L'avanguardia nel restauro del tuo sorriso
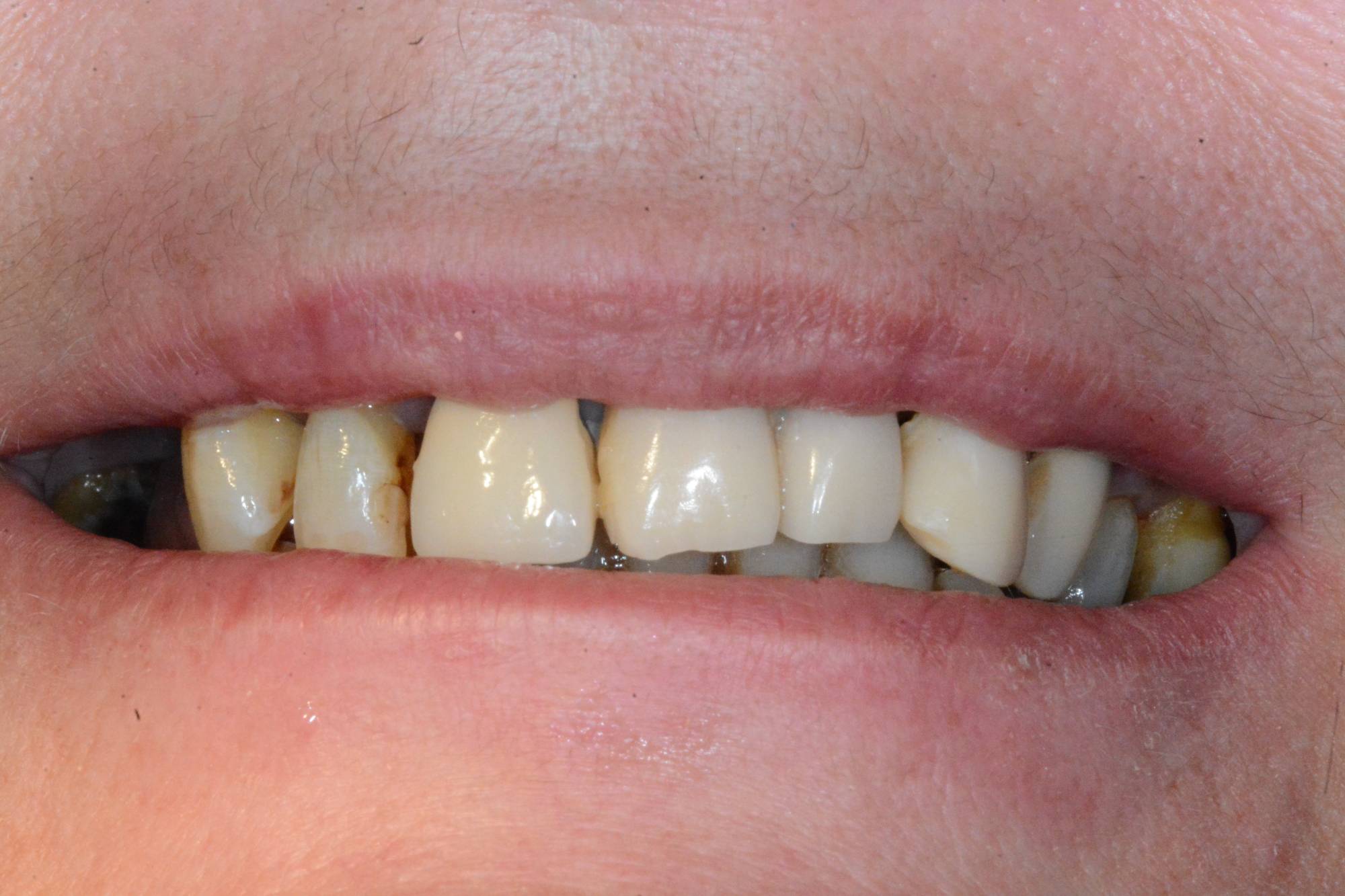
Guarda le due foto qui sotto: che tu ci creda o no, ritraggono la stessa persona, ma l’impatto del suo sorriso è completamente diverso. Prima si vedevano denti scuri e storti, vecchie capsule disarmoniche con proporzioni sbagliate, denti mancanti.
È bastato fornire al sorriso di questa signora le cure dovute per farle riguadagnare autostima e sicurezza in sé stessa. Osserva le labbra: nella prima foto sono contratte all'ingiù quasi a mascherare un sorriso forzato, nella seconda si aprono in un ampio sorriso.
Uso materiali protesici d’avanguardia; grazie a questi posso aiutarti a cambiare il tuo atteggiamento nei confronti della società e della vita.
Che ti piaccia o meno, il sorriso contribuisce enormemente al tuo aspetto e alla prima impressione che si dà agli altri. Pensa a quante situazioni ci sono in cui ti potresti sentire a disagio se i tuoi denti non ti piacciono. Fortunatamente però si può fare un “lifting” al tuo sorriso, perché un sorriso con denti ben curati è il primo biglietto da visita che puoi mettere in mostra.
Lo scopo della mia professione non consiste solo nel curare i denti e le gengive, ma anche nel farti riscoprire l’arte del sorriso e della stima in te stesso. Questo è quello che si fa tutti i giorni nello Studio dentistico del dott. Fabio Ballestrasse a Besana Brianza (MB).

