Non perdere il sorriso!
È innegabile, il tuo sorriso contribuisce enormemente alla prima impressione che dai agli altri, è il primo tratto che si nota in una persona.
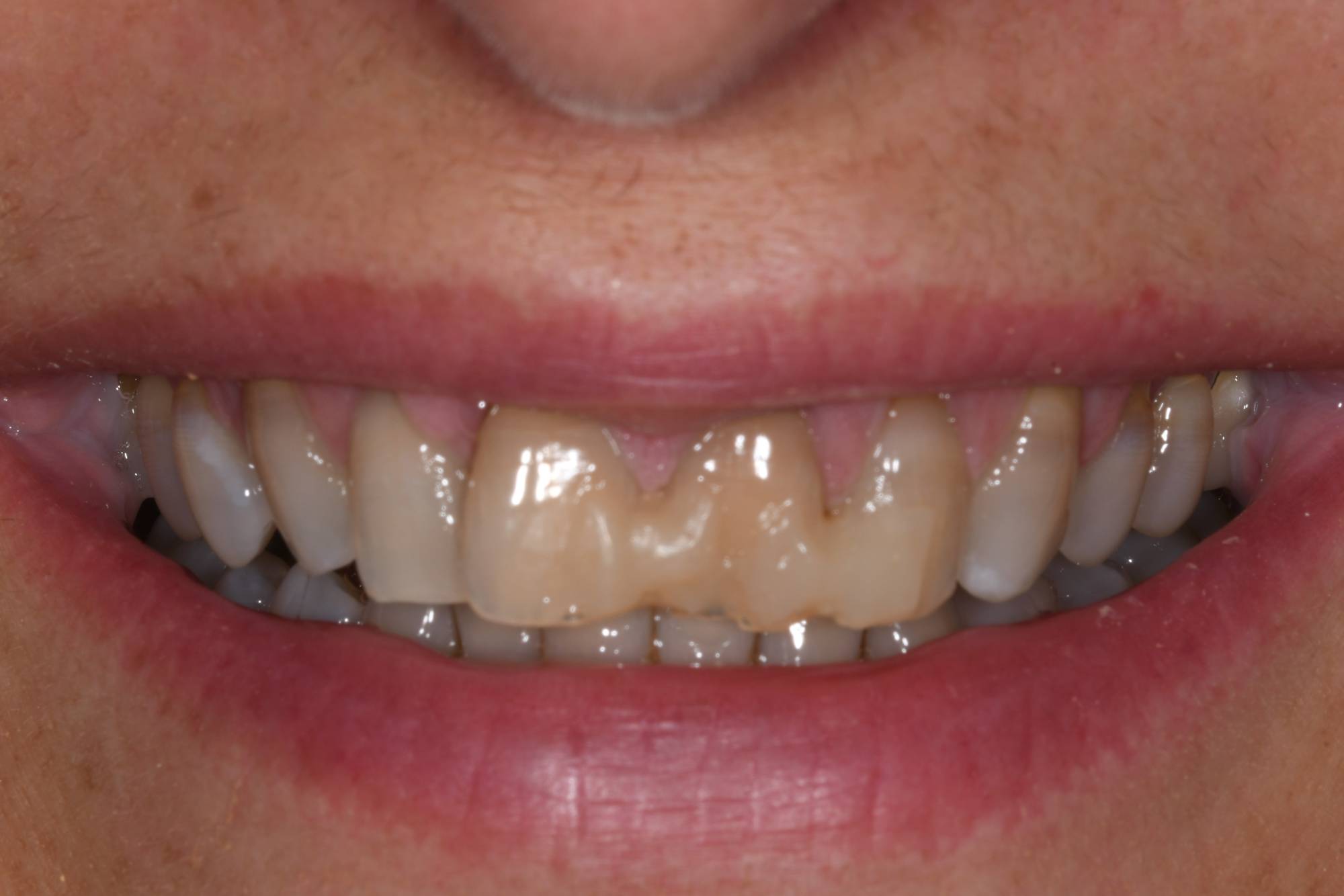
Un sorriso con denti ben curati è il primo biglietto da visita che metti in mostra, soprattutto adesso che non si mette più la mascherina. Ma se si vedono denti storti o con colori anomali, otturazioni scure e antiestetiche, vecchie capsule con la gengiva ritirata, bordini neri o addirittura denti mancanti, l’impressione che darai a chi ti guarda ne risentirà inevitabilmente.
Pensa di dover fare una cena romantica, un importante colloquio di lavoro, un primo appuntamento, o semplicemente una risata tra amici: probabilmente non ti sentiresti a tuo agio. Ma c’è una soluzione per non perdere il sorriso: fortunatamente si può fare un “lifting” al tuo sorriso.
Guarda le foto qui sotto: è bastato cambiare la forma e il colore agli incisivi di questa signora per farle riguadagnare autostima e sicurezza in sé stessa. Con i performanti materiali estetici a mia disposizione puoi cambiare il tuo atteggiamento nei confronti della società e della vita.
Il mio scopo non consiste solo nel curare i denti e le gengive, ma anche nel darti maggiore stima e fiducia in te stesso tutti i giorni e in ogni situazione.
Se non ti senti a tuo agio quando sorridi, è arrivato il momento agire. A Besana Brianza, l'odontoiatria estetica di alto livello la trovi dal dott. Fabio Ballestrasse!

