Hai la cervicale ai denti?
Anche se non lo sai, lo spazzolino da denti può essere un’arma impropria nelle tue mani. Lo smalto dei denti è il tessuto più duro di tutto il nostro corpo, ma se viene sfregato ripetutamente in modo errato dalle setole dello spazzolino può andare incontro ad abrasioni irreversibili. Specialmente se usi uno spazzolino a setole dure e lo strisci orizzontalmente sui denti.
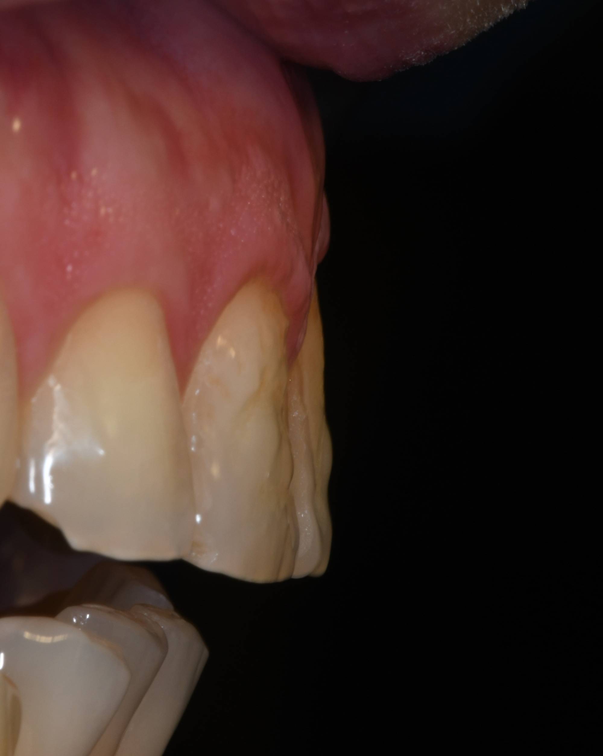
La zona che più facilmente si usura è la parte cervicale, cioè quella più vicina alla gengiva, dove si formano degli incavi tanto più profondi quanto più passa il tempo e quanto più “pesante” è la tua mano.
Inoltre anche le gengive si ritirano e il dente diventa sensibile al freddo o al solo contatto con il cibo o lo spazzolino. Se poi esageri… guarda le foto: l’abrasione coinvolge tutta la superficie degli incisivi superiori. Fortunatamente queste abrasioni si possono trattare con delle otturazioni in materiale estetico che ripristinano lo smalto perso e annullano la sensibilità dentale.
Il problema è stato risolto in un’unica seduta, guarda l’altra foto. Il risultato è soddisfacente e non si riesce nemmeno a notare dove sia l’aggiunta del materiale estetico.
Hai abrasioni cervicali o in altre zone dello smalto? Sensibilità al freddo? In questi casi i vantaggi delle otturazioni dirette in composito sono:
• Risultati veloci in una sola seduta
• In modo non invasivo
• Bassi costi
Non aspettare che il problema diventi più grave! Lo Studio del dott. Fabio Ballestrasse di Besana Brianza sa come trattare le abrasioni dello smalto!

