Inversione di rotta
La signora a cui questi denti appartengono ha una storia odontoiatrica travagliata. Premesso che ha sempre avuto paura del dentista, ogni volta che le si palesava un problema odontoiatrico si riempiva di antinfiammatori – all’occasione anche di antibiotici.
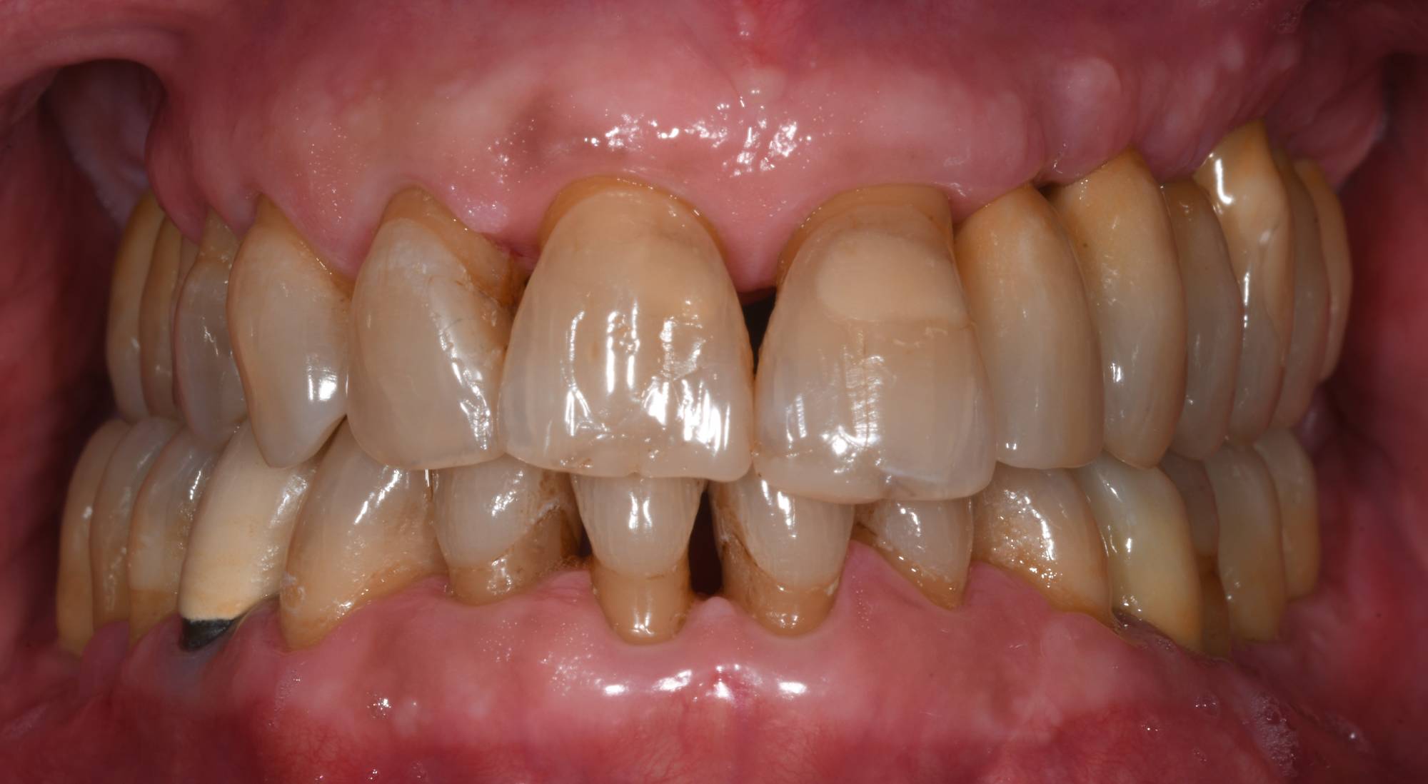
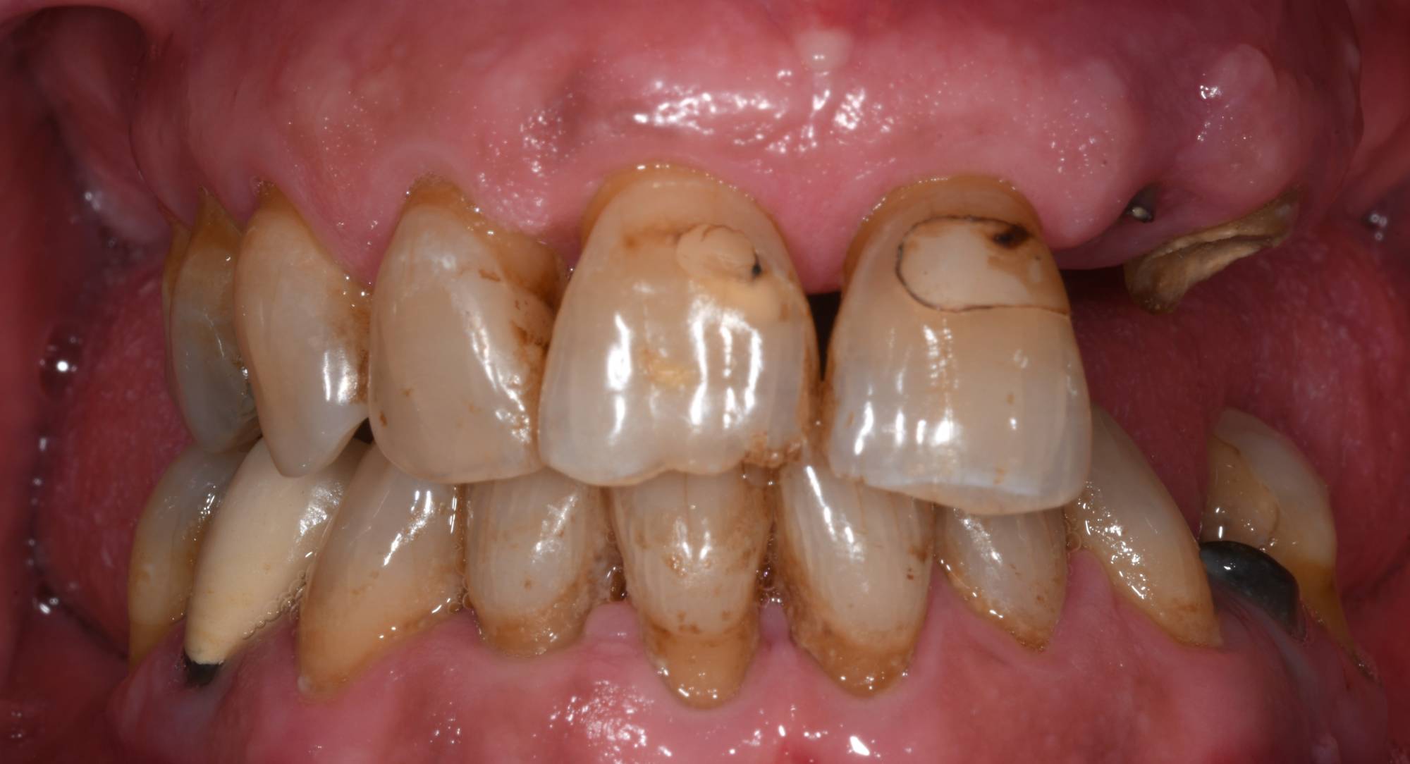
La prima volta che si è presentata nel mio Studio, la situazione era piuttosto critica, come puoi vedere nella seconda foto: denti mancanti o irrimediabilmente compromessi, vecchie otturazioni da sostituire, gengive con patologia parodontale.
Il motivo principale della titubanza della signora nell’iniziare le cure odontoiatriche era una vera e propria fobia. In questi casi è molto utile uso della sedazione cosciente col protossido d’azoto, tecnologia che riesce a togliere l’ansia. Nello Studio dentistico del dott. Fabio Ballestrasse di Besana Brianza (MB) si usa molto spesso, perchè la sedazione cosciente col protossido d'azoto aiuto moltissimo i pazienti fobici. Se sei di Seregno e desideri una seduta rilassante dal dentista, vieni a trovarci. Il paziente indossa una mascherina nasale, attraverso cui inala una miscela di ossigeno e protossido d’azoto. Questo permette di ottenere velocemente un piacevole effetto di profondo relax, una sensazione di benessere e distacco dall’ambiente circostante.
È un trattamento a cui tutti possono sottoporsi, durante il quale si rimane pienamente coscienti e collaboranti. Inoltre è sicuro e privo di effetti collaterali, perché il protossido d’azoto non è irritante né allergenico. Al termine della seduta la paziente è perfettamente in grado di andarsene da sola, senza necessità di essere accompagnata. Grazie a questa tecnologia la paziente si è potuta sottoporre alle cure necessarie, tra le quali 11 impianti osteointegrati, fino ad arrivare al ripristino della funzionalità e dell’estetica.

