Diciamocelo fuori dai denti
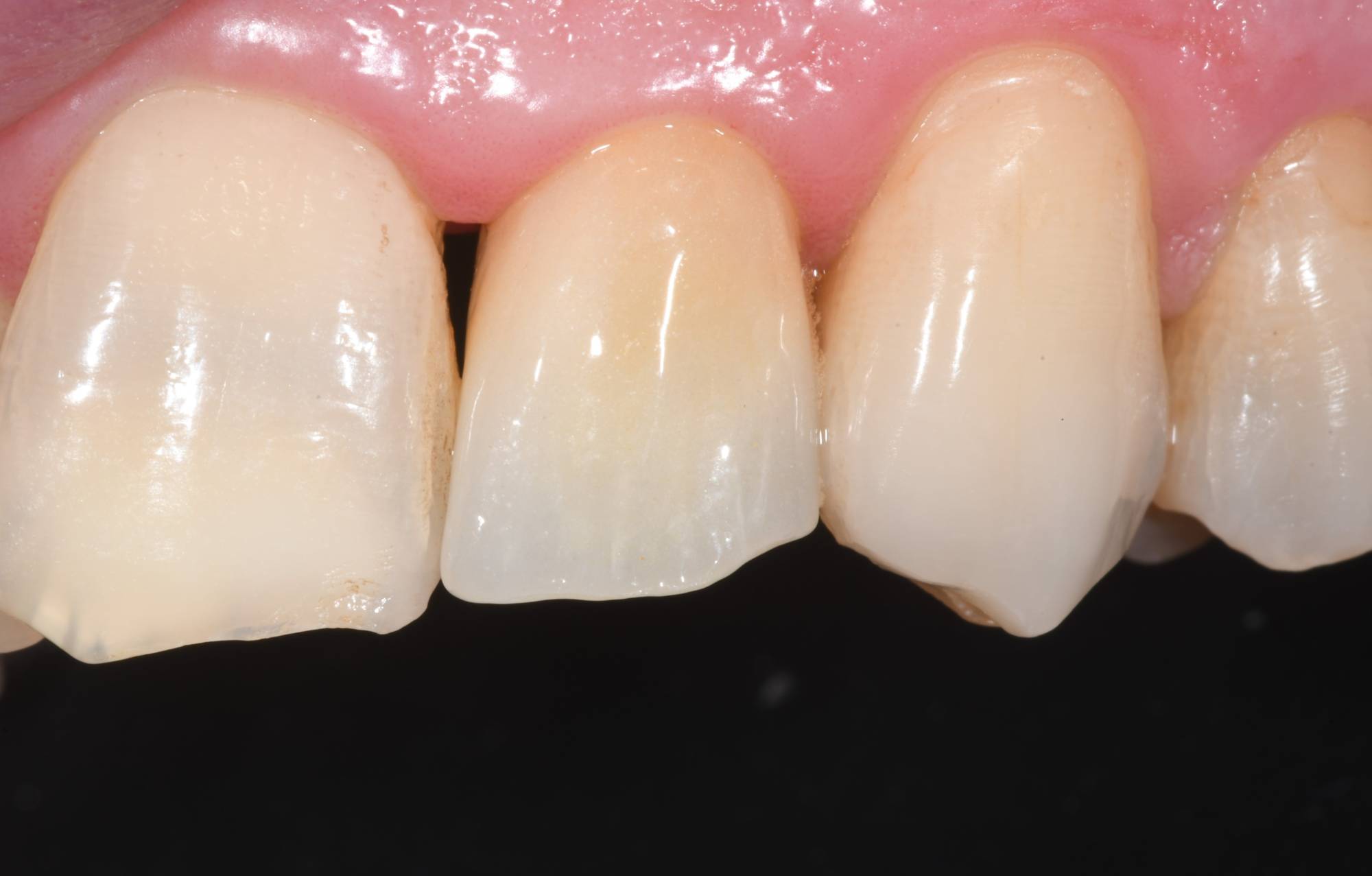
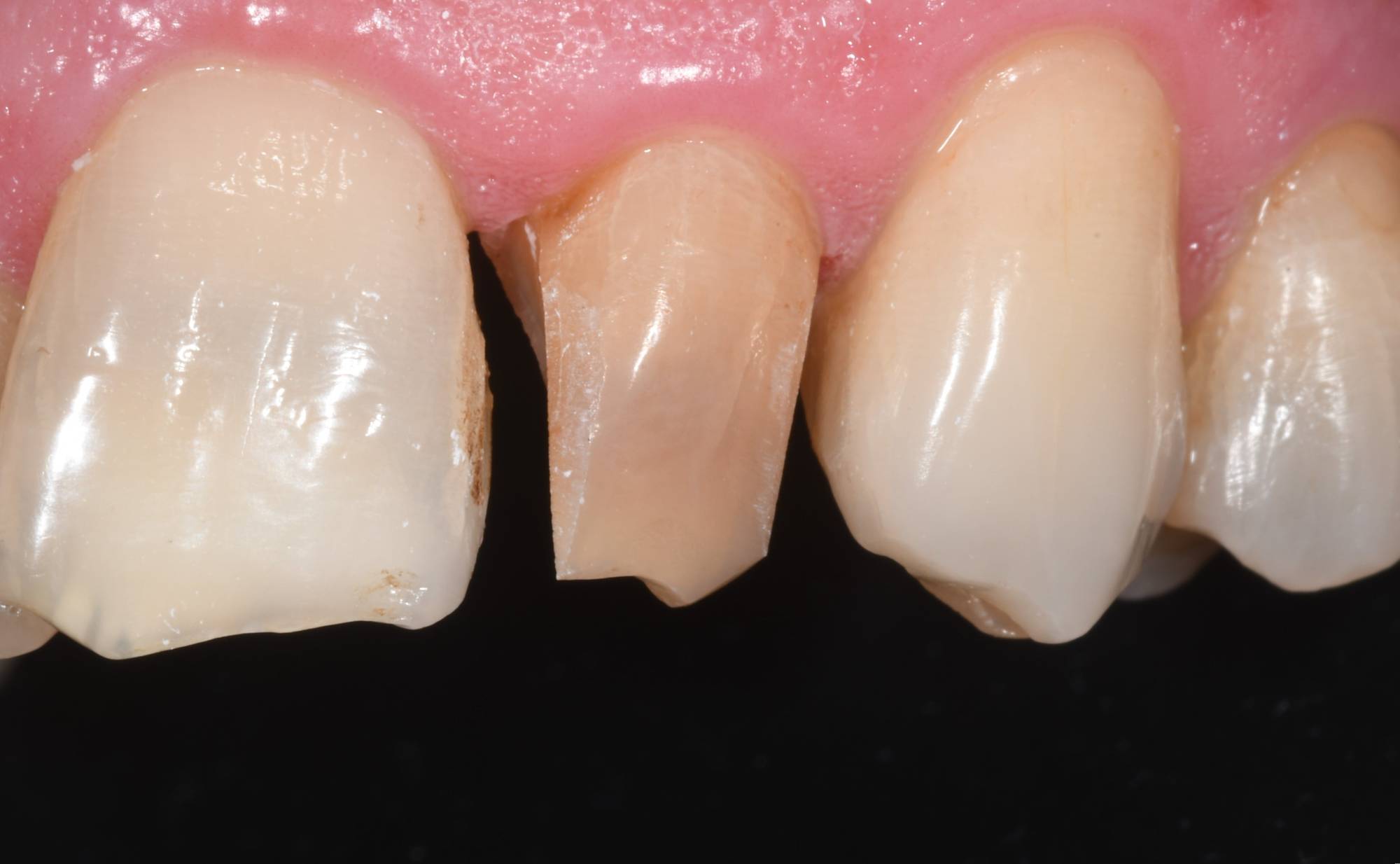
Guardando la prima foto non si nota niente di particolare. Solo quattro denti in primo piano, qualche macchiolina qua e là, un po’ di segni di usura; sicuramente non stiamo osservando il sorriso di un ragazzino. Eppure c’è una bella differenza se la confronti con la seconda foto: l’incisivo laterale era fratturato e con colore giallastro. Per il paziente che si era presentato alla mia osservazione quel dente rappresentava un ostacolo nei confronti di una normale vita sociale. L’estetica dentale per certi versi si può considerare un aspetto funzionale, visto il grande valore che ha per molti pazienti da un punto di vista psicologico. L’aspetto del proprio sorriso riveste a livello sociale un ruolo sempre più fondamentale soprattutto perché c’è sempre maggiore attenzione all’immagine personale e professionale, che viene amplificata da molti canali, primi tra cui i social media. Come ho risolto il problema? Con una corona protesica metal free invisibile, e il paziente è tornato ad una serena vita sociale.

