Ponte vecchio, impianti nuovi
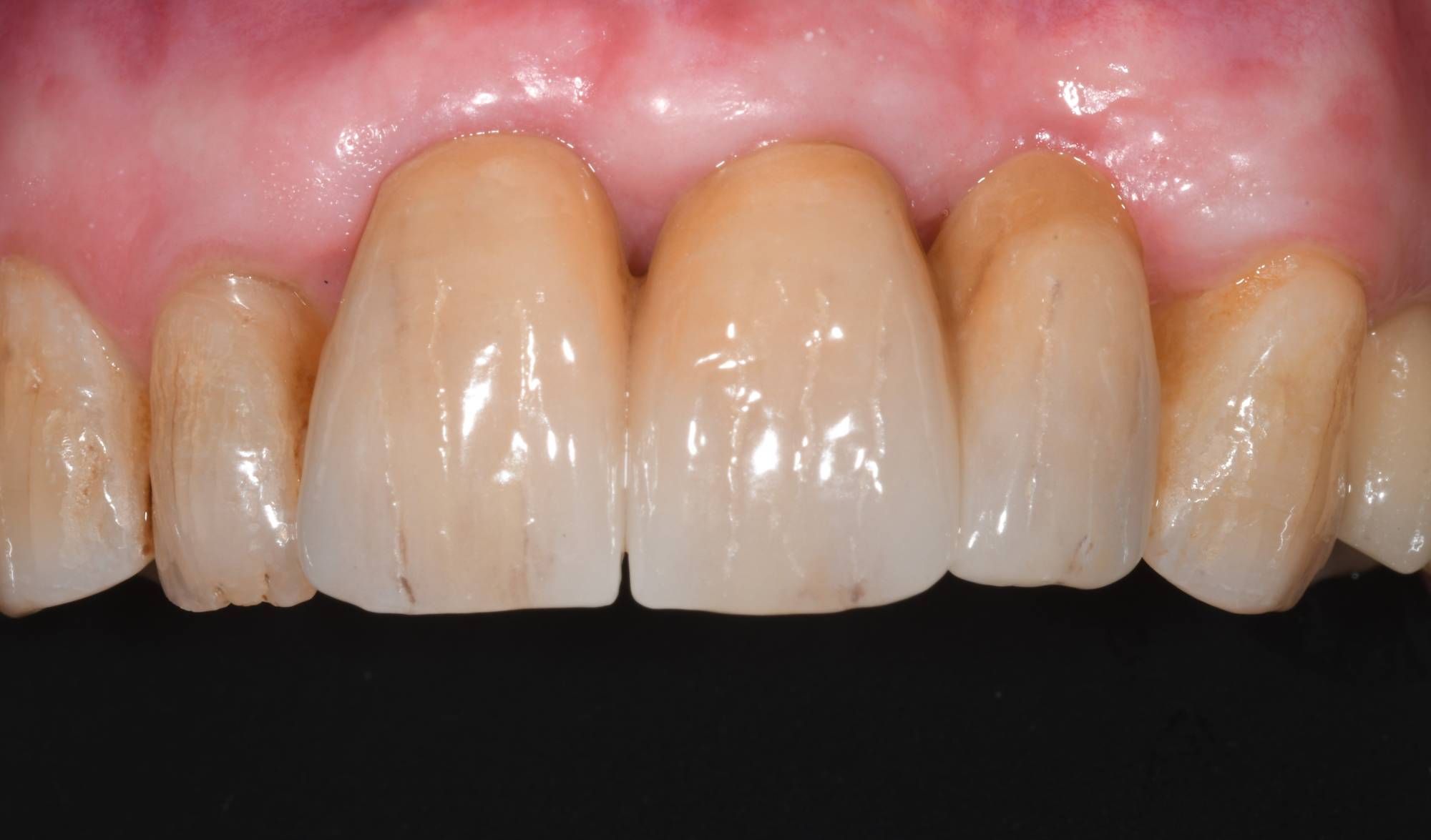
Tutto a posto in questa foto? Premesso che si tratta di una signora anziana, i denti si presentano scuri e “vissuti”, con imperfezioni tipiche di chi quei denti li ha usati a lungo. Le gengive però sono perfette e assolutamente non infiammate.
E se ti dicessi che alcuni di questi denti sono artificiali, addirittura due sono degli impianti? Su quale scommetteresti? Ti sei mai fatto dei problemi a mangiare o sorridere? Alle volte un vecchio ponte sugli incisivi può iniziare a muoversi perché i pilatri sottostanti sono cariati o fratturati. Questo disagio può toglierti la possibilità di masticare normalmente e la voglia di ridere, vista la paura di perderli da un momenti all’alto.
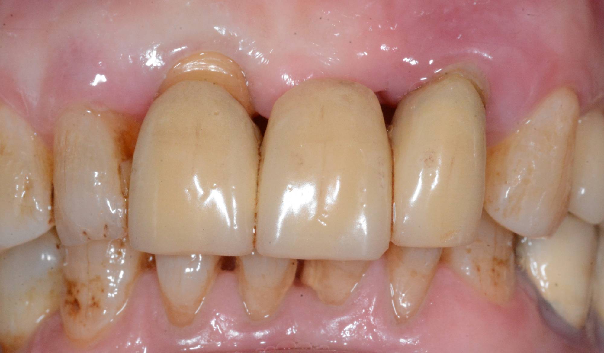
Guarda la foto successiva. Quel ponte di 3 denti sugli incisivi si muoveva così tanto che le rendeva la vita un dramma. Ho dovuto estrarle il vecchio ponte, inserire due impianti osteointegrati e fare quello che noi dentisti chiamiamo “rigenerazione ossea guidata”, per ricostruirle l’estetica naturale che vedi nella prima foto. Solo nella terza, la radiografia, puoi vedere cosa c’è dentro, al posto del suo denti ormai persi.
E il bello è che non è mai stata senza i suoi denti, nemmeno per un giorno. Questo è quello che si fa nello Studio dentistico dott. Fabio Ballestrasse di Besana Brianza, vicino a Briosco e Renate. Fai delle visite di controllo periodiche, cura al meglio i tuoi denti. Ma se proprio li devi sostituire, puoi contare sull’efficacia e sull’aspetto naturale dei nostri impianti dentali.


