Psicologia del sorriso
Nel 2022 è stata condotto uno studio su un campione di 1200 italiani attraverso un monitoraggio online sui principali social network, blog, forum e community dedicate. I risultati rivelano che il 61% lo fa a bocca chiusa.
È quanto emerge da uno studio commissionato da Straumann Group in occasione della Giornata mondiale del Sorriso (7 Ottobre) -effettuato con metodologia WOA (Web Opinion Analysis)- indagine che svela emozioni e abitudini della popolazione e che ha messo in luce le recenti maggiori difficoltà ad esternare le proprie emozioni: il 52% del campione lo fa poco, ostacolati da una disabitudine sviluppatasi in seguito alla pandemia (59%), ma anche per timidezza (66%) o insicurezze legate all’aspetto fisico (46%).
Proprio quest’ultimo è un aspetto che potrebbe essere migliorato e che, secondo l’indagine, induce emozioni negative nelle persone consapevoli di non avere un sorriso curato, quali insicurezza (59%), imbarazzo (43%), vergogna (39%) e malumore (33%).
D’altro canto, una bocca curata fa sentire il 67% del campione più belli, più sicuri con gli interlocutori (55%) e in salute (51%), oltre a migliorare l’autostima (47%).
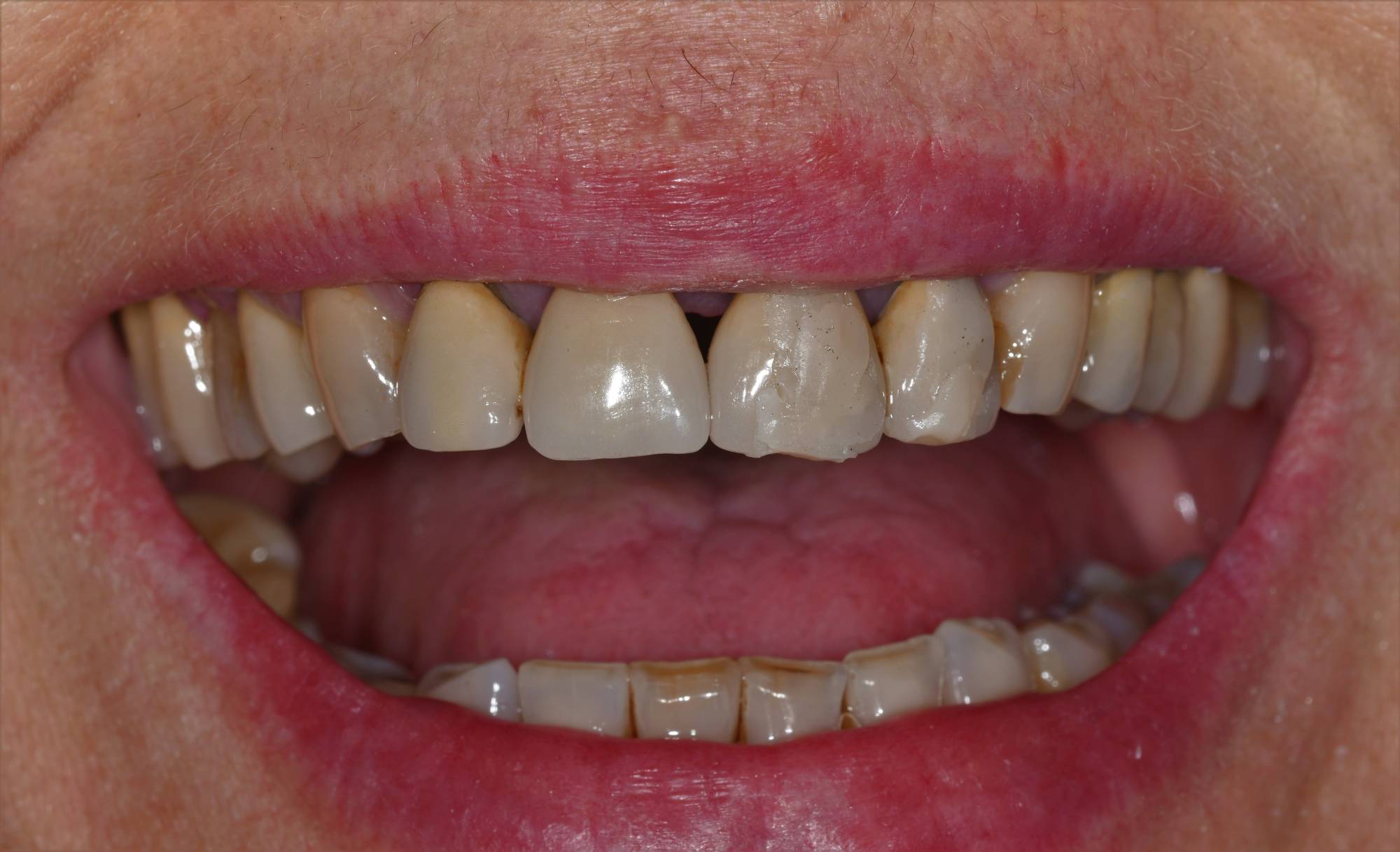
Le foto qui sotto sono esplicative in tal senso: la signora che adesso affronta la vita con energia e voglia di mettersi in mostra (prima foto), prima del mio intervento di riabilitazione protesica estetica si vergognava di sorridere e si dimostrava timida e impacciata. Dal confronto con la seconda foto, puoi capire il senso del sondaggio. Se sei di Seregno puoi venire a Besana Brianza dal dott. Fabio Ballestrasse a migliorare il tuo sorriso.

