Ortodonzia pronti e via!
Hai i denti disallineati o sovrapposti e desideri un sorriso affascinante, ma non vuoi mettere l’apparecchio tradizionale?
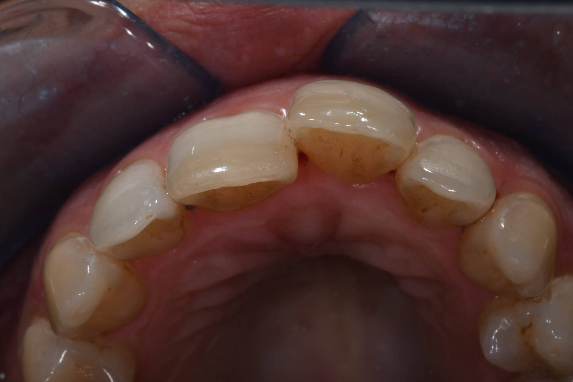
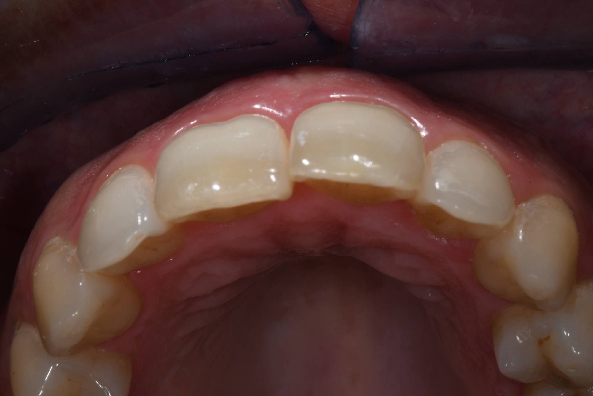
La buona notizia è che puoi tornare a sorridere con gli allineatori trasparenti! Guarda le foto qui sotto: la signora aveva un incisivo che sporgeva talmente tanto che non poteva chiudere le labbra e si vergognava di sorridere. Viveva quel dente in fuori come una deformità, ma non voleva mettere l’apparecchio tradizionale, si riteneva troppo “vecchia”.
Fortunatamente esiste questa nuova tecnologia che le ha permesso di allineare i suoi incisivi, come vedi nella seconda foto, senza apparecchio fisso e in tempi rapidi.
Gli allineatori sono delle sottili mascherine trasparenti da indossare giorno e notte che spostano i denti nella posizione ideale. Si utilizza una sequenza di mascherine fino al raggiungimento dell’allineamento perfetto dei tuoi denti. Il dott. Fabio Ballestrasse di Besana Brianza utilizza gli allineatori trasparenti per darti il sorriso che desideri.
Quanti allineatori e quanto tempo durerà la tua cura? Dipende dallo studio del tuo caso che si esegue semplicemente con le impronte dei tuoi denti. Tutto il resto lo farò io al computer!
Ecco cosa ti posso garantire con questa tecnologia:
• Mascherine praticamente invisibili e comode
• Possibilità di una vita normale
• Possibilità di pulizia veloce
• Pagamenti dilazionati durante la terapia

