Gli italiani e il loro sorriso: a qualsiasi età tutti lo vogliono bello e sano
Secondo una recente ricerca di Straumann e KeyStone group (istituto di ricerca specializzata in ambito salute e benessere), le tendenze sulla poltrona del dentista non sono così diverse tra le varie generazioni.
I ragazzi di età compresa tra i 20 e i 30 anni vogliono aumentare la fiducia in sé stessi, dal momento che danno importanza all’immagine di sé e alle relazioni sociali che influenzano l’autopercezione. Le persone tra i 30 e i 40 anni sentono importante l’approvazione ricevuta dall’esterno e sono orientate al raggiungimento di obiettivi professionali e relazionali. Gli over 40 desiderano un rapporto più armonico con se stessi e si avvicinano alle cure per piacersi di più, migliorarsi e stabilire un rapporto più sereno con il mondo esterno.
Questo atteggiamento e il desiderio degli italiani di stare bene a livello olistico implica anche avere un sorriso bello e sano. Ecco quindi spiegato l’aumento delle richieste di odontoiatria estetica a tutte le età.
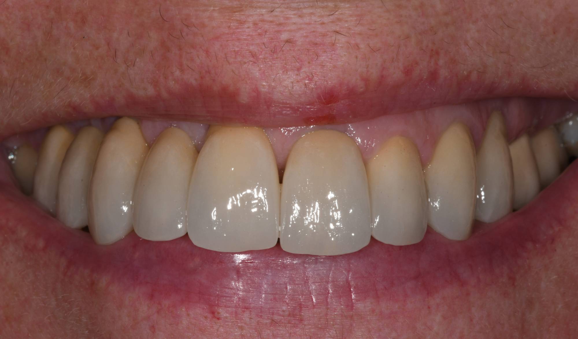
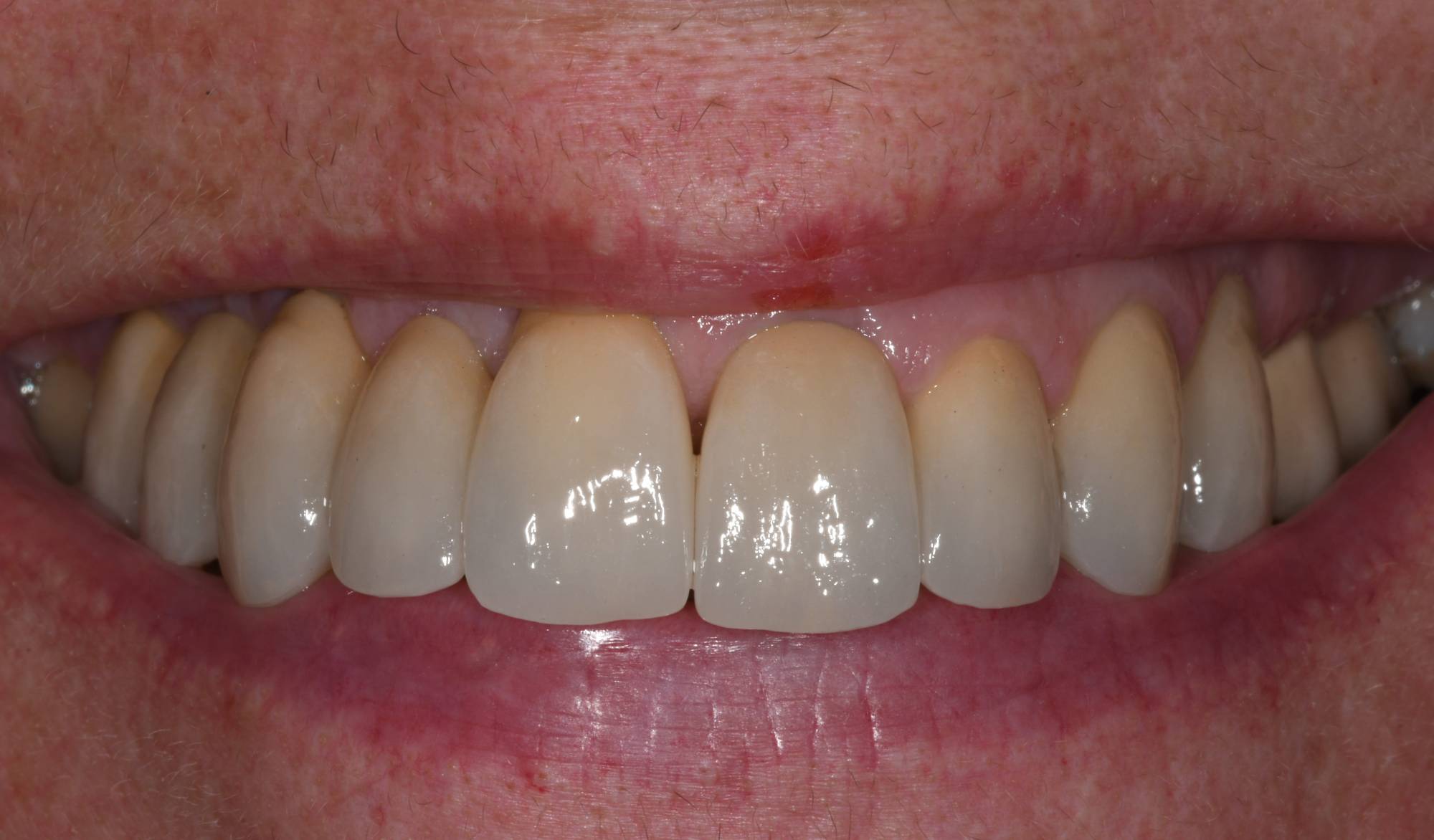
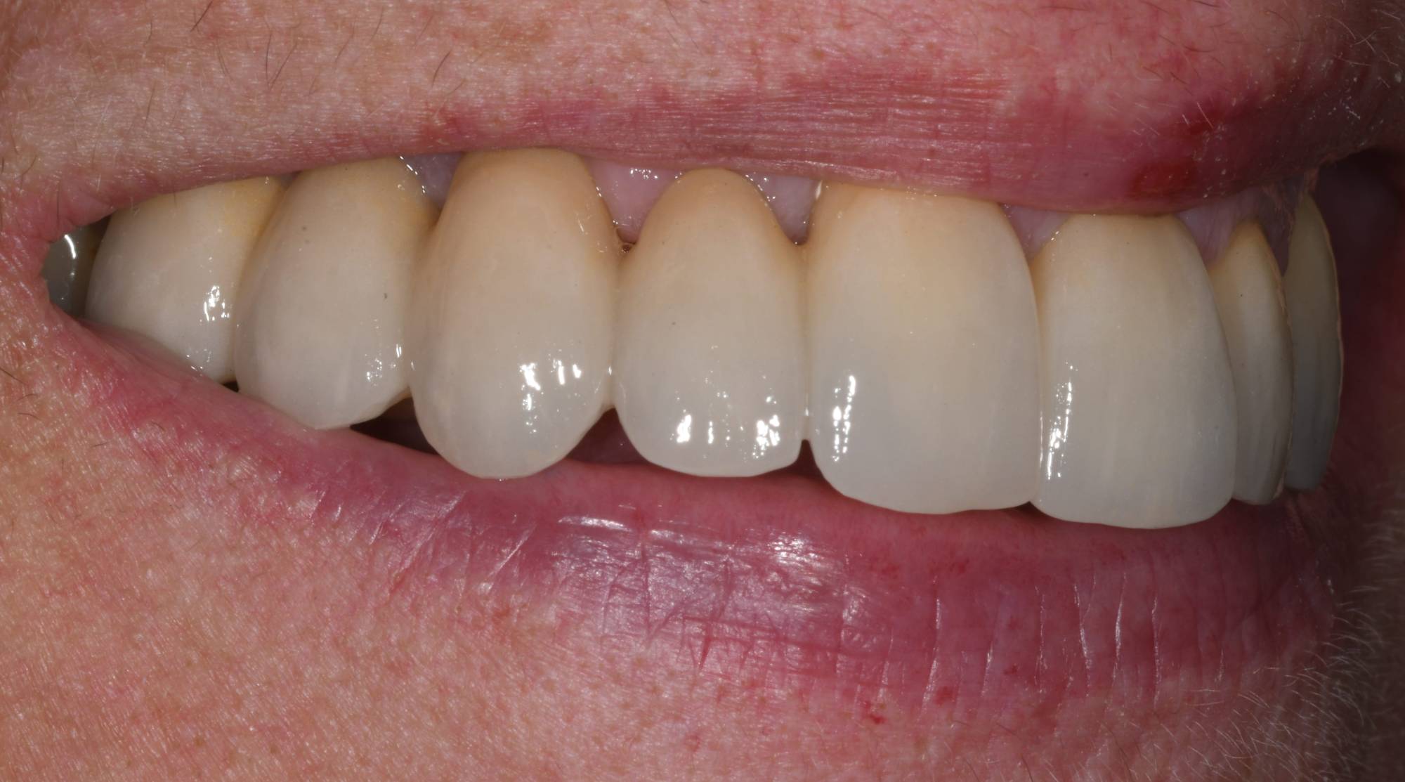
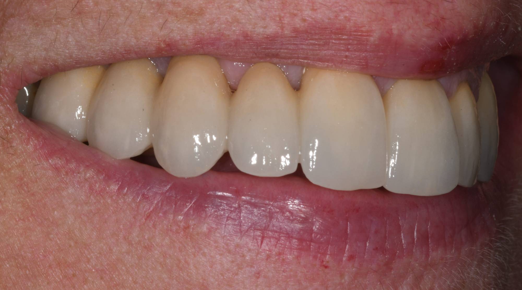
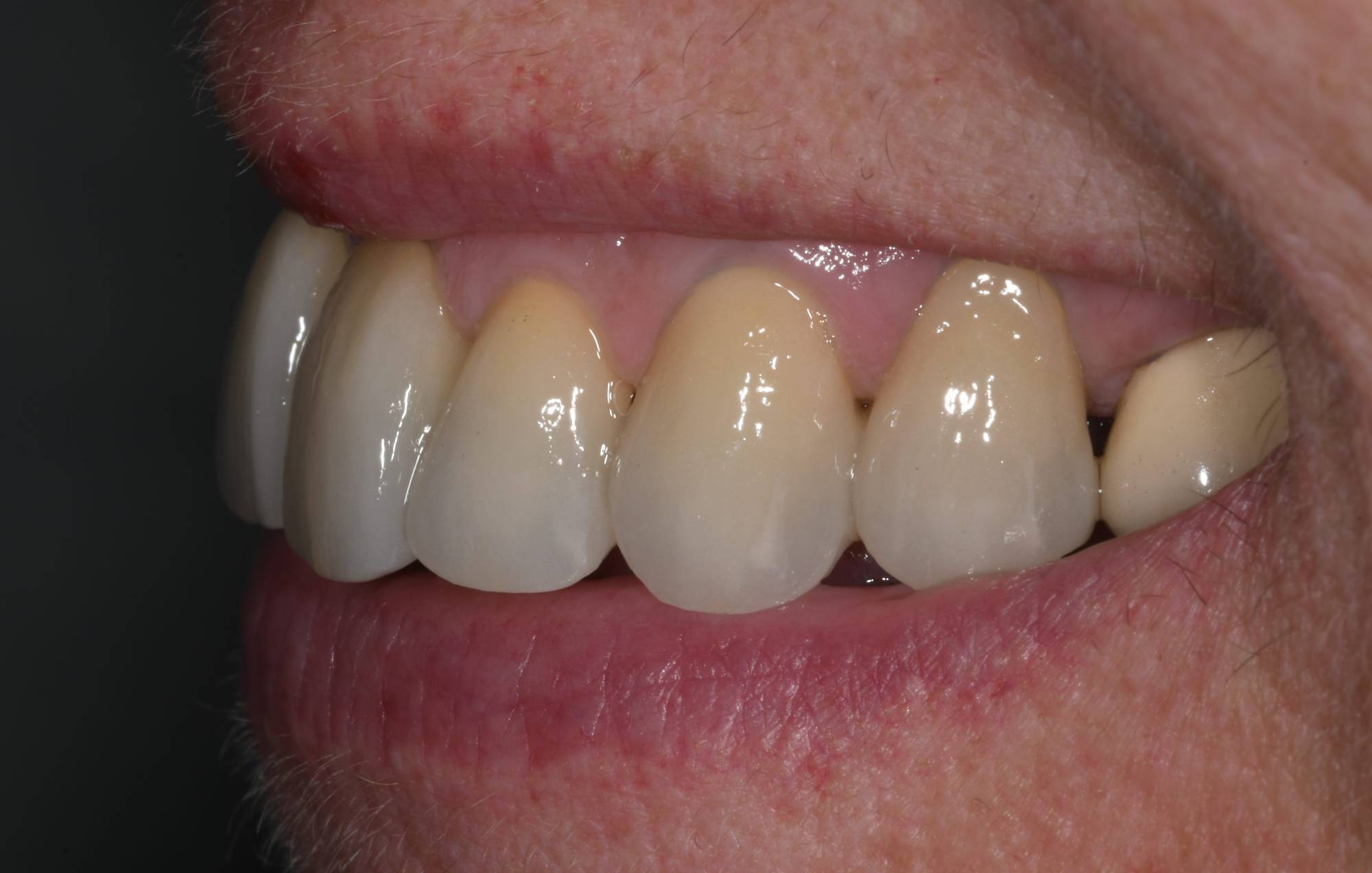
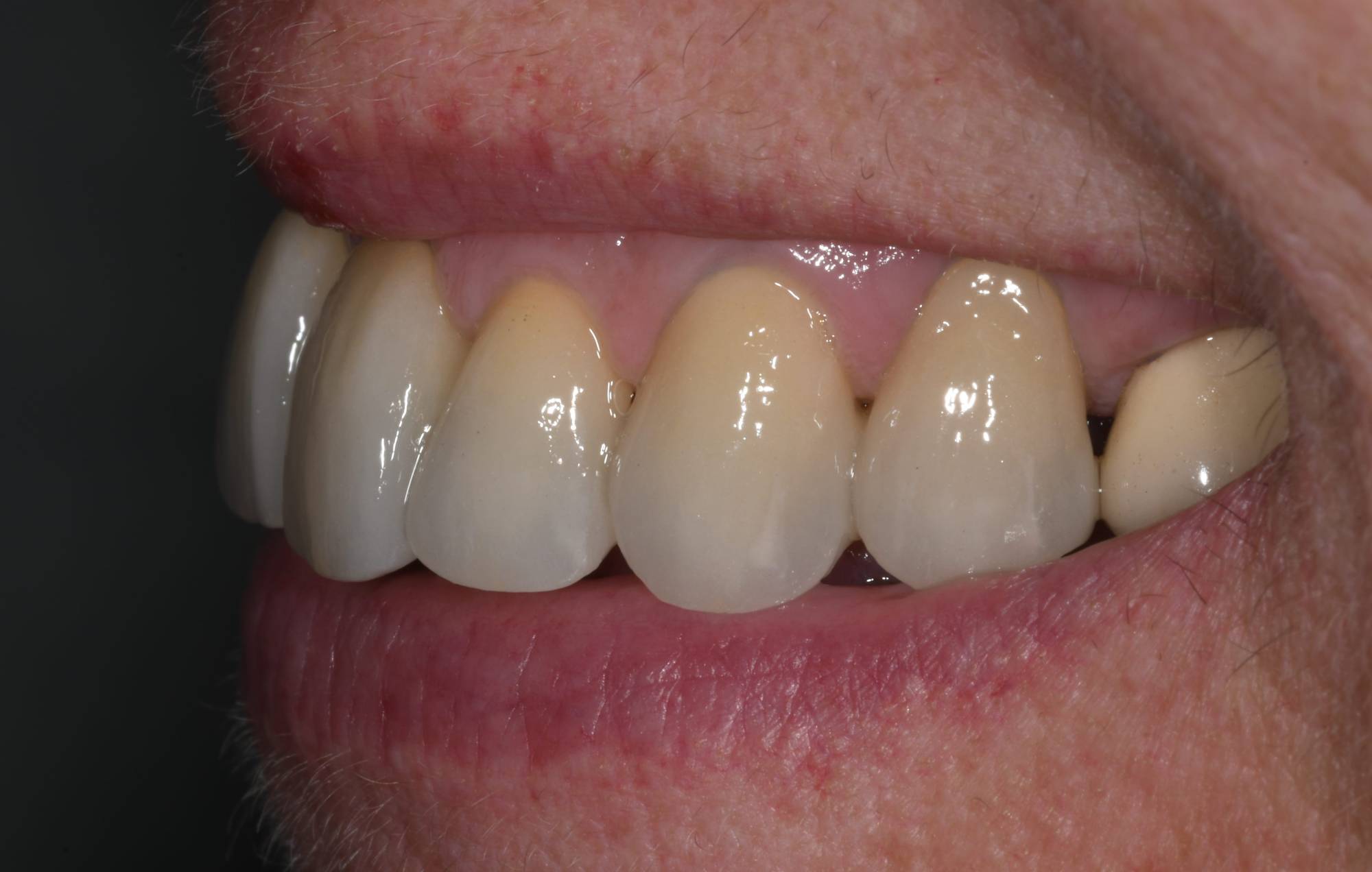
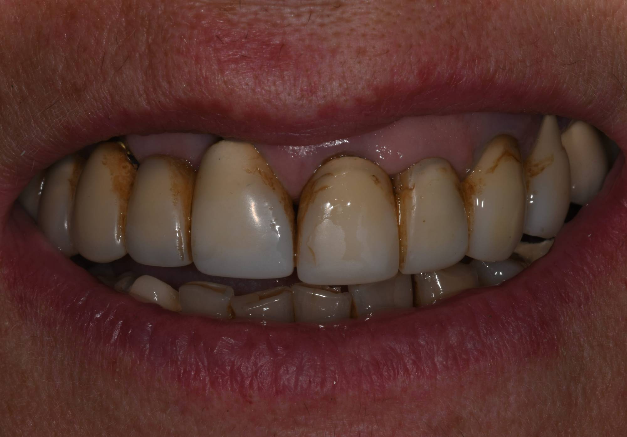
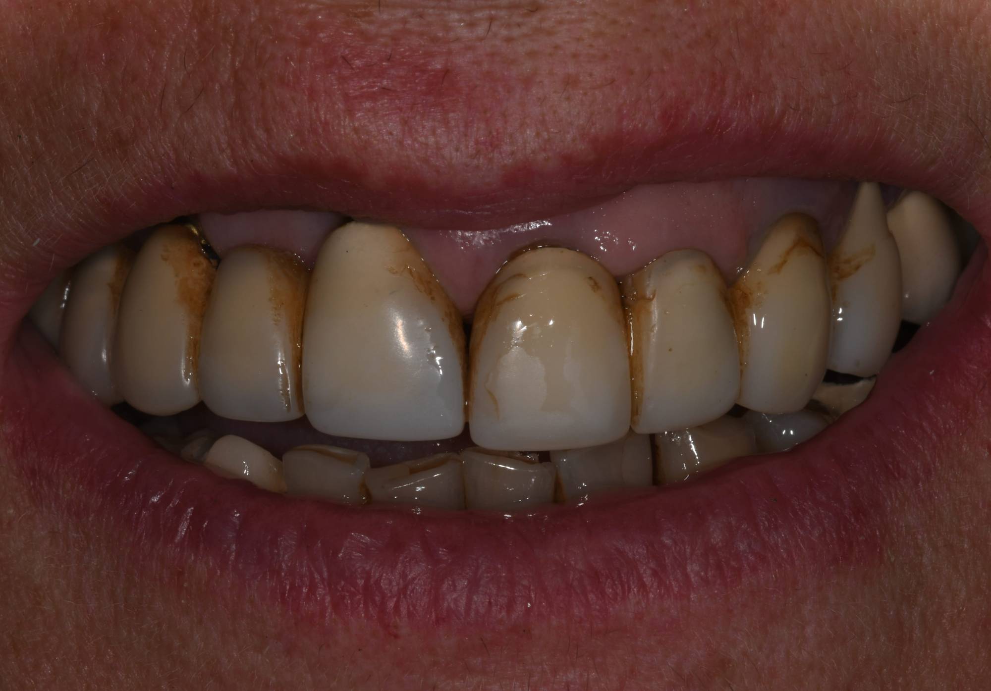
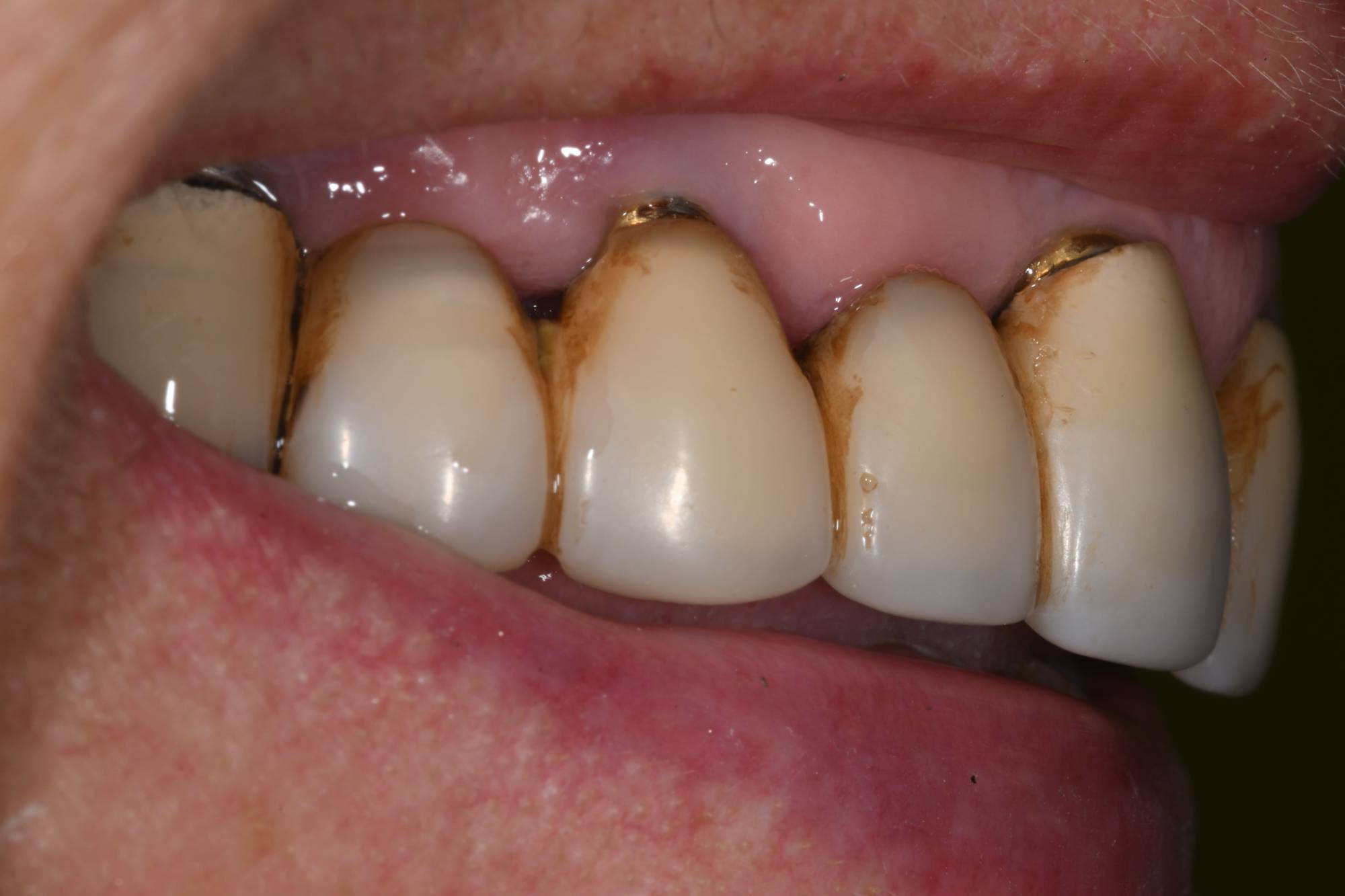
Le foto della paziente che vedi sono esplicative in tal senso. Si tratta di una signora “diversamente giovane” che ha deciso di fare il restyling del suo sorriso con corone metal-free, in zirconia stratificata in ceramica. Nelle prime foto vedi il risultato, in quelle centrali come sono fatte e nelle ultime la situazione di partenza. Sei sempre in tempo a migliorare il tuo sorriso, basta rivolgerti a un esperto con Master in Odontoiatria Estetica come il dott. Fabio Ballestrasse di Besana Brianza.







