Pit stop delle tue otturazioni ingiallite
Hai vecchie otturazioni ingiallite? Ma vuoi migliorare il tuo sorriso senza interventi costosi e invasivi.
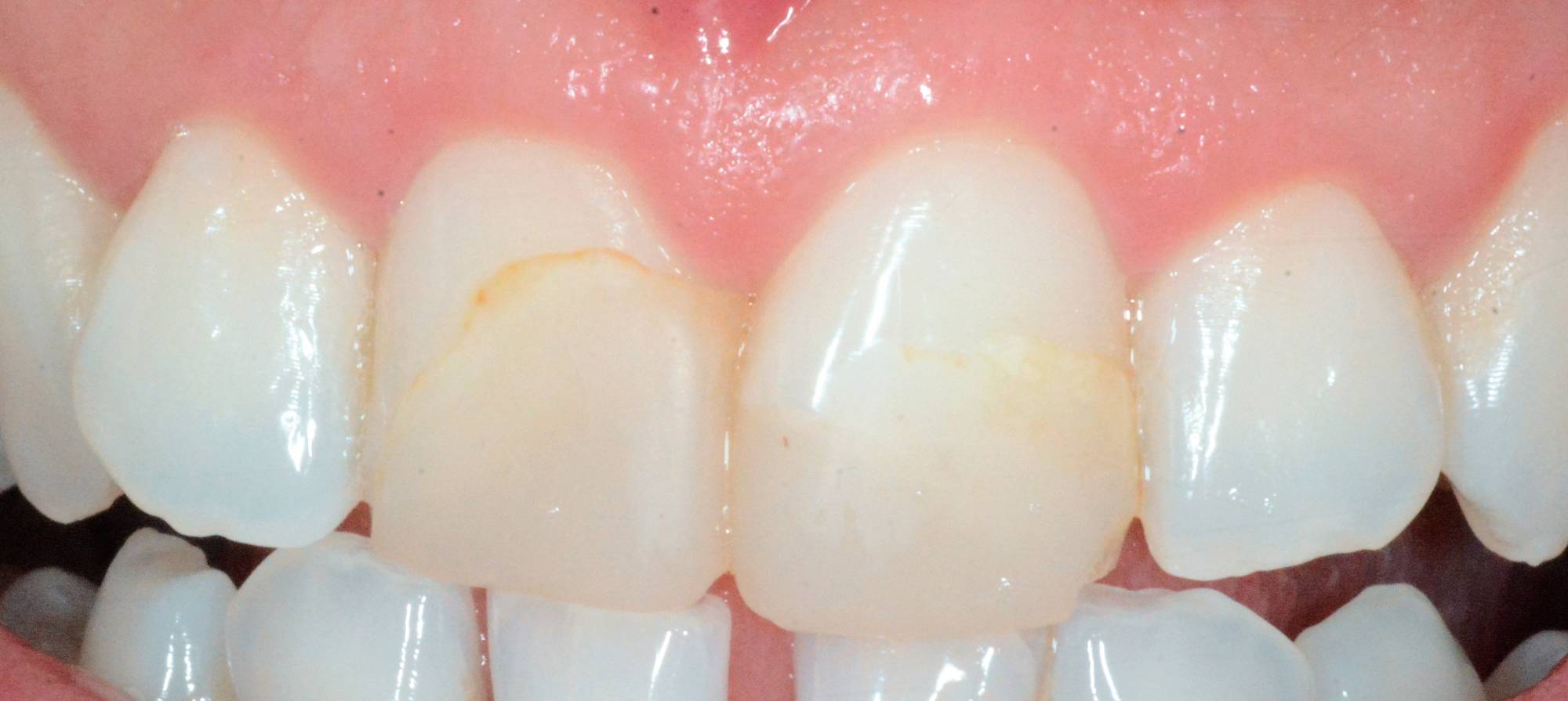
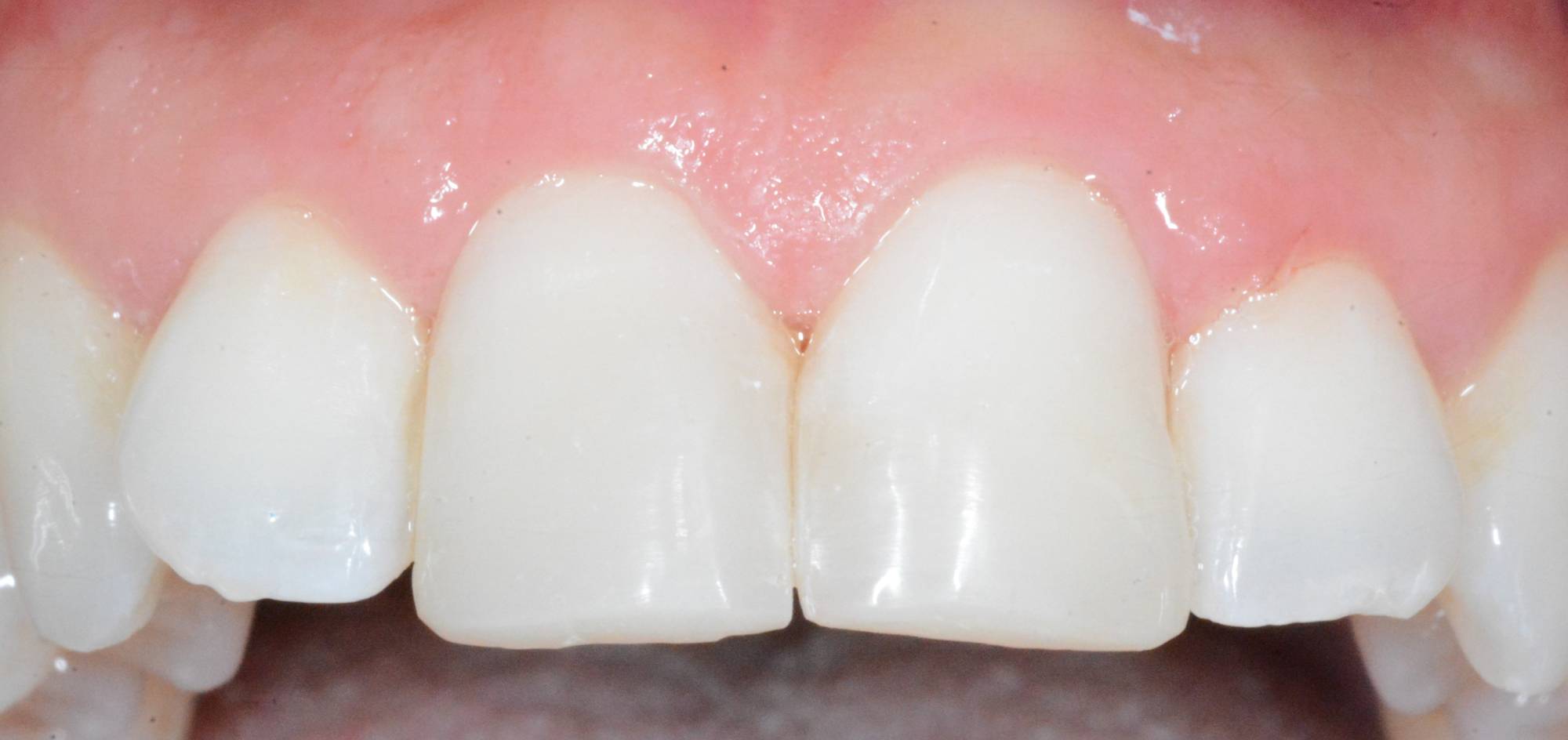
Si può fare! Lo so che non tutti si possono permettere di scoprire i denti mentre ridono. Alcune persone sorridono a denti stretti perché si vergognano dei loro denti a causa di vecchie otturazioni scolorite, ingiallite, sbeccate. I denti gialli sono causa di disagio perché incidono negativamente sull’immagine generale della persona trasmettendo un’apparenza di scarsa cura di sé e di pessima igiene orale. In realtà le otturazioni, anche se correttamente eseguite, nel tempo tendono ad assorbire i pigmenti alimentari ( tè e caffè in primis) e quelli del fumo diventando sempre più scure. Guarda le foto: una giovane ragazza aveva vecchie otturazioni ingiallite agli incisivi superiori, ma in una solo seduta le cambiato l’aspetto come si vede nella seconda foto, ridandole la voglia di sorridere e facendola sentire più sicura di se stessa. Per dare i risultati che vedi utilizzo tecniche di odontoiatria estetica adesiva con performanti materiali compositi per otturazioni estetiche. I vantaggi di questa tecnica sono:
· Risultati veloci in una solo seduta
· In modo non invasivo
· Poco costosa
Se ha voglia di migliorare il tuo sorriso ed essere più sicuro di te stesso, adesso sai che lo Studio dentistico del dott. Fabio Ballestrasse di Besana Brianza (MB) ti può essere d’aiuto.

