Look incisivo
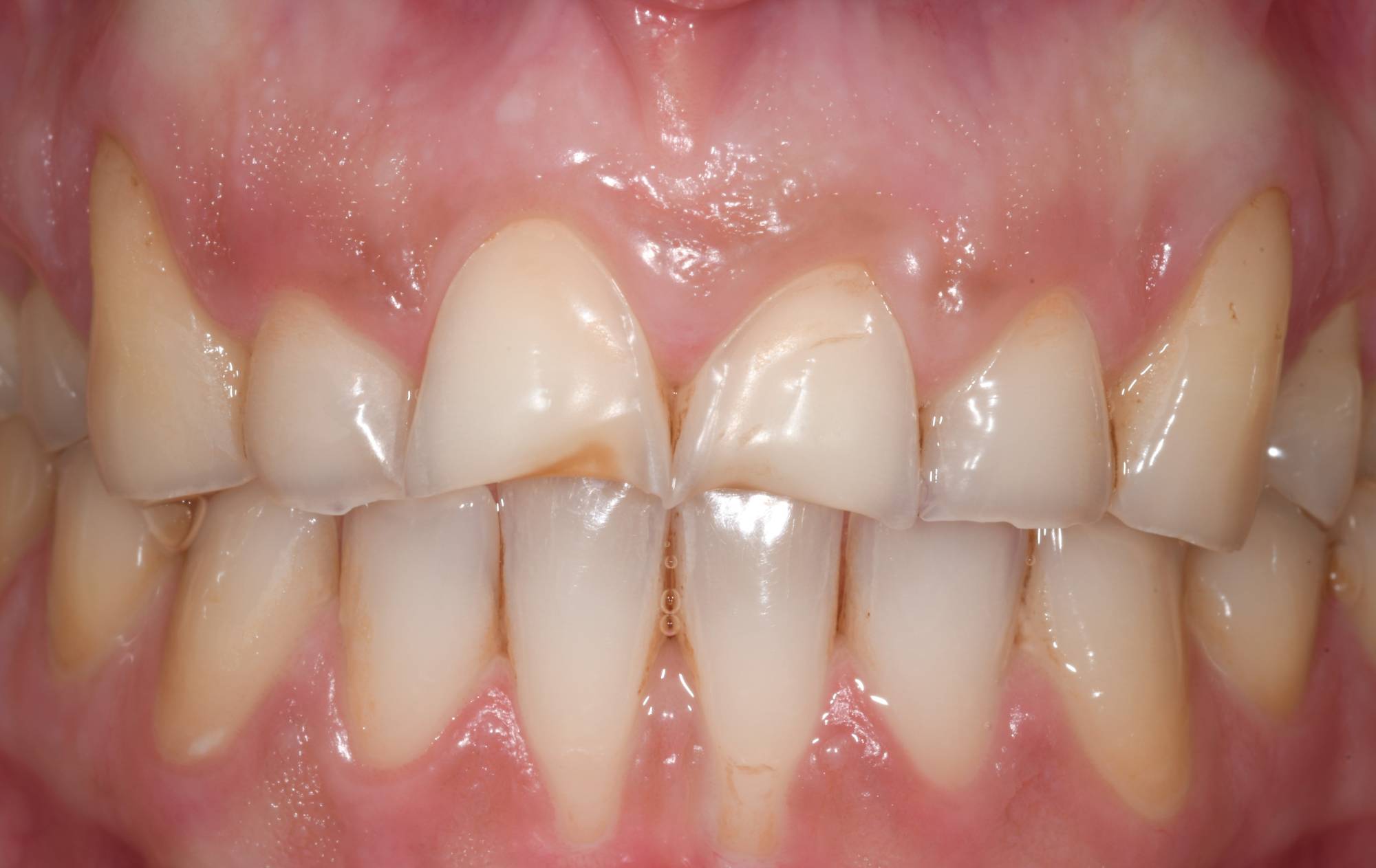
In un settore esteticamente rilevante come quello degli incisivi superiori, anche il minimo difetto può peggiorare il tuo sorriso e di conseguenza la tua autostima. E se devi eseguire dei restauri, la cosa più importante è che il risultato non sia solo bello, ma soprattutto naturale. Guarda le due foto qui sotto. La signora si è presentata nel mio Studio con i suoi elementi frontali superiori molto abrasi, rimpiccioliti, dalla forma anomala. Era insoddisfatta del suo sorriso, che riteneva imbarazzante. I suoi denti davano l’impressione di essere rovinati, senza forma e traslucenza. Tutto questo a causa dell’erosione che, mese dopo mese e anno dopo anno il suo reflusso gastrico ha creato nella sua bocca rovinando lo smalto e alterandone la forma.
Adesso guarda la foto successiva e osserva come le ho cambiato il sorriso: non si riesce a capire quali siano i denti artificiali e quali quelli naturali. Questo grazie all’inserimento di 4 faccette in disilicato di litio, essenza moderna dell’odontoiatria estetica: forme armoniche, aspetto naturale, mimetismo totale e soprattutto naturalezza e imitazione perfetta dei denti adiacenti.
Non sei soddisfatto del tuo sorriso? Del tuo restauro protesico ormai datato? Ti senti a disagio per un look poco naturale? Vuoi fare un lifting al tuo sorriso? Fai come altri miei pazienti di Giussano: lo Studio del dott. Ballestrasse a Besana Brianza ti può aiutare!

