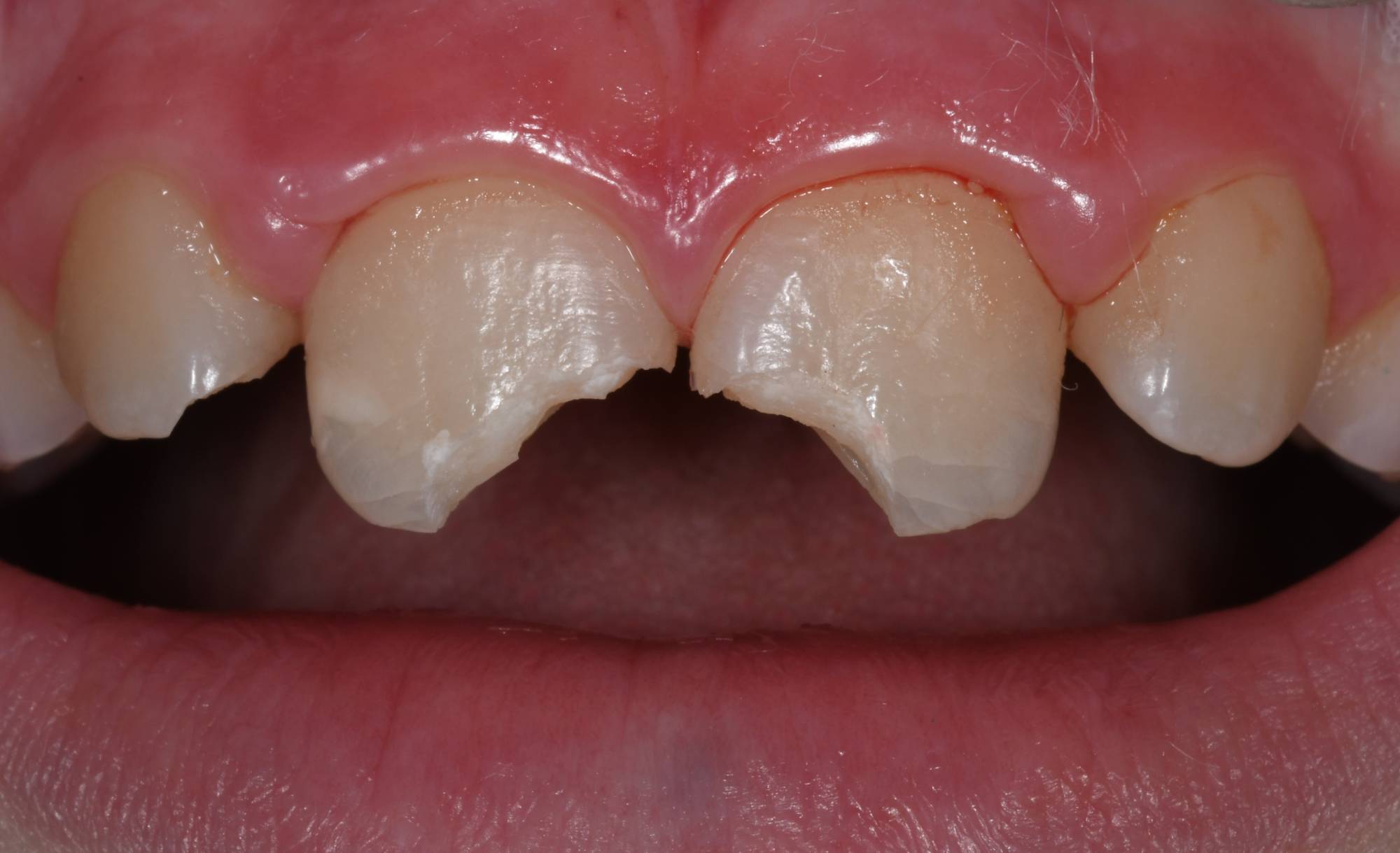
Mamma, sono caduto dalla bici!
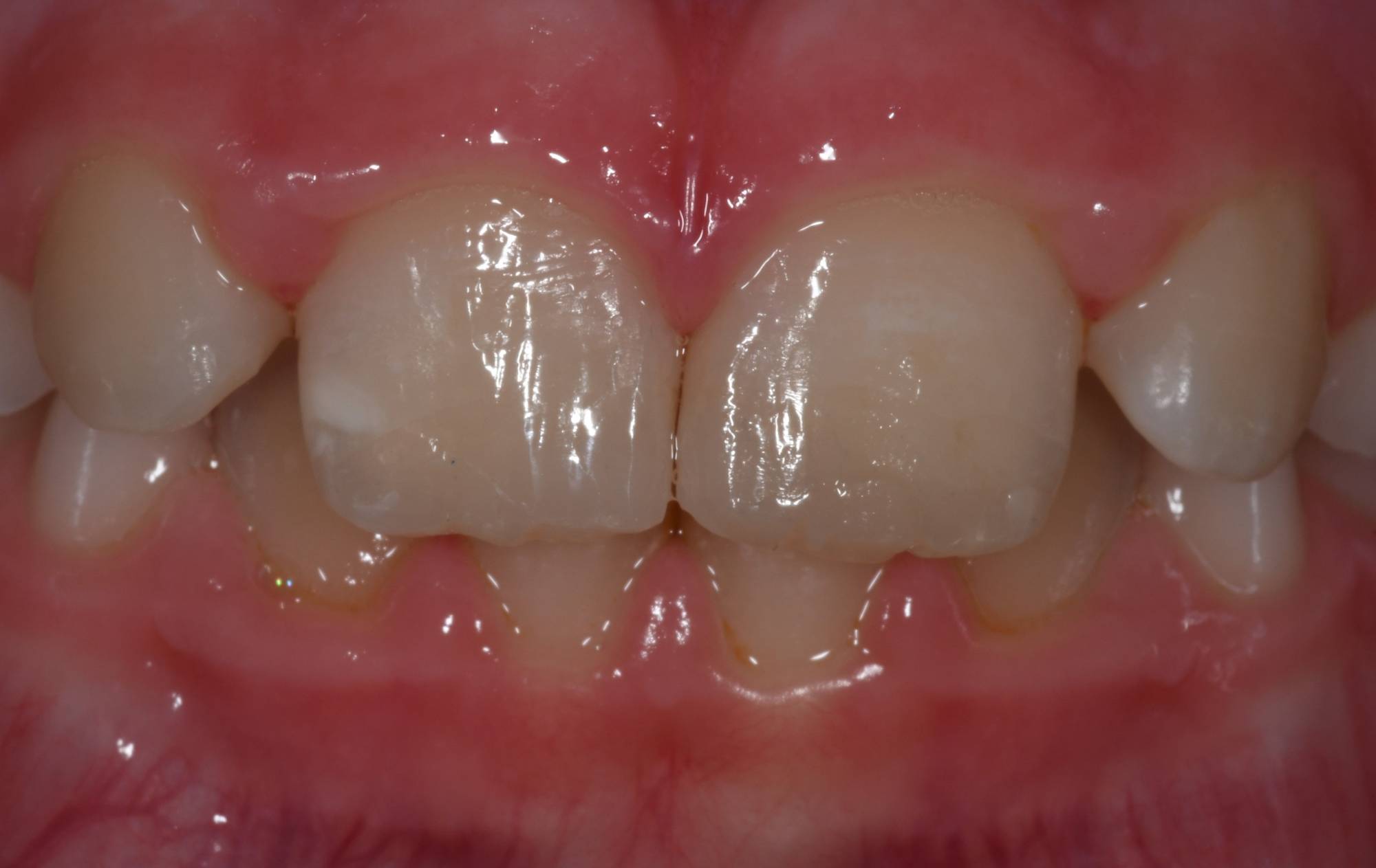
Un bel sorriso è un ottimo biglietto da visita per avere successo nella vita. Purtroppo può succedere che un incidente stradale o in ambiente domestico te lo possano compromettere. Guarda bene la foto qui sotto: i due incisivi superiori di un bambino erano completamente rovinati dopo una caduta dalla bicicletta, ma grazie all’ utilizzo di nuovi e performanti materiali compositi per otturazioni estetiche il problema è stato risolto in un’unica seduta e con un risultato pienamente soddisfacente.
Infatti se ci fosse un difetto nelle mie otturazioni sarebbe ampiamente visibile, invece non si riesce a notare dove finisce il dente e dove inizia la ricostruzione .
Questo è l’aspetto del mio lavoro che più mi dà soddisfazione: ridare la voglia di sorridere alle persone, aumentare la loro autostima, farle sentire più sicure di se stesse.
Hai denti sbeccati? Vecchie otturazioni da rifare? Hai degli spazi tra un dente e l’altro e vuoi chiuderli? In questi casi i vantaggi delle otturazioni dirette in composito sono:
• Risultati veloci in una solo seduta
• In modo non invasivo
• Bassi costi
Niente più scuse! Migliora il tuo sorriso e ritrova il piacere di ridere! Te lo garantisce il dottor Fabio Ballestrasse di Besana Brianza (MB).

