Faccette in ceramica: quando e perchè
Le faccette in ceramica stanno diventando sempre più di moda, e a ragione: migliorano enormemente il sorriso di una persona, il suo primo biglietto da visita. Sono delle sottilissime lamine in materiale ceramico che si incollano sulla superficie dei denti fontali. Hanno colore e forma adeguate e personalizzate per ciascun paziente. Questi parametri vengono stabiliti dopo un accurato studio e al “mock up”, una previsualizzazione in resina di quello che sarà il risultato finale. Se hai denti abrasi, rovinati da molteplici restauri, con antiestetici spazi fra l’uno e l’altro, forme anomale, colore non sbiancabile, allora in questi casi si possono restaurare con faccette in ceramica.
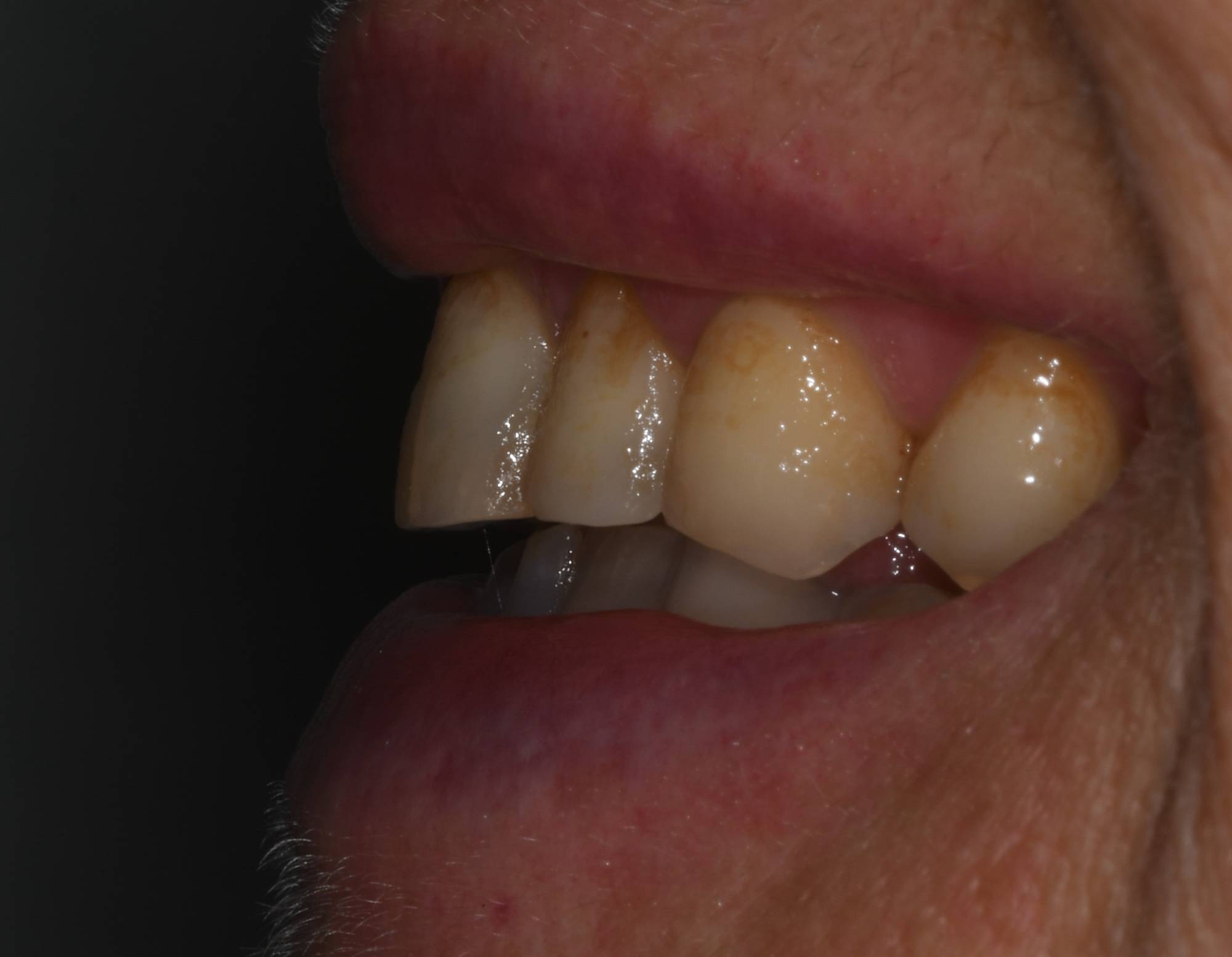
In un settore esteticamente rilevante come quello degli incisivi superiori, anche il minimo difetto può peggiorare il tuo sorriso e di conseguenza la tua autostima. Se esegui dei restauri, la cosa più importante è che il risultato non sia solo bello, ma soprattutto naturale. Guarda l'alternanza delle foto. Prima vedi un bel sorriso grazie a faccette in disilicato di litio, un materiale ceramico molto estetico e resistente. Poi confronta come la signora si è presentata nel mio Studio con i suoi elementi frontali superiori abrasi, rimpiccioliti ed esteticamente compromessi. Era insoddisfatta del suo sorriso, che riteneva imbarazzante. I suoi denti davano l’impressione di essere rovinati, senza forma e traslucenza.
Nell'ultima puoi constatare tu stesso quanto è sottile una faccetta: in solo 0,6 mm c’è l’essenza moderna dell’odontoiatria estetica: aspetto naturale, mimetismo totale, naturalezza e imitazione perfetta di denti giovani e sani. Lo puoi considerare un “lifting” al tuo sorriso.
Se non ti senti a tuo agio quando sorridi, adesso sai cosa fare!




