Indovina dov'è l'impianto, memory game
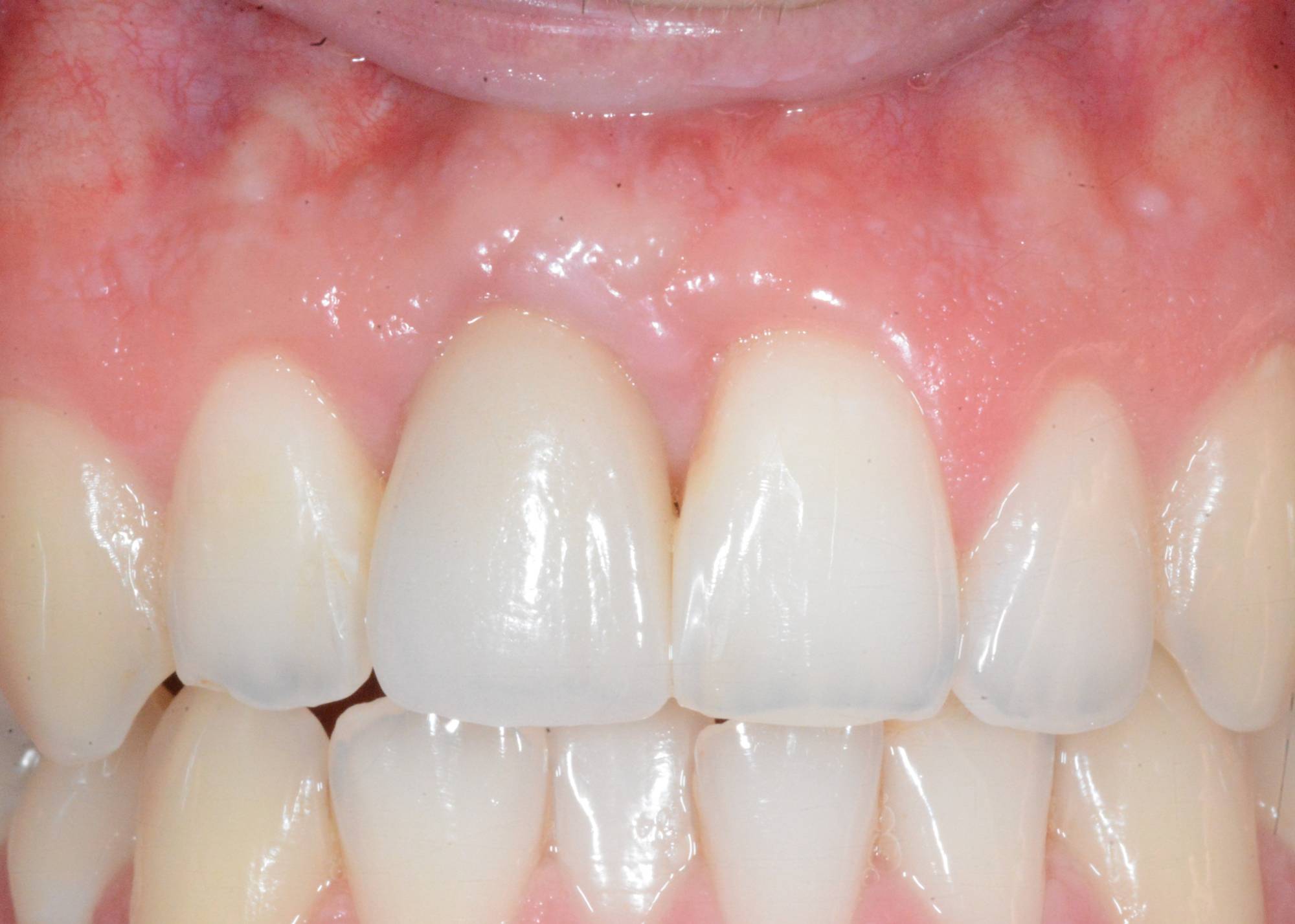
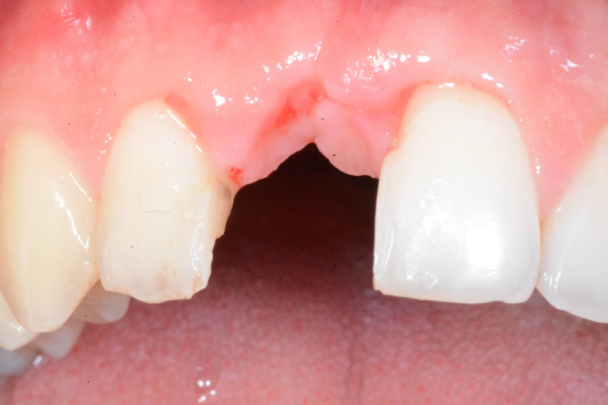
Ti sembra tutto normale in questa foto? Incisivi allineati e con un bel colore chiaro, gengive perfette e assolutamente non infiammate. E se invece ti dicessi che uno di questi denti è un impianto? Su quale scommetteresti? Ti sei mai fatto dei problemi a scoprire i denti quando ridi? Alle volte una caduta accidentale o un trauma durante un’attività sportiva possono toglierti la voglia di ridere liberamente. Guarda la foto successiva e capirai. A questo punto cosa potrebbe capitare? Inizi a sorridere con le labbra sigillate perché ti vergogni del tuo “buco” mentre ridi e ti diverti in compagnia. Questo giovane ragazzo ha perso l’incisivo centrale durante una partita di calcio fra amici. Aveva addirittura perso la parte esterna dell’osso che lo teneva in posizione. Ho dovuto mettergli un impianto osteointegrato e fare quello che noi dentisti chiamiamo “rigenerazione ossea guidata” per ricostruirgli l’estetica naturale che vedi nella prima foto. Solo nella terza puoi vedere cosa c’è dentro, al posto del suo dente ormai perso. La cosa bella è che non è mai stato senza il suo dente, nemmeno per un giorno. Premesso che è sempre meglio curare e salvare i propri denti, quando li devo sostituire, puoi contare sull’efficacia e sull’aspetto naturale degli impianti dentali. Questo ed altro è quello che facciamo nello Studio dentistico del dott. Fabio Ballestrasse a Besana Brianza (MB) e se sei di Verano Brianza, puoi raggiungerci facilmente.


