Due piccioni con una fava
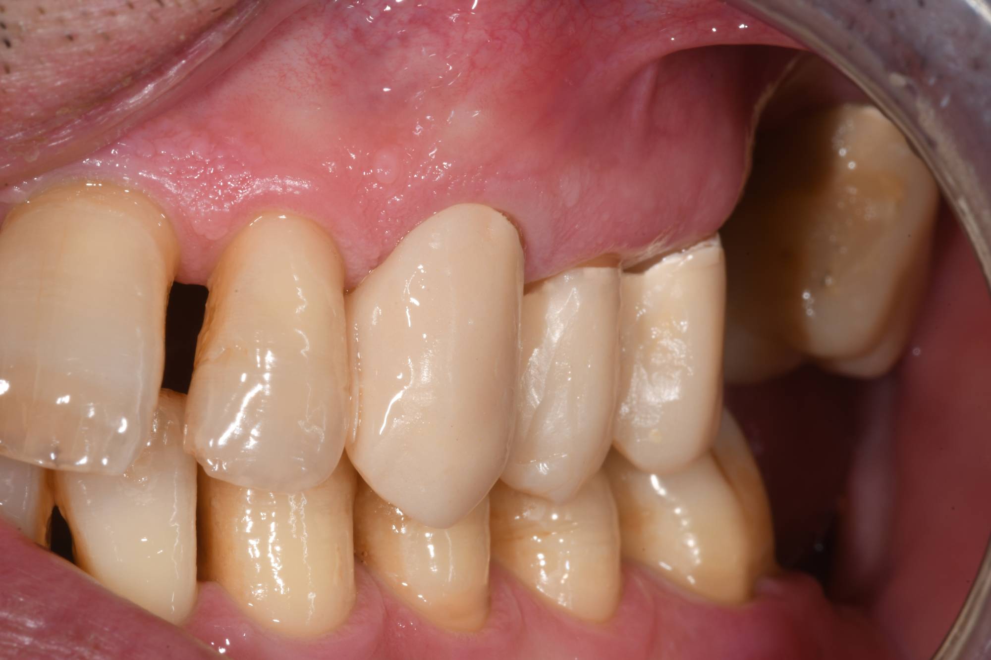
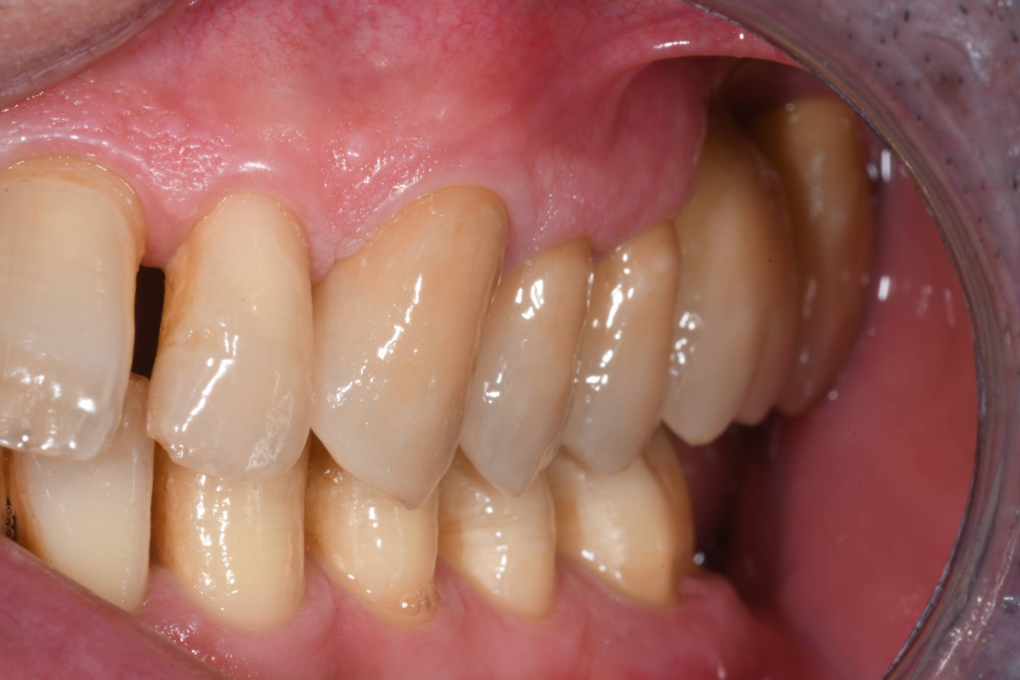
Il paziente che vedi nella prima foto mi ha sottoposto due problemi: vecchie capsule dal look innaturale sul suo lato sinistro e difficoltà masticatoria dovuta all’assenza di un molare. Un ponte in zirconia stratificato in ceramica mi ha permesso di sostituire le capsule usurate sul canino e sui premolari (pilastri anteriori di ponte), utilizzando il suo ultimo molare come pilastro posteriore del ponte. Questo mi ha dato modo di risolvere il problema della mancanza del molare inserendo quello mancante nel ponte. La struttura sottostante in zirconia è bianca ed estremamente resistente e rigida, adatta a sostituire il metallo che si usava sotto le corone in metallo-ceramica. Nelle aree estetiche viene poi stratificata la ceramica che rende le nuove capsule assolutamente indistinguibili dai vicini denti naturali, come appare evidente nella seconda foto. Nella terza foto puoi osservare da vicino l’estrema verosimiglianza del ponte ai denti naturali. Nello Studio dentistico del dott. Fabio Ballestrasse a Besana Brianza (MB) ci impegniamo ogni giorno a darti il miglior risultato possibile. Che tu abbia un problema funzionale o estetico, sappiamo come risolverlo.


