Odontoiatria d'avanguardia
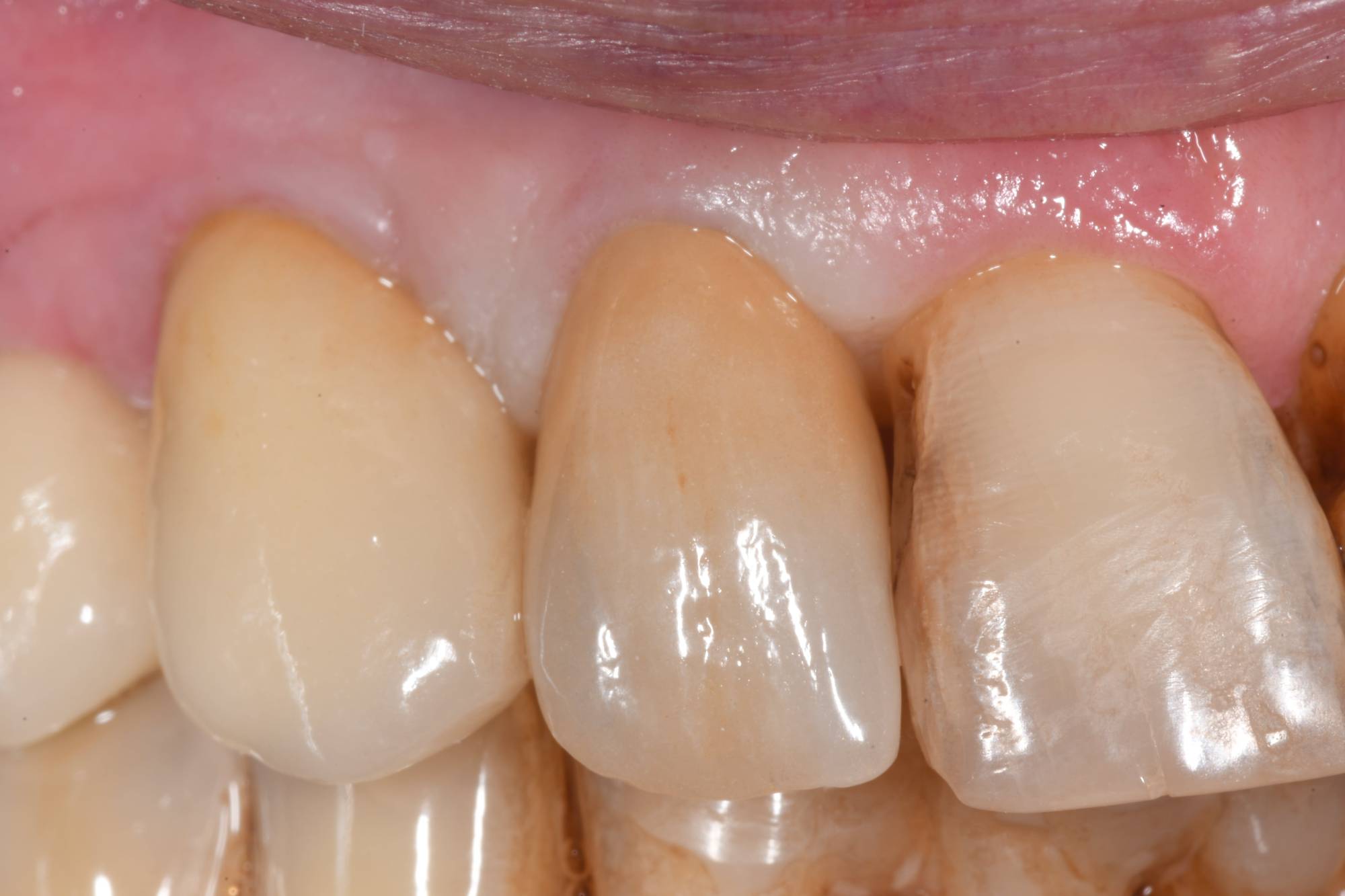
Se ti chiedi cosa ci sia di artificiale nella prima foto, la domanda è lecita e la risposta non è facile. Guarda bene la foto qui sotto. I tre denti ingranditi in primo piano sembrano perfetti, c’è solo qualche macchiolina scura qua e là. Ma se guardi la foto successiva vedi che l’incisivo laterale aveva una vecchia capsula in resina, una di quelle che si facevano tanti anni fa, con un colore e una forma poco naturali. Per cui ecco svelato il mistero: l’incisivo laterale è stato ricoperto da una nuova corona protesica e come puoi vedere non si vede ombra di metallo.
Perché il materiale con cui è stata realizzata è zirconia + ceramica. La zirconia ( Zr O2), o ossido di zirconio, che noi dentisti usiamo in odontoiatria protesica, deriva dallo zirconio ed è un ossido ceramico del metallo di partenza. I vantaggi di questo materiale sono l’alta resistenza, anche con bassi spessori e un’estetica naturale grazie alla totale assenza di metallo grigio. Da non sottovalutare la sua biocompatibilità: non provoca reazioni avverse o allergie. Nello Studio dentistico del dott. Fabio Ballestrasse a Besana Brianza siamo molto attenti a questo aspetto, come sanno molti nostri pazienti di Monticello Brianza.
Quando viene ricoperto con la ceramica, si ottiene il mix perfetto di resistenza ed estetica: traslucenza e opalescenza imitano la naturalezza dei denti naturali. Se è eseguita a regola d’arte, non si riesce a distinguere dai denti vicini. Confronta la prima foto e in rapida successione la seconda, poi di nuovo la prima e subito dopo la seconda. Così capirai meglio i progressi dell’odontoiatria estetica degli ultimi anni.

