Odontoiatria d'avanguardia 2
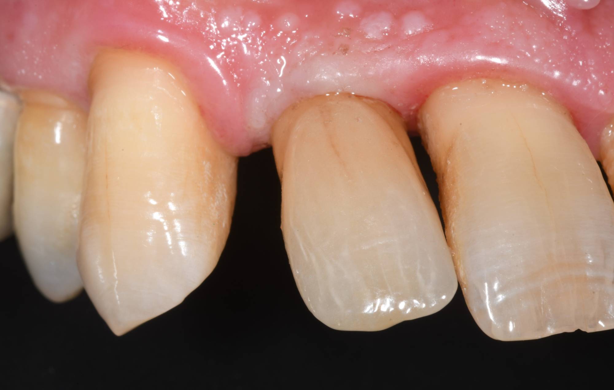
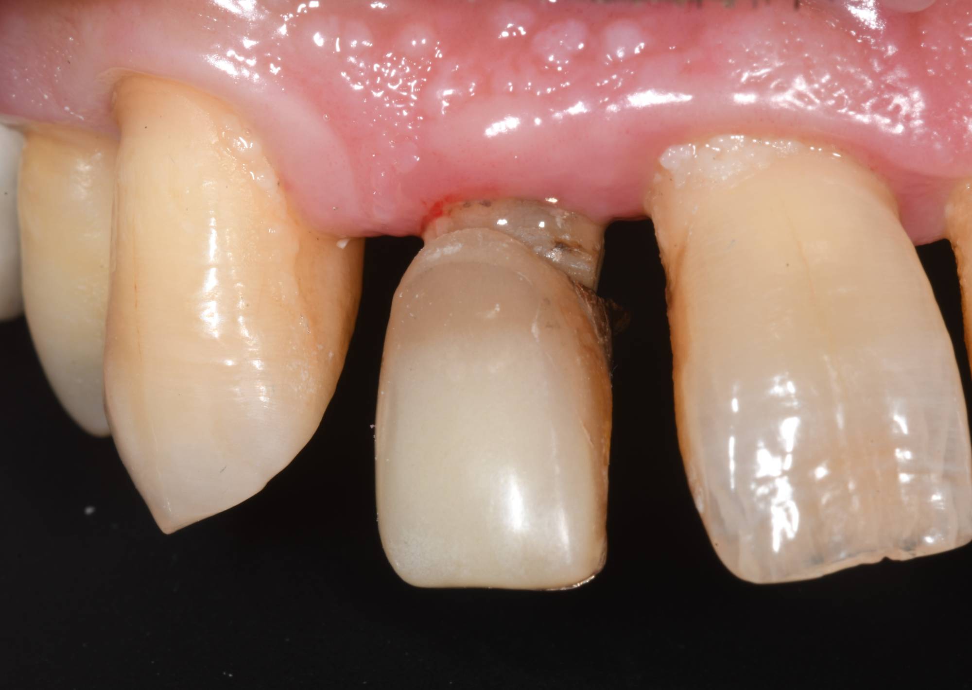
Se ti chiedi cosa ci sia di speciale nella prima foto, la risposta non è semplice, sembra di giocare a nascondino. Guarda bene, i tre denti ingranditi in primo piano sembrano perfetti, c’è solo qualche segno d’usura dello smalto; del resto il paziente non è più un ragazzino. Se invece guardi la foto successiva, vedi che l’incisivo laterale aveva una vecchia capsula in oro-resina, cementata tanti anni fa, con una tinta e una forma che tradisce la sua artificialità e per giunta con un’evidente e antiestetica recessione gengivale. Quindi il mistero è svelato: la vecchia capsula è stata sostituita da una nuova corona protesica dall’aspetto assolutamente naturale.
Non c’è alcuna traccia di metallo perché il materiale con cui è stata realizzata è zirconia + ceramica. La zirconia, che si usa per realizzare capsule estetiche, è un ossido ceramico dal colore chiaro. I vantaggi di questo materiale sono l’alto grado di resistenza e un’estetica naturale grazie alle varie tonalità di bianco che si possono ottenere. Inoltre è biocompatibile: non provoca reazioni avverse o allergie.
Per ottenere il massimo dell’estetica la zirconia viene ricoperta con la ceramica, riuscendo così ad imitare la naturalezza dei denti dei pazienti. Se è eseguita a regola d’arte, non si riesce a distinguere dai denti vicini. Questo è il principale materiale che si usa nello Studio dentistico del dott. Fabio Ballestrasse a Besana Brianza (MB) e se abiti a Missaglia sei vicino a noi. Confronta la prima foto e in rapida successione la seconda, così capirai meglio la potenzialità che l’odontoiatria estetica ha raggiunto negli ultimi anni.

