Parodontite: prima che sia troppo tardi
Parodontite: prima che sia troppo tardi.
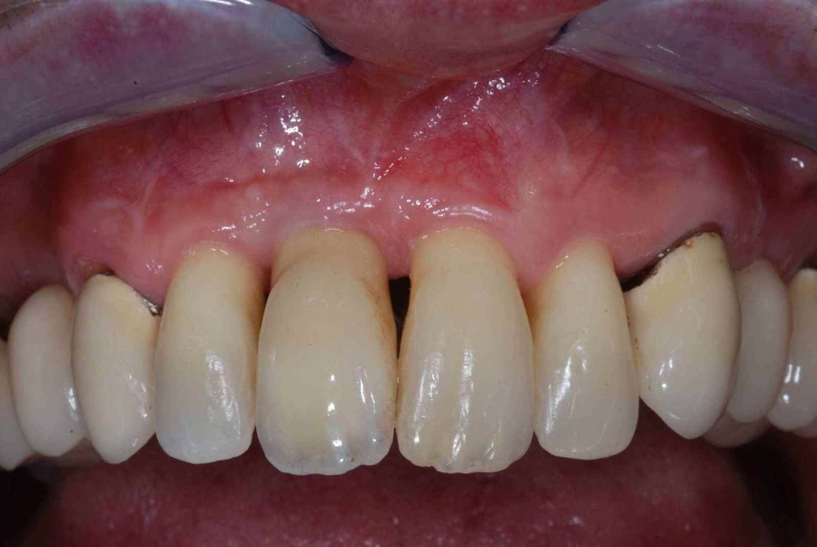
Mi occupo di parodontologia da decenni. E' la branca dell'odontoiatria che cura i tessuti di sostegno del dente. Se hai gengive infiammate, gonfie, che sanguinano durante l'uso dello spazzolino, se hai recessioni gengivali, sensibilità al freddo o alitosi, potresti avere la parodontite. Più aspetti, più perdi osso di sostegno fino a quando i tuoi denti si muoveranno fino a farti male durante la masticazione e saranno da estrarre. Affidati alle cure di un parodontologo, prima che sia troppo tardi.
Dott. Fabio Ballestrasse
via Roma 16 Besana Brianza (MB)
0362996562
