Il disilicato di litio, che cos'è e come si usa
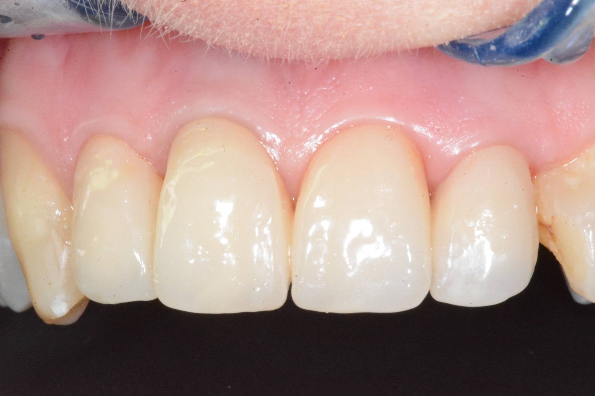
Il dente naturale è caratterizzato dalla stratificazione della dentina e dello smalto, questi elementi organici creano un’alternanza di aree di contrasto, trasparenze e zone di opalescenza donando ai denti naturali una vitalità cromatica unica e spesso difficilmente imitabile. Tale stratificazione influenza non solo il colore, ma anche la traslucenza e l’opalescenza, creando delle caratteristiche cromatiche individuali. Lo scopo di una corona protesica o di una faccetta estetica è quella di riprodurre il colore, le trasparenze dello smalto e la traslucenza più simile a quella dei denti naturali. I migliori materiali sono le ceramiche metal free, cioè senza metallo. Tra queste il disilicato di litio, una ceramica speciale rinforzata con sali di litio dotata di spiccate caratteristiche estetiche, è eccellente nelle riabilitazioni degli elementi frontali.
Le caratteristiche fisiche, marcatamente votate alla biocompatibilità e alla robustezza, donano a questo materiale una resistenza all’usura tre volte superiore alle altre ceramiche tradizionali, anche se inferiore alla zirconia. Se guardi la foto qui sotto, non riuscirai a capire quale siano i denti ricoperti, tale è la mimeticità del disilicato. Solo guardando la foto successiva potrai notare su quali denti ho lavorato. Quello che vedi è la realtà che il dott. Fabio Ballestrasse esegue nel suo Studio a Besana Brianza (MB).
I vantaggi principali del disilicato di litio sono:
• Elevata biocompatibilità
• Assenza di metallo
• Alto livello di naturalezza estetica
• Ottimo livello di traslucenza
• Alta resistenza all’abrasione
• Inalterabilità del colore

