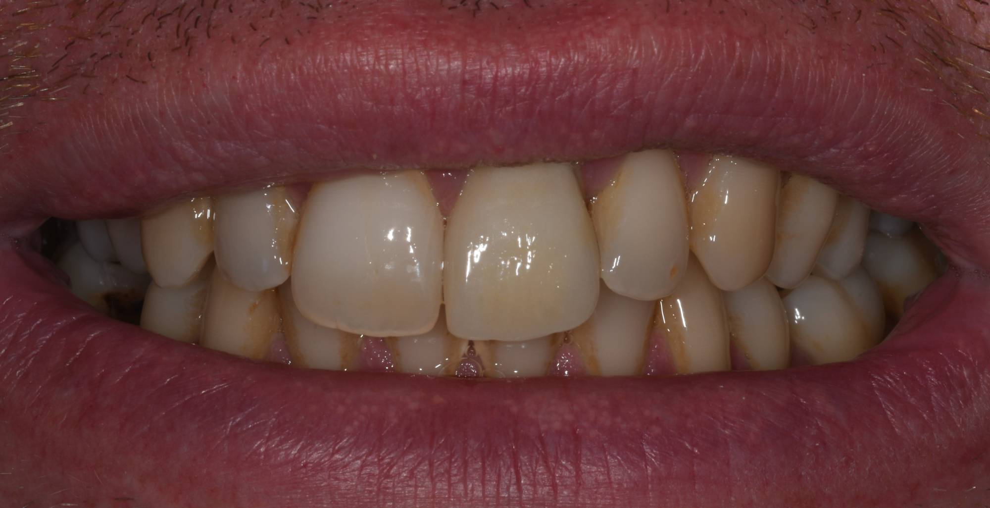
Dolcetto o scherzetto?
In occasione di Halloween, quello che vedi nella prima foto non è un dolcetto. E' l'interno di una corona in zirconia/ceramica, un tipo di capsula metal-free molto estetica che unisce la robustezza della zirconia all'estetica della ceramica. Se eseguita a regola d'arte non la riesci a distinguere da un dente naturale. Infatti nella seconda foto non la riesci a individuare dagli altri elementi dentali. Se vuoi scoprire qual è il dente ricoperto, guarda l'ultima foto. Ma attenzione, devi prenderla con spirito di Halloween!


