Quando si dice quattro denti messi in croce
Riesci ad immaginare come sia difficile masticare quando ti rimangono solo pochi denti? La signora che si era presentata nel mio Studio era esattamente nelle condizioni che vedi nella prima foto. Oltre al lato estetico, ad essere compromessa era la funzione masticatoria. La signora aveva solo quattro denti frontali che si muovevano, e nessun altro elemento posteriore. Persino mangiare le risultava difficile.
Normalmente il destino della paziente sarebbe quello di passare da quella situazione alla classica dentiera. Il suo desiderio era però di avere i denti fissi.
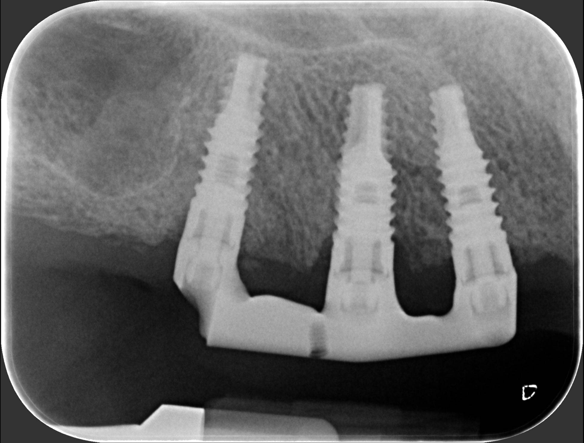
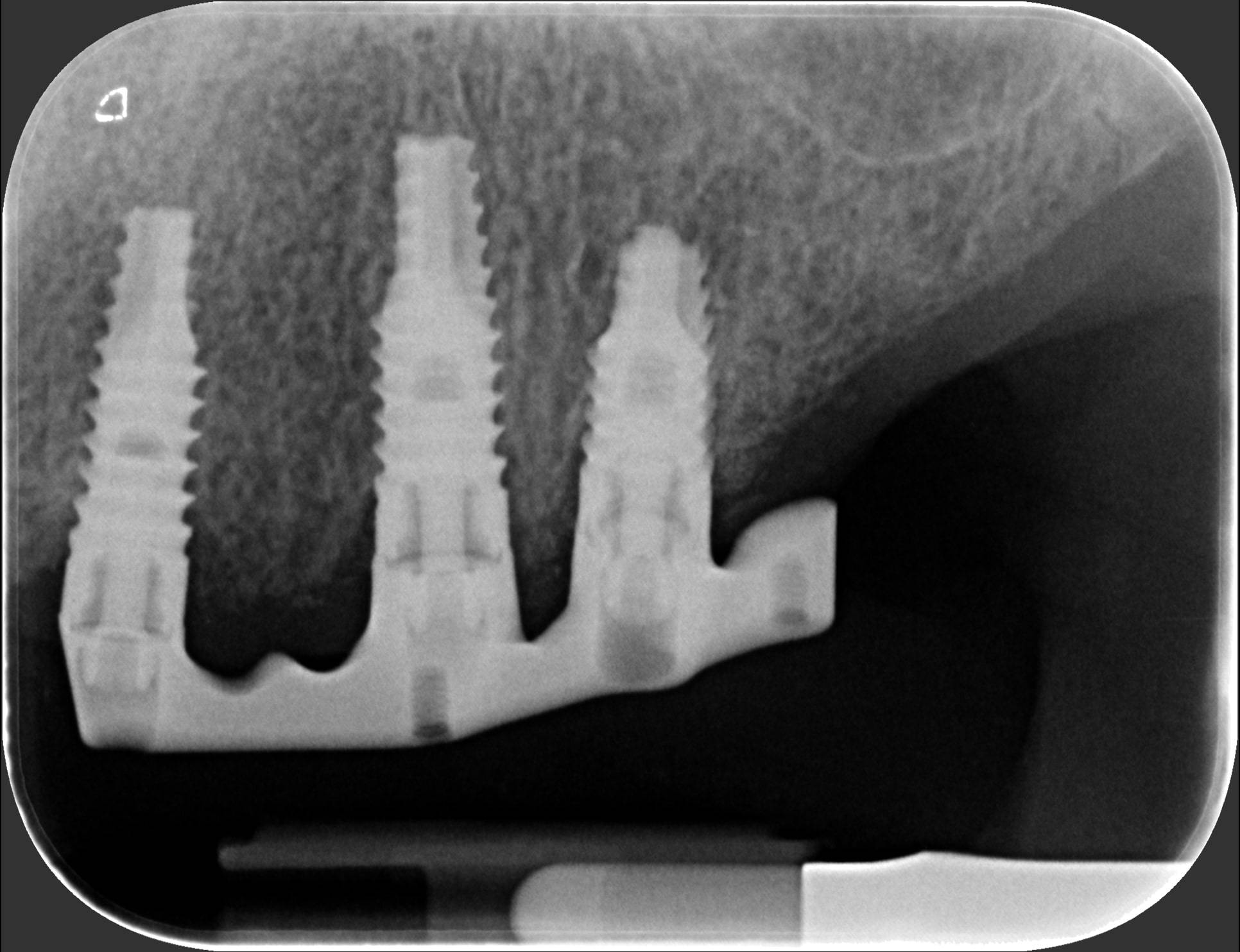
In questi casi la migliore soluzione, dopo aver estratto i quattro denti traballanti, è programmare un numero di impianti sufficiente ad eseguire una protesi fissa. Poi, una volta avvenuta l’osteointegrazione, si prende l’impronta di precisione; un laboratorio specializzato crea successivamente delle strutture metalliche in titanio (quelle che noi dentisti chiamiamo “primarie”), che poi vengono avvitate sugli impianti solidarizzandoli tra loro.
Puoi vedere le radiografie delle due barre avvitate nelle successive due foto. Sopra queste barre viene quindi avvitata l’ampia struttura metallica (che chiamiamo “secondaria”), che porta i denti artificiali di tutta l’arcata. E così, la signora si è ritrovata tutti denti fissi con cui può ridere, masticare e tornare ad una vita finalmente normale. Adesso confronta l’ultima foto con la prima e capirai come l’implantologia può cambiarti la vita in meglio. Questo è ciò a cui miriamo ogni giorno nello Studio dentistico del dott. Fabio Ballestrasse a Besana Brianza e se sei di Barzanò adesso sai a chi rivolgerti.



