Fatto ad arte, non artefatto!
Riabilitare il settore frontale della bocca, zona di massima importanza estetica, è una sfida per il dentista. L’aspetto più importante è che il risultato non sia soltanto bello, ma soprattutto naturale. Questo è il nostro mantra.
Se il vostro dentista non realizza i giusti spazi nella preparazione dei denti e non sceglie il materiale protesico più adatto al vostro caso, il risultato sarà deludente.
Il rischio è che si creino capsule o faccette in ceramica stile “piastrelle del bagno” facilmente riconoscibili come denti finti. Gli amici notano il tuo nuovo sorriso? Significa che vedono qualcosa di artificiale nella tua bocca.
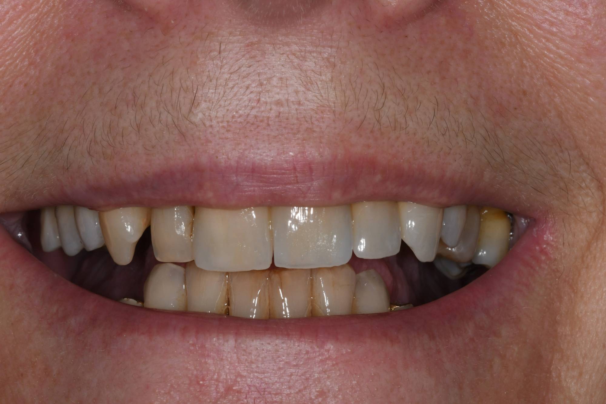
Guarda le foto qui sotto. La paziente si è presentata nel mio Studio con la zona frontale superiore da restaurare. Sentendosi a disagio, ha chiesto un miglioramento del suo sorriso. Io le ho proposto delle corone in zirconia stratificate in ceramica. Queste, infatti, non permettono di distinguere i denti artificiali da quelli naturali. Solo guardando l’altra foto sarai in grado di capire quali sono le capsule. Lo Studio del dott. Ballestrasse di Besana Brianza presta molta attenzione all'odontoiatria estetica.
Questa è l’essenza dell’odontoiatria estetica: forme e contorni armoniche, corretto adattamento alle gengive e soprattutto naturalezza nell’imitazione perfetta dei denti adiacenti.

