Non buttare via niente!
Se ti dovesse capitare un incidente di qualsiasi natura che coinvolge il viso, potresti riportare un trauma anche ai denti. I più a rischio di frattura ovviamente sono gli incisivi, perché in posizione frontale.
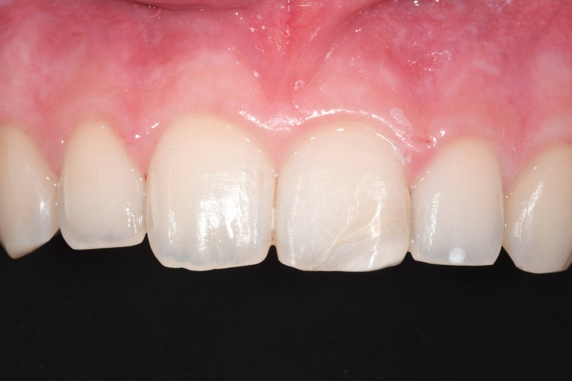
Guarda la foto qui sotto. Per una caduta, ad una giovane ragazza si era spezzato un incisivo superiore. Oltre al dolore, il danno estetico era grave. Ha avuto però la prontezza di spirito di telefonarmi e chiedermi come comportarsi. In questi casi per ottenere il miglior ripristino della funzione e dell’estetica è molto importante recuperare il frammento di dente che si è rotto, perché si può incollare. Quindi, se tu o un tuo conoscente doveste avere un problema simile:
1) recupera subito il pezzo di dente rotto
2) mettilo dentro un contenitore ermetico con del latte
3) telefona subito ad un dentista che ti deve riattaccare il frammento con tecniche adesive
Nelle altre foto puoi vedere il pezzo di dente rotto e il risultato finale. Queste sono informazioni che possono cambiarti il risultato per anni, fanne tesoro.


