Differenza tra ricostruzione diretta e indiretta
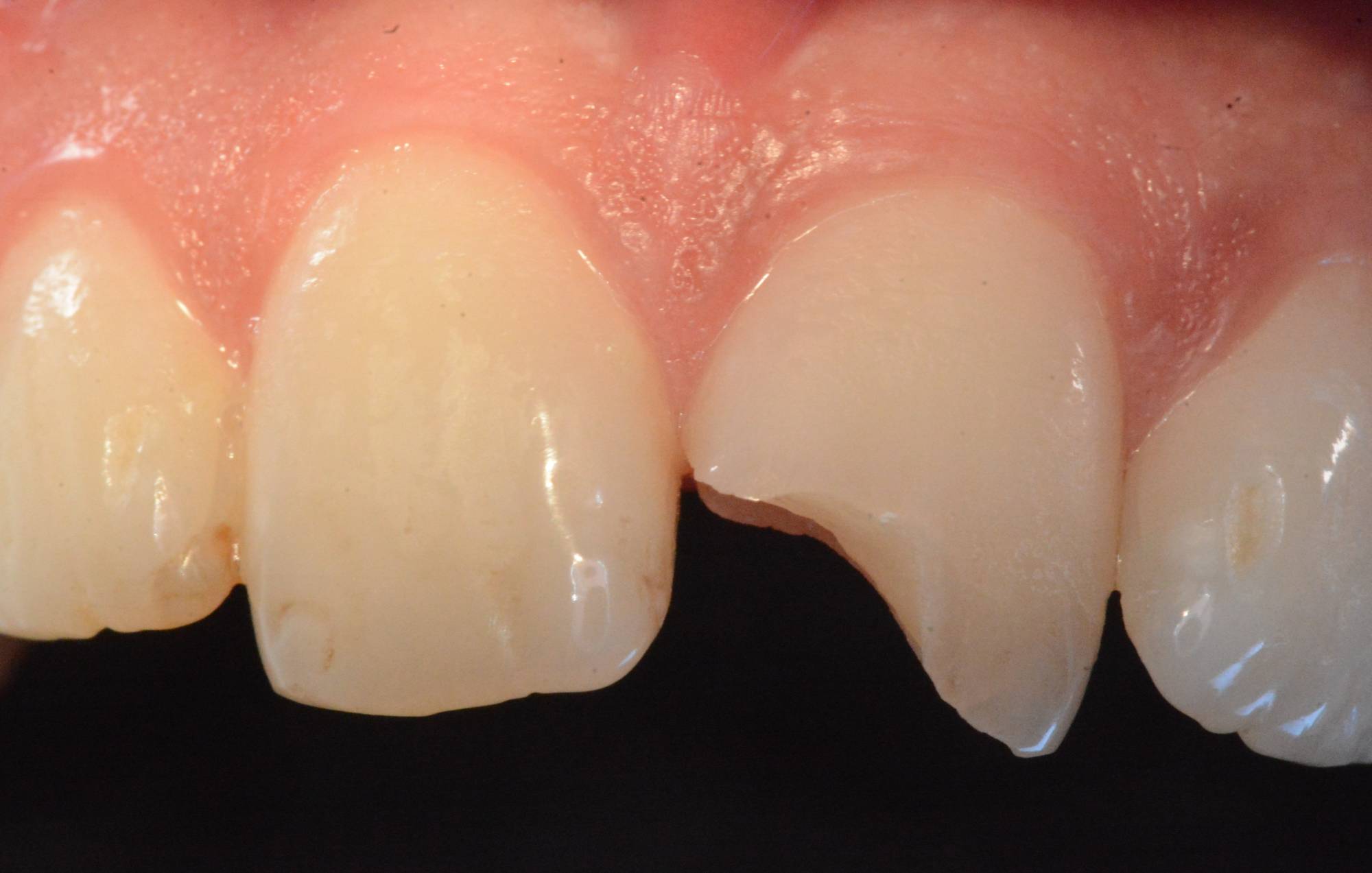
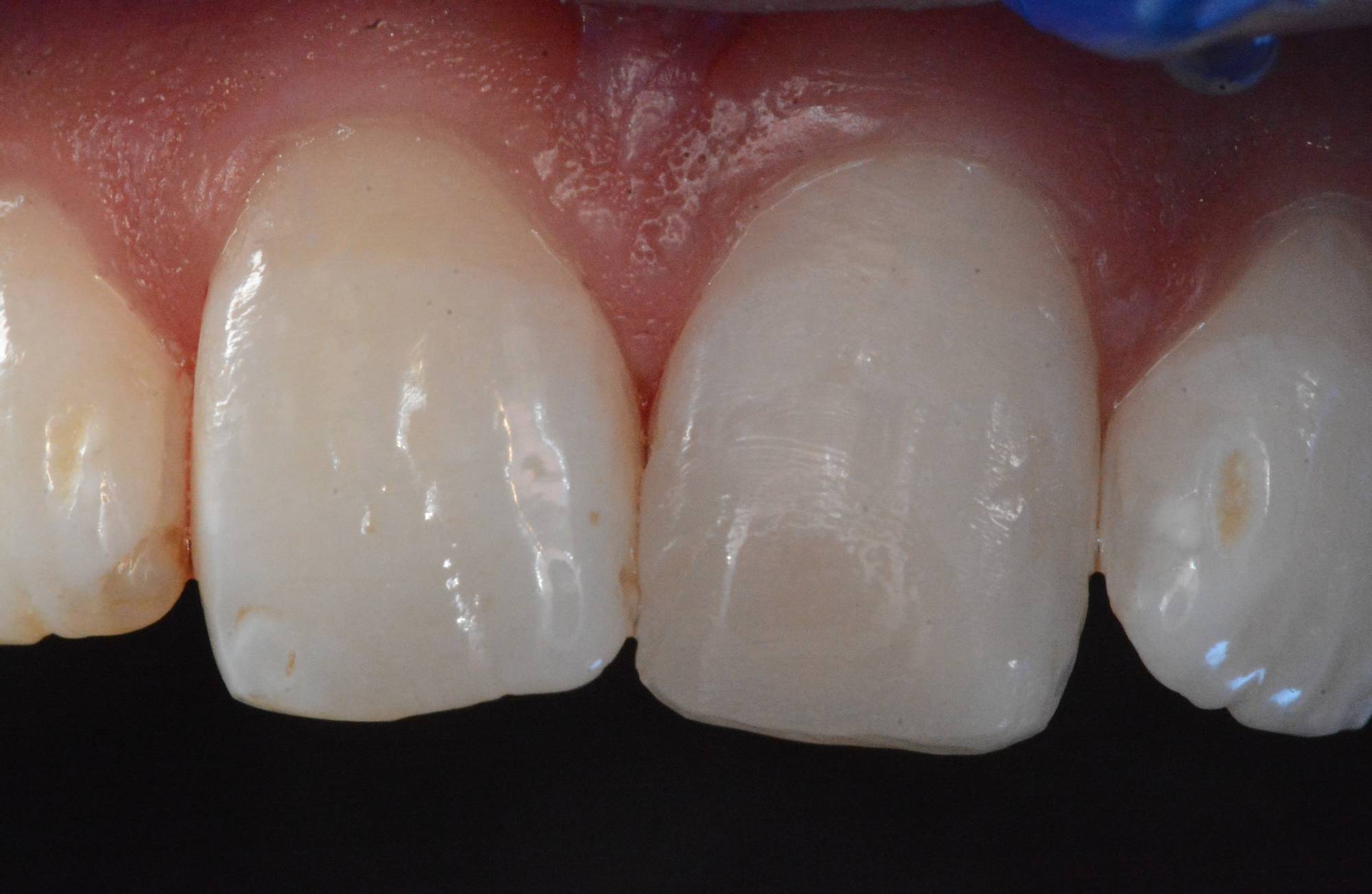
Aprire una finestra può essere utile per cambiare aria. Ma se la finestra ce l’hai al posto di un incisivo centrale, come vedi nella prima foto qui sotto, allora le cose cambiano. Purtroppo può succedere che un incidente stradale o in ambiente domestico compromettano il tuo sorriso. L’incisivo superiore di questo ragazzo si era rotto dopo una caduta, ma grazie all’utilizzo di nuovi e performanti materiali compositi per otturazioni estetiche dirette il problema è stato risolto in un’unica seduta. Il risultato è talmente soddisfacente che non si riesce nemmeno a notare dove finisce il dente e dove inizia la ricostruzione. Lo scopo dello Studio dentistico del dott. Fabio Ballestrasse di Besana Brianza è ridare la voglia di sorridere alle persone, aumentare la loro autostima e farle sentire più sicure di se stesse in un’unica seduta. La terapia che vedi nelle foto è una ricostruzione diretta, perché è stato applicato il materiale da ricostruzione direttamente sul dente rotto.
Se invece gli avessi fatto un’impronta per realizzare un restauro parziale (faccetta) o totale (corona) in ceramica, in quel caso si sarebbe trattato di una ricostruzione indiretta, che di solito si sceglie quando il dente è molto compromesso e c’è la necessità di una ricostruzione più grande e più robusta. Ma in questo caso i tempi sono più lunghi e i costi decisamente maggiori.
Nel caso che hai visto qui sopra i vantaggi delle otturazioni dirette in composito sono:
• Risultati veloci in una sola seduta
• In modo non invasivo
• Bassi costi

