Meglio tardi che mai
“Se mi fossi decisa prima…”, questa è stata l’esclamazione iniziale della signora dopo aver visto il risultato del mio lavoro di protesi estetica sui denti fontali.
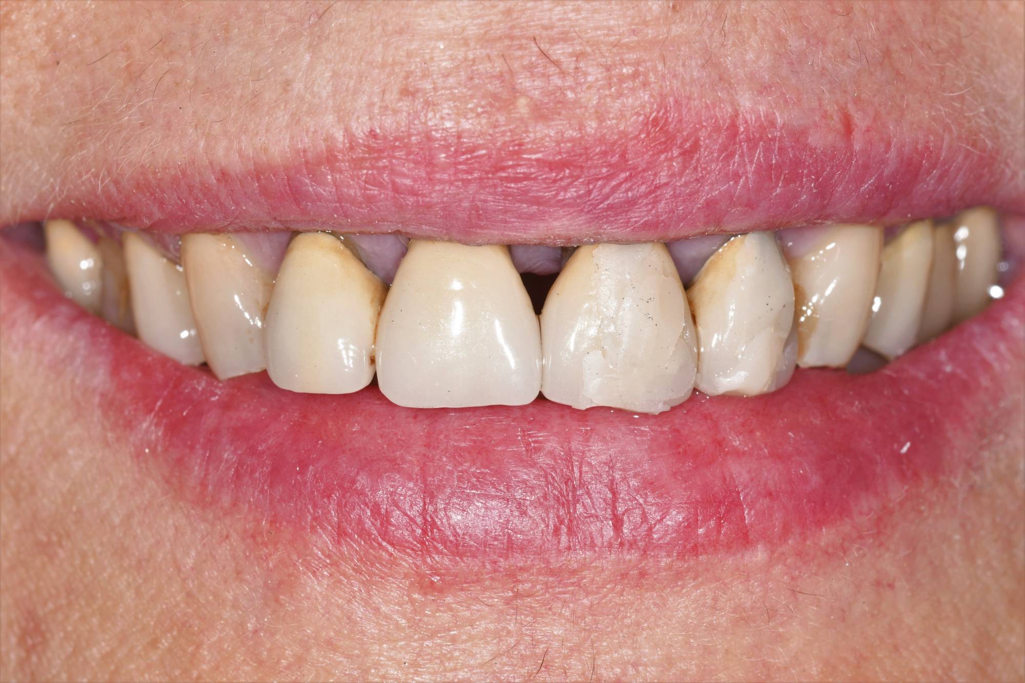
Questa paziente si era presentata con delle vecchie capsule in metallo-ceramica sugli incisivi superiori. Si erano rotte più volte, ma aveva preferito farsi fare dei “rattoppi” piuttosto che sostituirle. Nel frattempo le sue gengive si erano ritirate e si era creato un grosso buco tra i due incisivi centrali. Il suo sorriso sembrava “datato”, ceramiche di quel tipo erano nate senza traslucenza, apparendo “piatte” e finte.
Quando le ho inserito il nuovo lavoro, non appena si è vista allo specchio, ha continuato la sua esclamazione concludendo “…adesso dimostro 10 anni in meno!”. Non ti posso mostrare il suo volto, ma il suo nuovo sorriso di soddisfazione le è rimasto stampato sul viso.
Puoi guardare tu stesso le foto del prima e del dopo e nella terza foto le capsule in zirconia (materiale totalmente bianco) stratificate in ceramica.
Questo è il bello dell’odontoiatria estetica: non si riesce a capire dove io sia intervenuto creando un corretto adattamento delle gengive, eliminando gli spazi antiestetici e soprattutto dando naturalezza con un’imitazione invisibile dei denti adiacenti.
Non sei soddisfatto del tuo aspetto? Ti senti a disagio per un look poco naturale? Vuoi migliorare il tuo sorriso? Tutto è possibile, lo Studio dentistico del dott. Fabio Ballestrasse a Besana Brianza( MB) ti aiuterà!


