Incisivamente parlando...
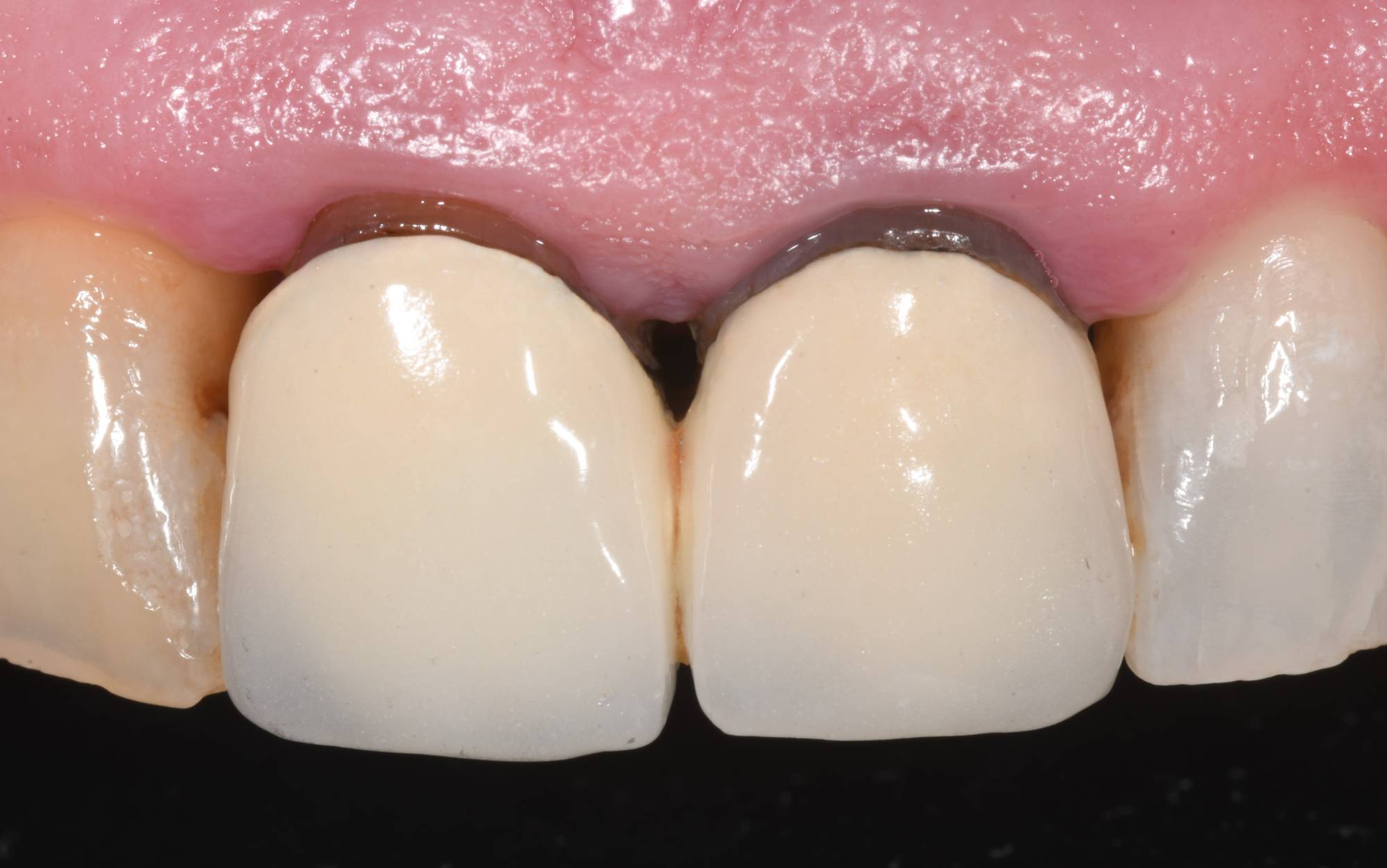
Gli incisivi centrali hanno la capacità di restituirti un sorriso spontaneo, anche quando si parte da due vecchie capsule in metallo ceramiche, con la gengiva ritirata. Guarda la terza e la quarta foto e te ne renderai conto. Le due foto iniziali dimostrano che se vai da un dentista esperto in protesi estetica, uscirai con denti dalle forme e colori talmente naturali da mimetizzare dagli altri. Quindi: “bello, ma soprattutto naturale.” Nessuno saprà che un dentista ci ha messo mano. Che tu sia di Besana, Seregno, Verano Brianza o dintorni, sei il benvenuto.



