Quattro corone per un nuovo sorriso
Il settore frontale della bocca, zona di massima importanza estetica, è il nostro biglietto da visita: se è compromesso, riabilitarlo è una sfida per il dentista perché il vero problema è rendere il risultato non soltanto esteticamente bello, ma soprattutto naturale.
Il rischio è che si creino capsule o faccette in ceramica stile “piastrelle” facilmente riconoscibili come denti finti.
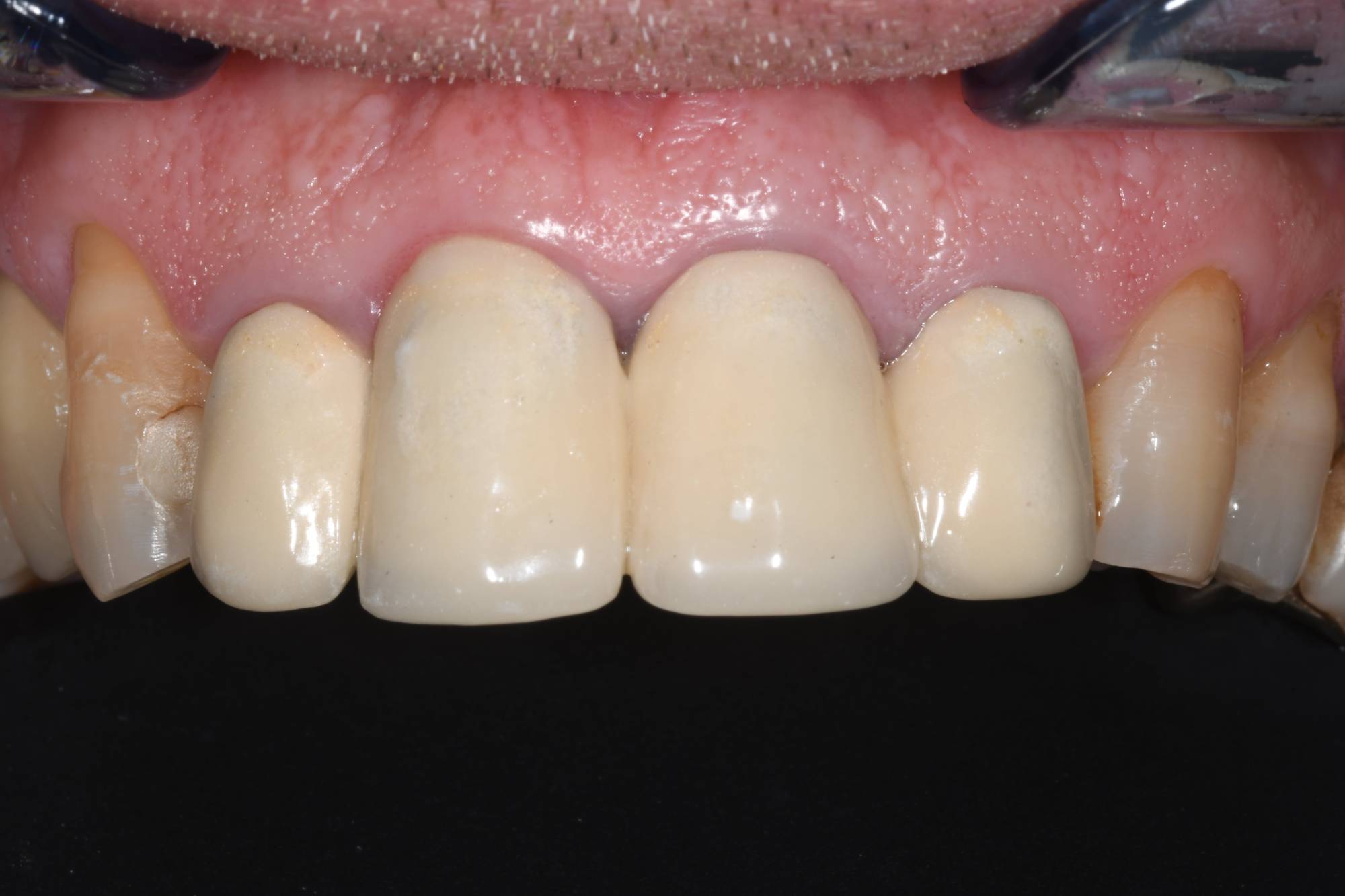
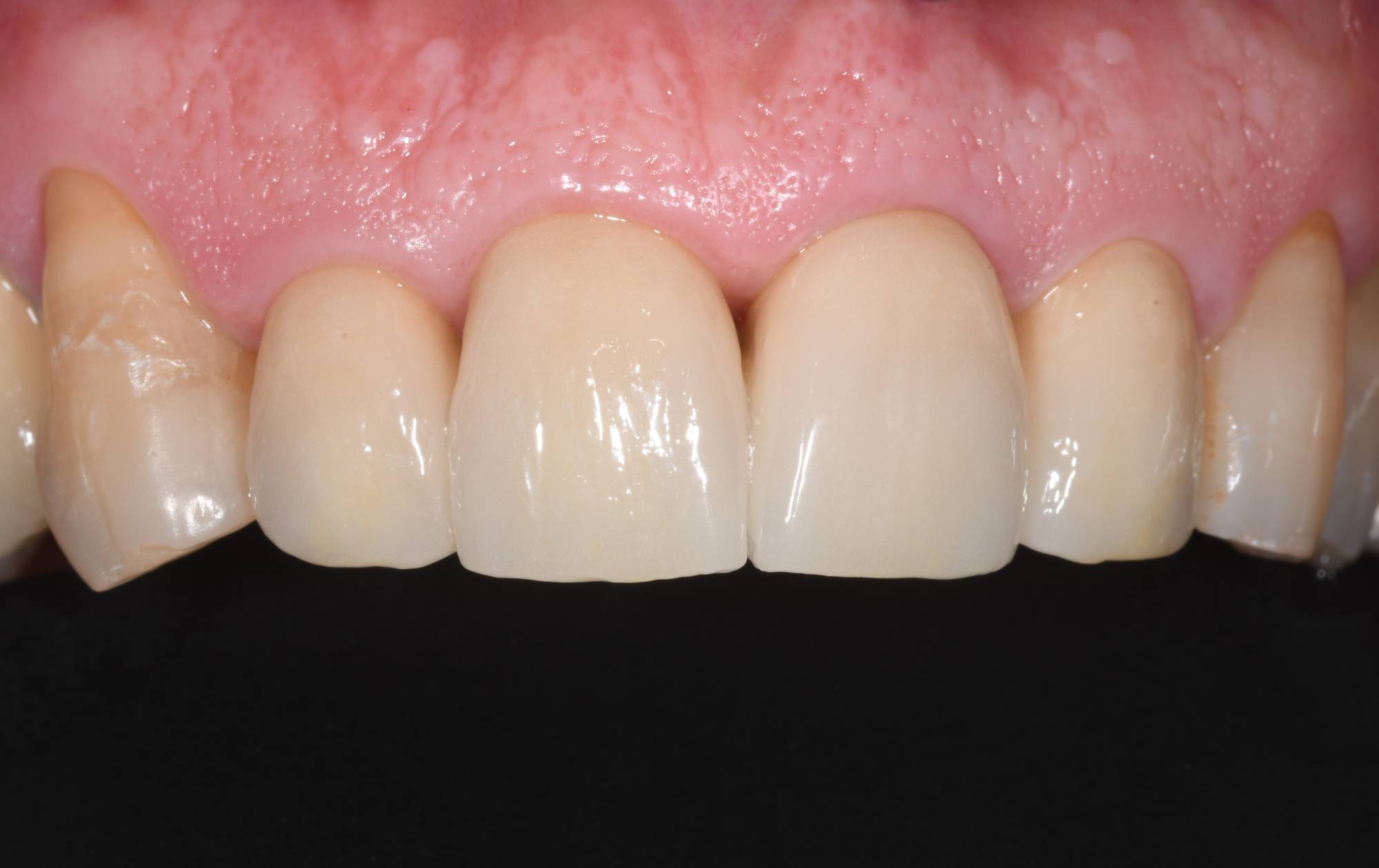
Guarda le foto qui sotto. Il paziente si è presentato nel mio Studio con la zona frontale superiore da restaurare: aveva delle vecchie corone in metallo-ceramica ormai rovinate e inguardabili. Sentendosi a disagio, ha chiesto un miglioramento del suo sorriso. Io ho proposto delle corone in zirconia stratificate in ceramica. Queste, infatti, non permettono di distinguere i denti artificiali da quelli naturali. Adesso guarda l’altra foto e vedrai come è cambiata l’estetica. In quella successiva puoi vedere come sono fatte le 4 corone nuove: non c’è traccia di metallo, solo pura estetica bianca.
La soddisfazione del paziente è pari alla mia: lui si sente più sicuro di sé stesso, a suo agio in mezzo agli altri, e io so di avergli ridato l’armonia nel sorriso e l’autostima persa.
E tu sei soddisfatto del tuo sorriso? O hai un restauro protesico ormai datato? Vuoi fare un lifting al tuo sorriso? Adesso non hai più scuse, hai visto cosa si può ottenere dal dott. Fabio Ballestrasse a Besana Brianza.


