Ortodonzia invisibile, risultati evidenti
Se hai i denti disallineati o sovrapposti e desideri un sorriso affascinante ma non vuoi mettere l’apparecchio tradizionale (quello con le stelline in acciaio, per intenderci), questo post ti potrebbe interessare.
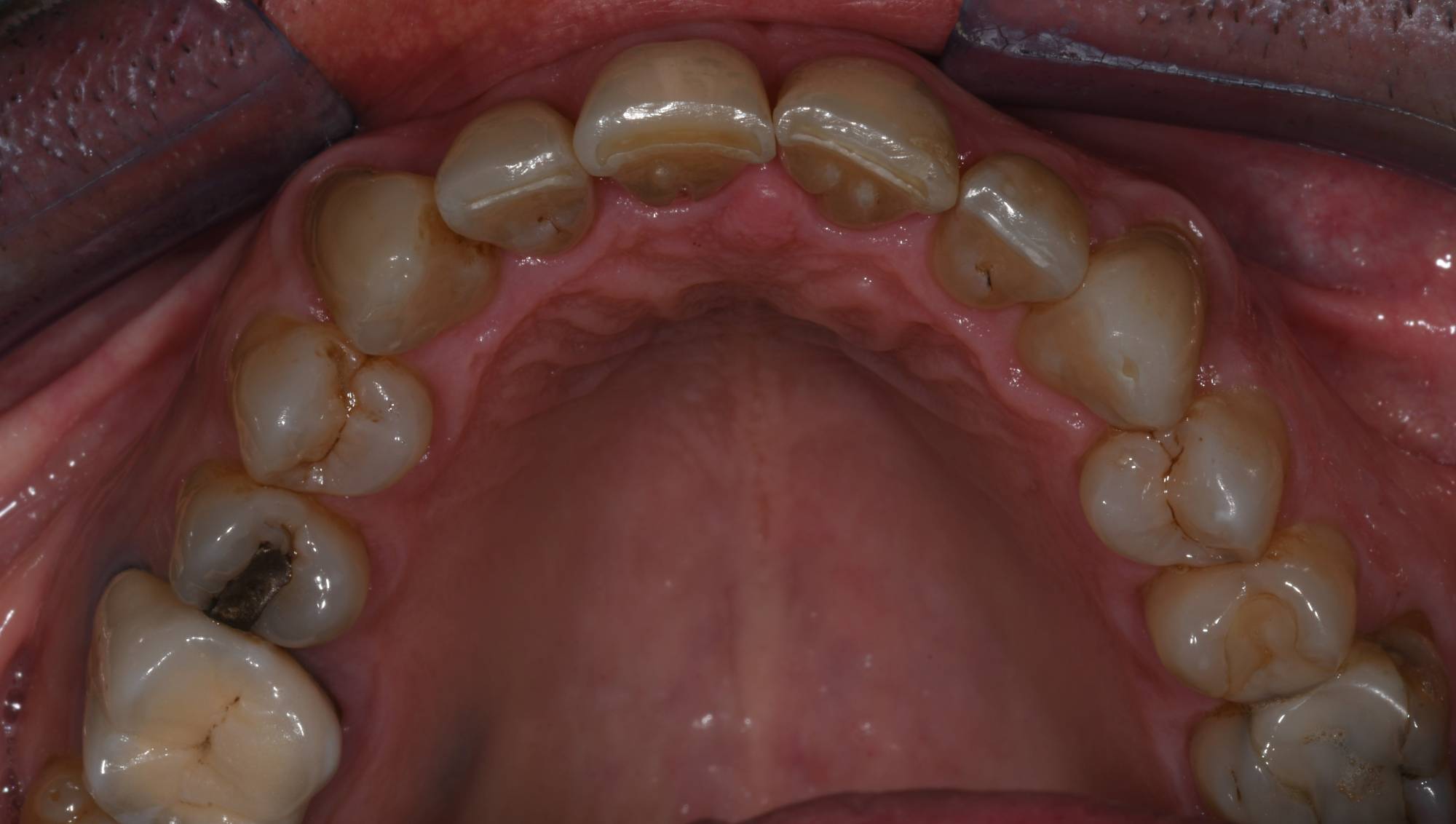
Puoi tornare a sorridere con gli allineatori trasparenti! Guarda la prima foto qui sotto: il paziente aveva i denti frontali molto accavallati e si vergognava di sorridere. Viveva quell’affollamento dentale (noi dentisti lo chiamiamo così) come una deformità, ma non voleva mettere l’apparecchio tradizionale.
Fortunatamente esiste questa nuova tecnologia, che gli ha permesso di allineare i suoi denti, come vedi nella seconda foto, senza apparecchio fisso e in tempi rapidi. Nello Studio dentistico del dott. Fabio Ballestrasse a Besana Brianza si usa spesso l'ortodonzia con allineatori e molti pazienti di Giussano lo sanno.
Gli allineatori sono delle sottili mascherine trasparenti da indossare giorno e notte che spostano i denti fino a raggiungere la posizione ideale. Nella terza foto puoi vedere come è fatto un allineatore trasparente mentre viene inserito in bocca: una volta che è salito nella posizione corretta, diventa quasi invisibile a distanza.
Quanti allineatori e quanto tempo durerà la tua cura? Dipende dallo studio che si esegue semplicemente con le scansioni ottiche dei tuoi denti. Tutto il resto lo farò io al computer!
I vantaggi attraverso questa tecnologia?
• Mascherine praticamente invisibili e comode
• Possibilità di una vita normale
• Possibilità di pulizia veloce
• Pagamenti dilazionati durante la terapia


