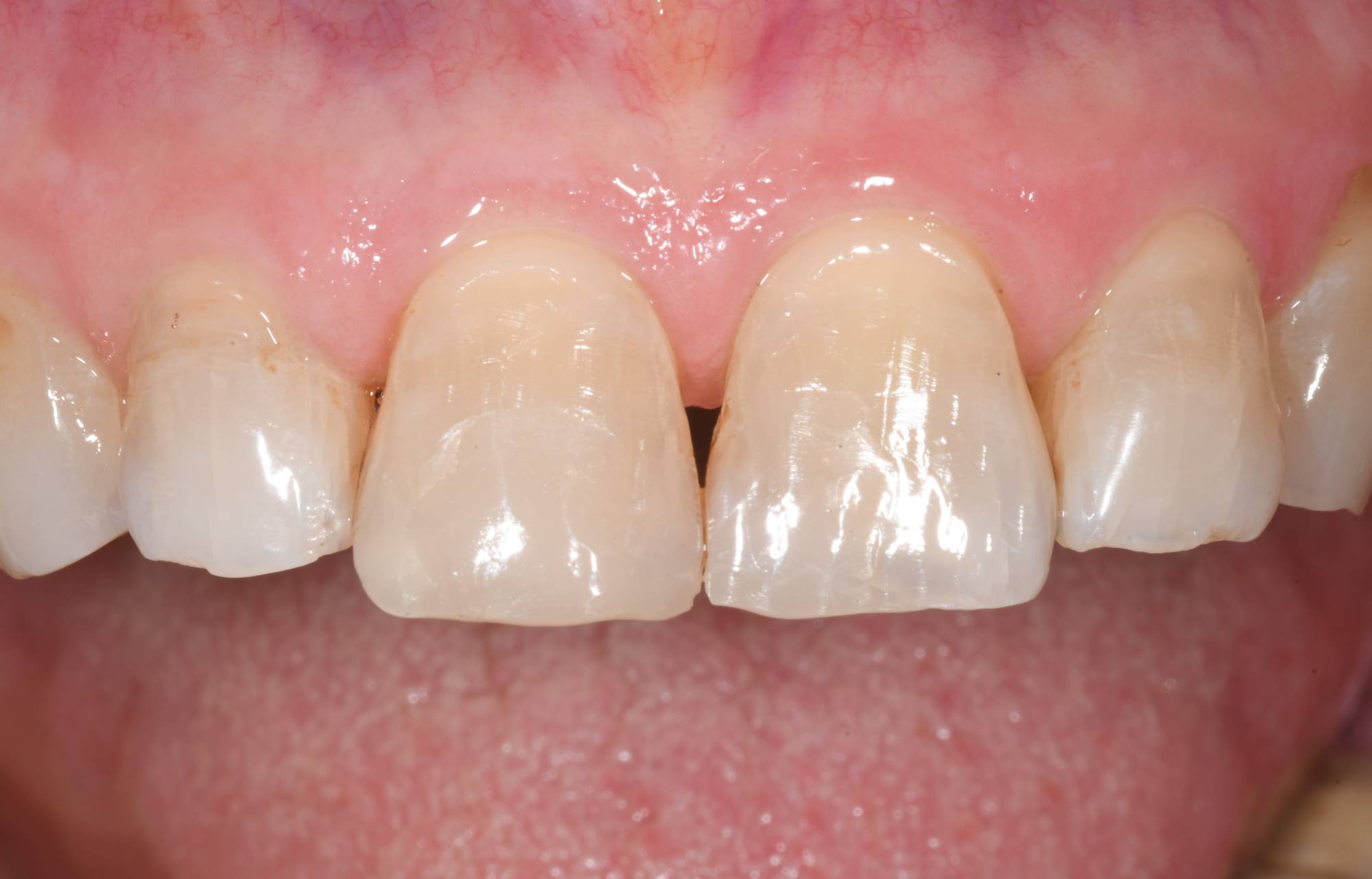
Quando si scoprono le labbra, l’impatto visivo cade subito sugli incisivi superiori e anche il minimo difetto può peggiorare il tuo sorriso e di conseguenza la tua autostima. Eseguire dei restauri nel settore frontale crea l’armonia e la simmetria che rendono il sorriso più bello e attraente. Guarda la prima foto. Questa signora ha una certa età, ma i suoi incisivi centrali sono quasi perfetti. Osservando la seconda foto però, scopri il trucco. Avevano una forma anomala, usurata e con ricostruzioni visibili e asimmetriche. Il foglio di gomma blu è la diga che si usa per isolare i denti, questo è il link che ne spiega i vantaggi: https://posts.gle/rYtJj8 La signora era insoddisfatta del suo sorriso, e aveva preso l’abitudine di mettersi una mano davanti alla bocca quando rideva. A volte un piccolo dettaglio pesa come un macigno e non fa vivere con serenità. E’ bastato rifare le ricostruzioni con i moderni materiali estetici per ottenere un risultato estetico soddisfacente, il tutto in soli 60 minuti. Che tu sia di Besana, Carate o Verano Brianza, adesso sai che puoi migliorare il tuo sorriso in modo mini invasivo e velocemente!

