Protesi fissa su denti naturali o su impianti?
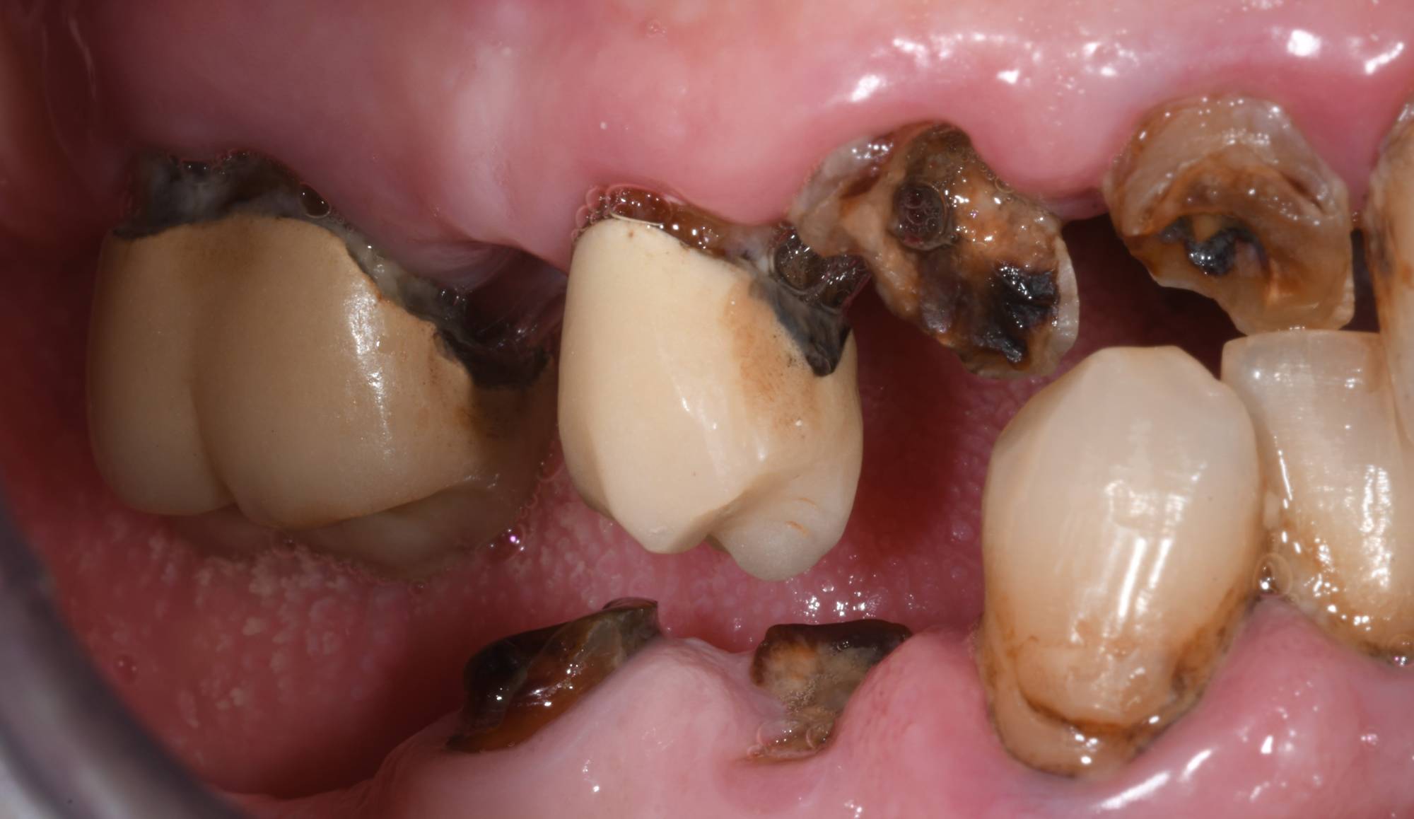
Confronta le foto qui sopra: il paziente necessitava di ripristinare la sua masticazione di destra. Come vedi, nell’arcata superiore aveva vecchie capsule da sostituire e radici da estrarre. Nell’arcata inferiore, due radici da estrarre. Posteriormente era già edentulo, quindi l’unico modo per eseguire una protesi fissa era attraverso quattro impianti, vista l’assenza di pilastri posteriori su cui innestare un ponte fisso.
Superiormente la situazione è diversa. La necessità di mettere delle capsule sui denti naturali suggeriva di sostituire quelli mancanti includendoli in un unico ponte. Tecnicamente degli impianti potrebbero rimpiazzare i denti mancanti, ma visto che i denti vicini vanno comunque incapsulati, appare più sensato optare per un ponte. Questo consentirebbe infatti di ricoprire i denti residui e sostituire i denti mancanti. In questo caso mettere degli impianti sarebbe un “overtreatment”, cioè una terapia non necessaria e più costosa che si può evitare.
Riassumendo, se mancano molti denti e non ci sono pilastri posteriori: impianti. Se ci sono denti naturali residui compromessi e quindi già da incapsulare o con vecchie corone da rifare, meglio un ponte tradizionale.
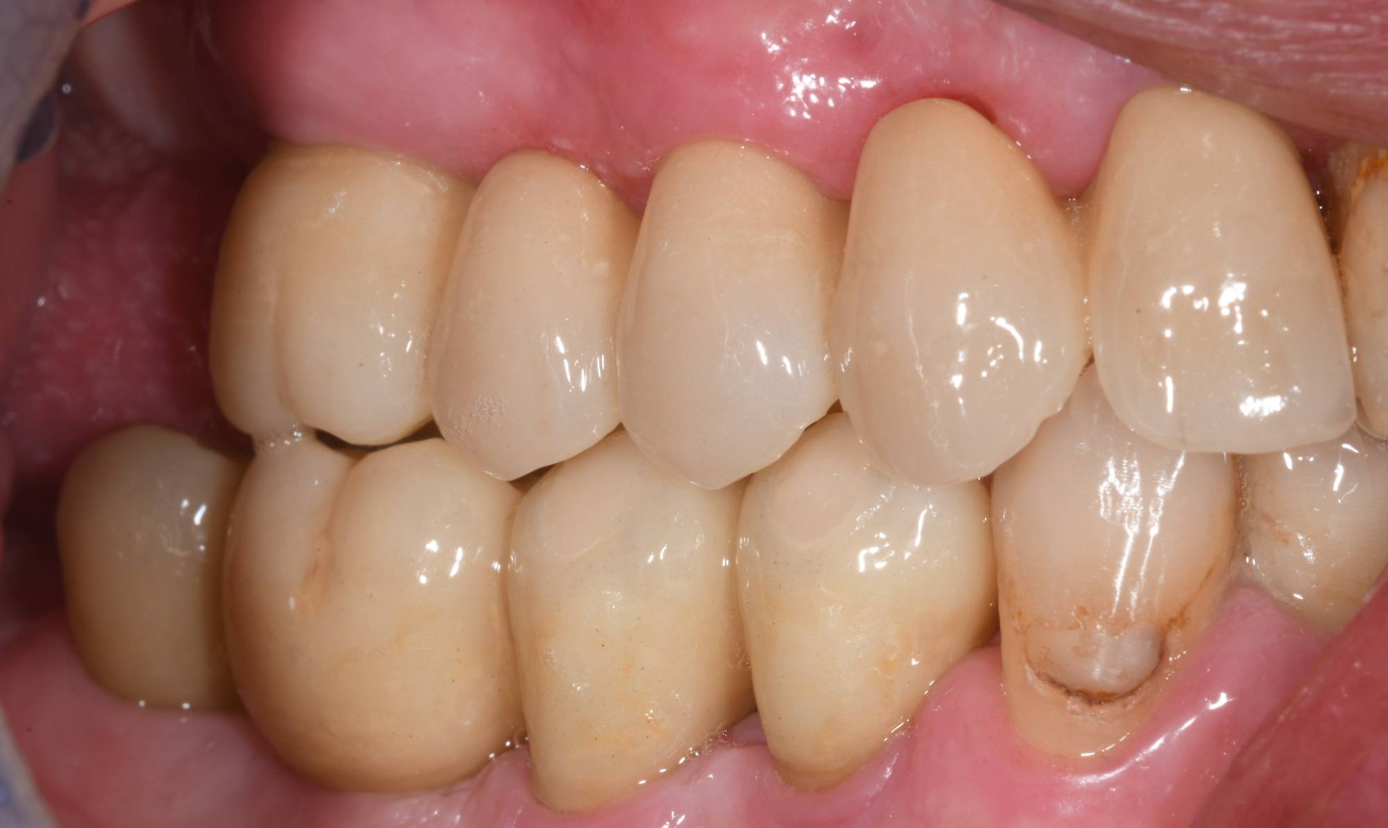
La prima foto mostra che, comunque vengano sostituiti i denti mancanti, se le corone sono eseguite a regola d’arte, l’effetto è tutto sommato naturale. L’importante è affidarsi ad un odontoiatra che si occupa da anni di odontoiatria estetica, come il dott. Fabio Ballestrasse di Besana Brianza.

