ImmediataDenti arcata inferiore
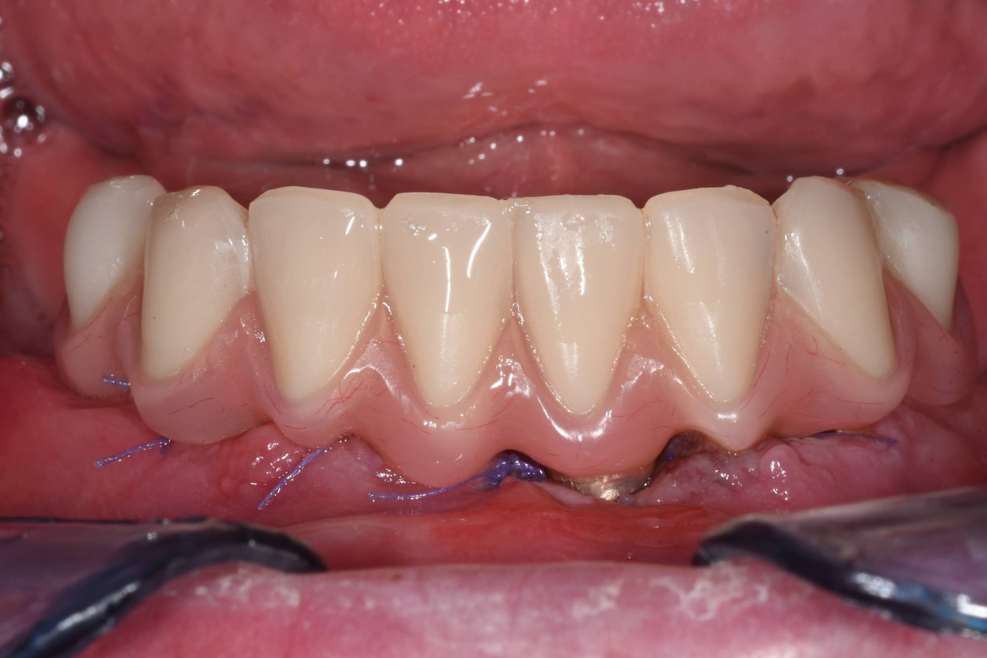
Se ti chiedi perché da questa protesi fissa spuntini dei fili color viola, la domanda è lecita. Non sono un addobbo per rendere più simpatica la protesi. Semplicemente sono dei punti di sutura che ho dato alla gengiva dopo aver messo degli impianti al paziente. Se ti mancano dei denti, o se ne hai alcuni da estrarre e non vuoi rimanere a lungo senza poter sorridere, c’è una tecnica per poterli rimpiazzare velocemente: l’implantologia a carico immediato.
Come vedi nell’altra foto, il paziente aveva perso i denti, gli rimanevano solo alcune radici e un vecchio impianto endo-osseo. Si sentiva a disagio nel sorridere e a mangiare normalmente. Per cui ho inserito 5 impianti osteointegrati ed eseguito un’impronta.
Una sola seduta, una sola anestesia, lo stress una volta sola. Dopo 2 giorni dall’intervento gli ho messo la protesi provvisoria fissa avvitata agli impianti che vedi nella foto. Ecco perché ha ancora i punti di sutura che gli toglierò fra 2 settimane.
L’implantologia a carico immediato si può eseguire per sostituire una arcata intera, ma anche un singolo dente, senza dover aspettare i canonici tempi di osteointegrazione. Nello Studio del dott. Fabio Ballestrasse a Besana Bruianza (MB) l'implantologia a carico immediato è la terapia di prima scelta quando possibile.
Grazie a questa tecnica i tempi vengono ridotti: basta una corretta selezione del caso e un’accurata programmazione chirurgica.
I vantaggi dell’implantologia a carico immediato sono:
- sostituzione dei denti subito dopo l’intervento chirurgico
- ripristino veloce dell’estetica e della funzione
- ridotto numero di sedute e minore stress

