ImmediataDenti anteriori
Se hai alcuni denti anteriori da estrarre e non ne vuoi rimanere senza a lungo, c’è una tecnica per rimpiazzarli velocemente: l’implantologia a carico immediato.
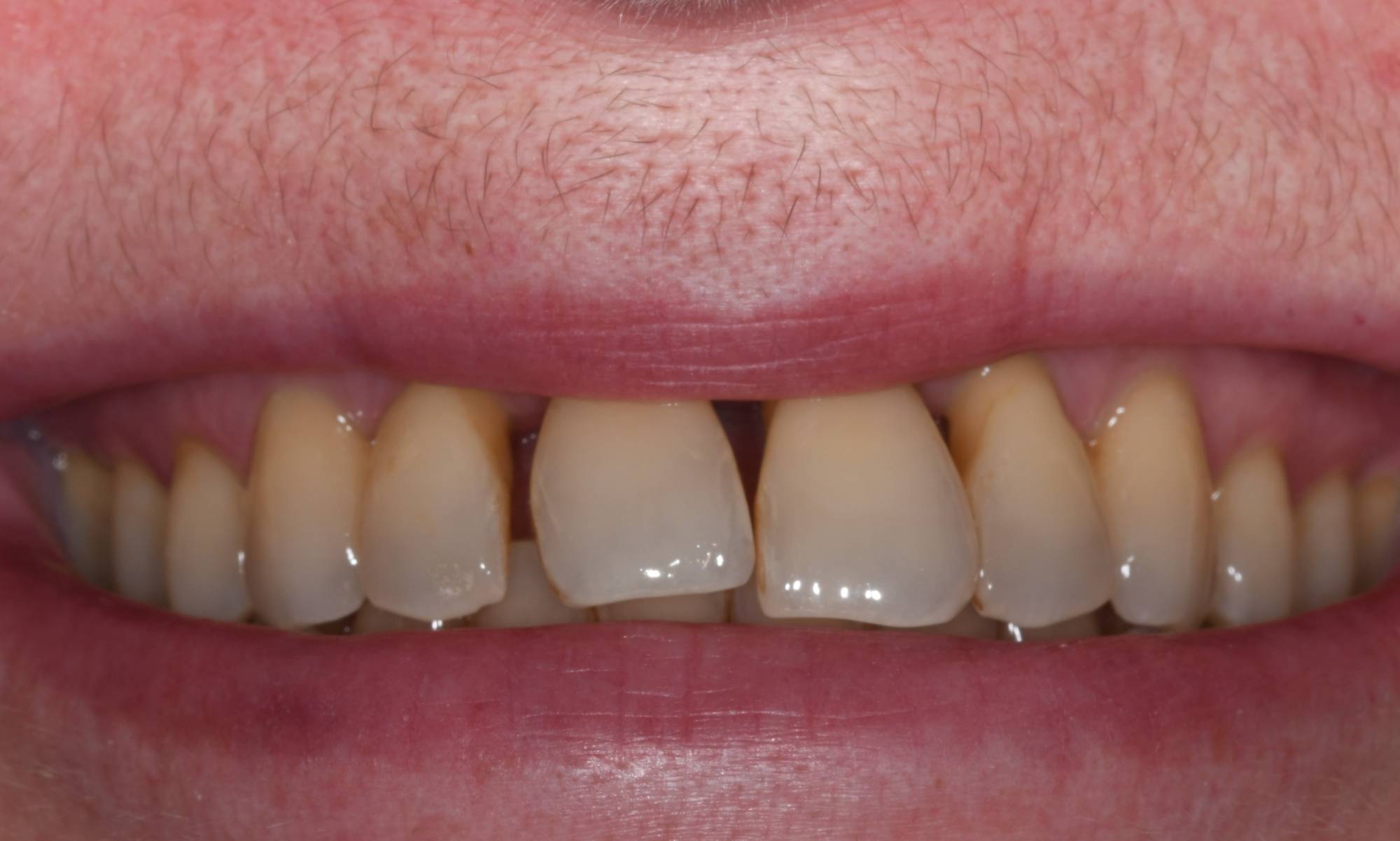
Come vedi dalle foto qui sotto, la signora si era presentata con i 4 incisivi superiori in condizioni critiche: si muovevano come canne al vento e aveva paura di “sputarli” da un momento all’altro. Per cui, dopo un attento studio del caso, le ho estratto gli incisivi e inserito 2 impianti osteointegrati, completando il tutto con un’impronta.
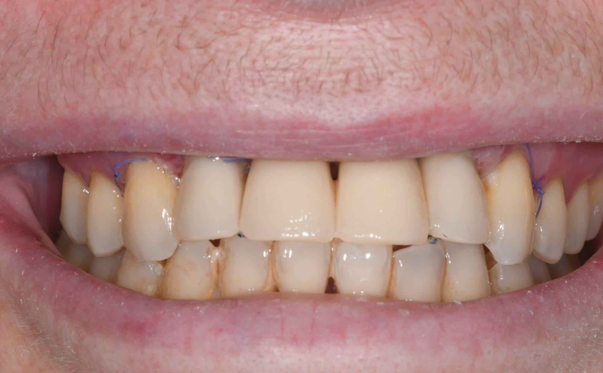
Una sola seduta e una sola anestesia, e dopo 2 giorni dall’intervento le ho avvitato il ponte provvisorio fisso agli impianti che puoi vedere nella seconda foto. Infatti si vedono ancora i punti di sutura. E fra pochi mesi sarà possibile realizzare il ponte definitivo in ceramica.
L’implantologia a carico immediato si può eseguire per sostituire un dente singolo, oppure alcuni denti come in questo caso, o addirittura un’arcata intera!
Nell’implantologia tradizionale si deve aspettare un periodo di alcuni mesi per ottenere l’osteointegrazione dell’impianto nell’osso prima di trovare un compromesso esteticamente soddisfacente. Invece con il carico immediato i tempi vengono ridotti: basta una corretta selezione del caso e un’accurata programmazione chirurgica. Questa tecnica viene utilizzata dal dott. Fabio Ballestrasse a Besana Brianza (MB) e anche se sei di Seregno ne puoi usufruire.
I vantaggi dell’implantologia a carico immediato?
• sostituzione dei denti subito dopo l’intervento chirurgico
• ripristino veloce dell’estetica e della funzione
• ridotto numero di sedute e maggiore comfort

