Piccoli dettagli che fanno la differenza
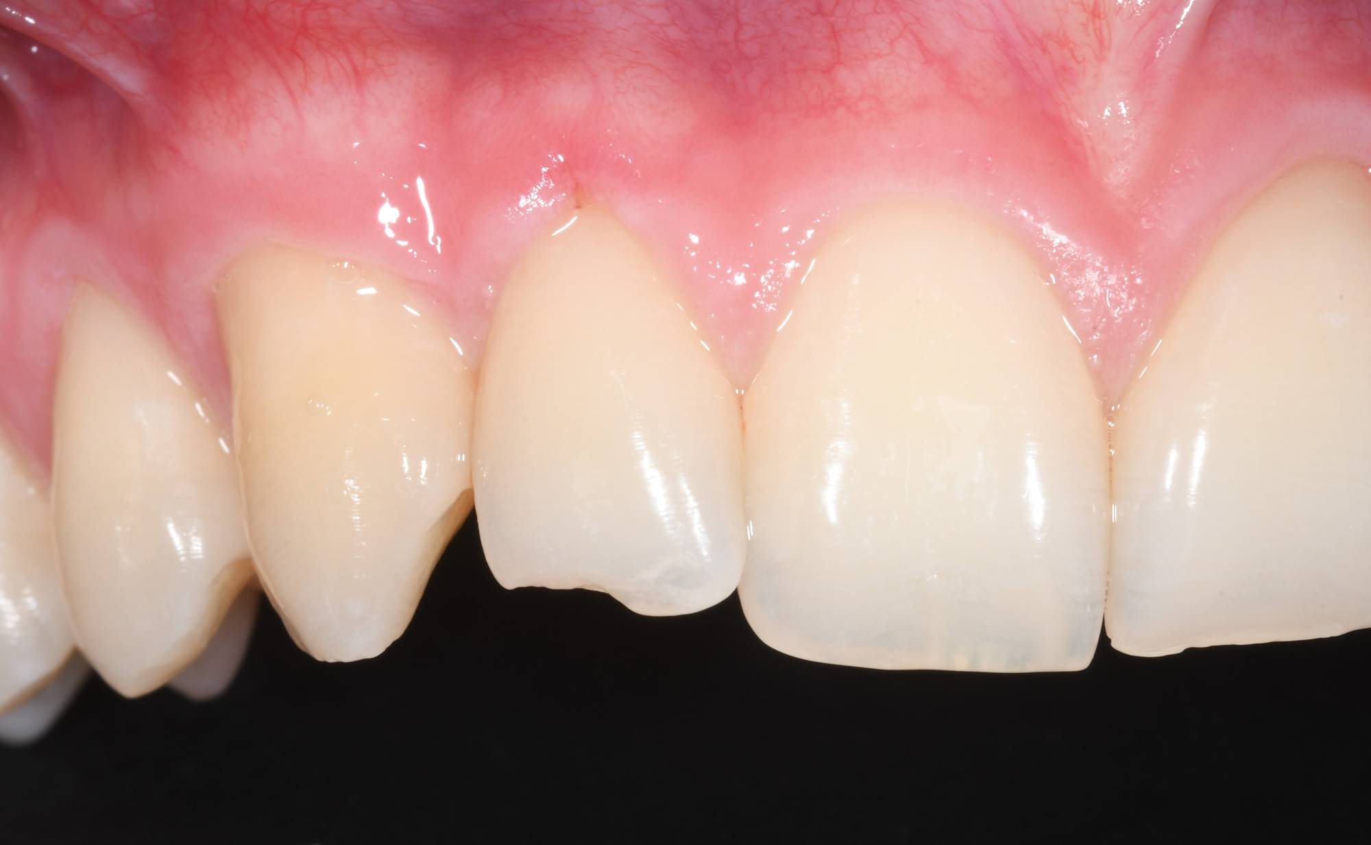
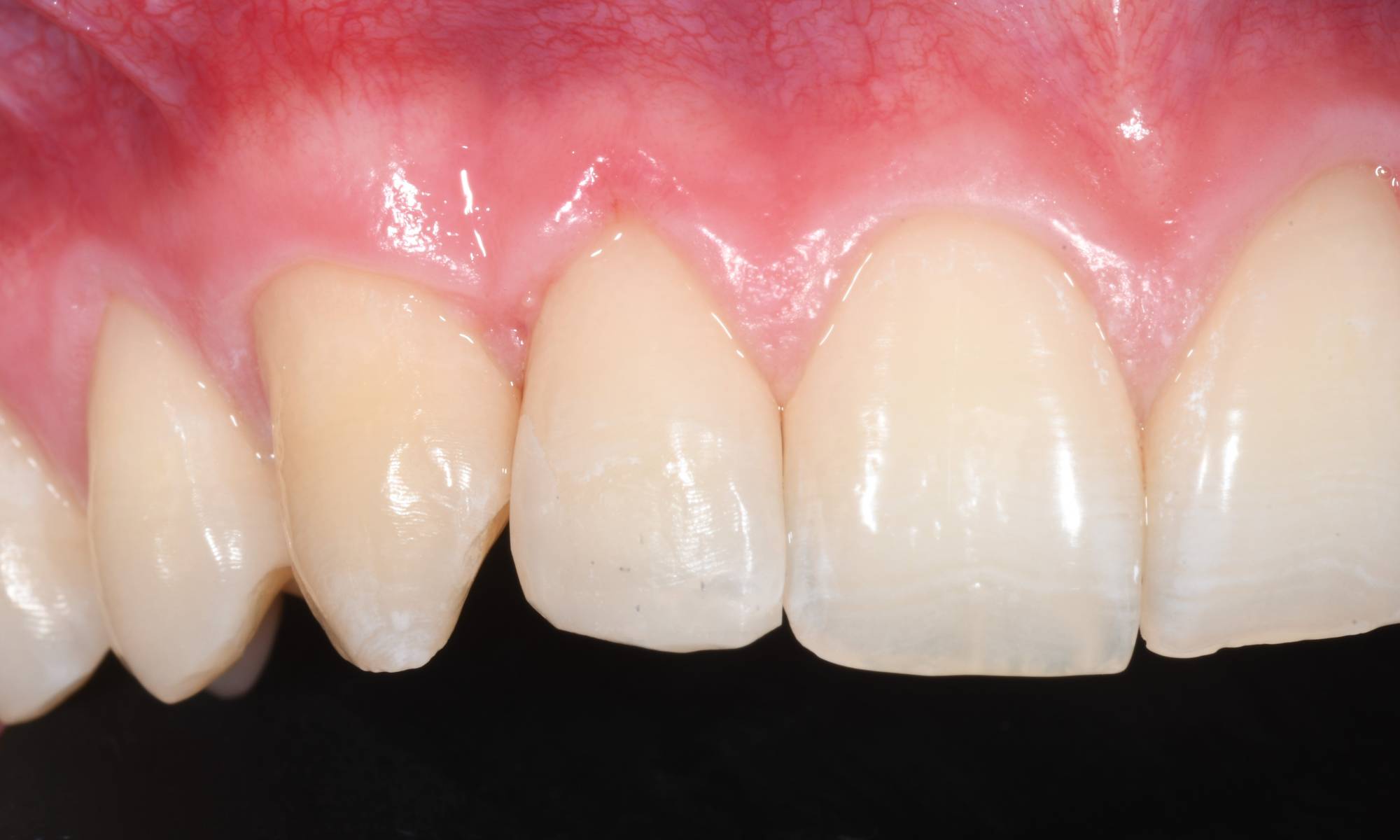
Quando si scoprono le labbra, l’impatto visivo cade subito sugli incisivi superiori e anche il minimo difetto può peggiorare il tuo sorriso e di conseguenza la tua autostima. Eseguire dei restauri nel settore frontale crea l’armonia e la simmetria che rendono il sorriso più bello e attraente. Guarda le due foto qui sotto. Questo ragazzo è arrivato nel mio Studio a Besana Brianza con l’incisivo laterale fratturato. La forma era anomala e il dente risultava asimmetrico rispetto all’altro. Era insoddisfatto del suo sorriso, e aveva preso l’abitudine di mettersi una mano davanti alla bocca quando rideva. A volte un piccolo dettaglio pesa come un macigno e non fa vivere con serenità. E’ bastato ricostruire l’angolo rotto con i moderni materiali estetici per ottenere un risultato estetico soddisfacente, il tutto in soli 30 minuti.

