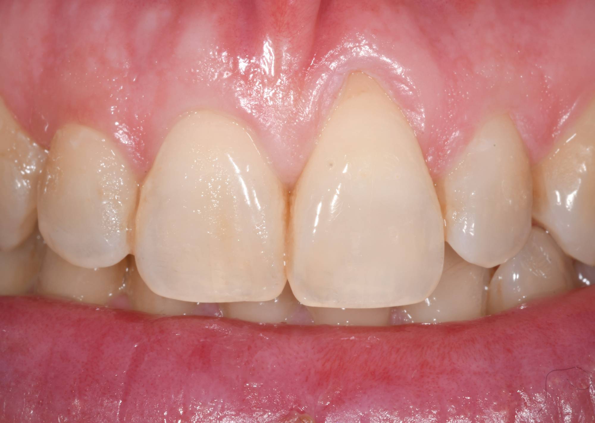
Recessione gengivale ed effetto Dracula
Si parla di recessione gengivale quando le gengive si ritirano, cioè nel momento in cui avviene una migrazione del margine gengivale che lascia scoperta una parte della radice. È una lesione molto diffusa, che all’inizio crea ipersensibilità alle bevande fredde, per poi progredire facendo sembrare il dente sempre più lungo con la gengiva residua che si presenta rossa e sanguinante, con il conseguente effetto Dracula quando si sorride. Basta vede la prima foto: la signora aveva una recessione su un incisivo centrale, provando disagio nel sorridere.
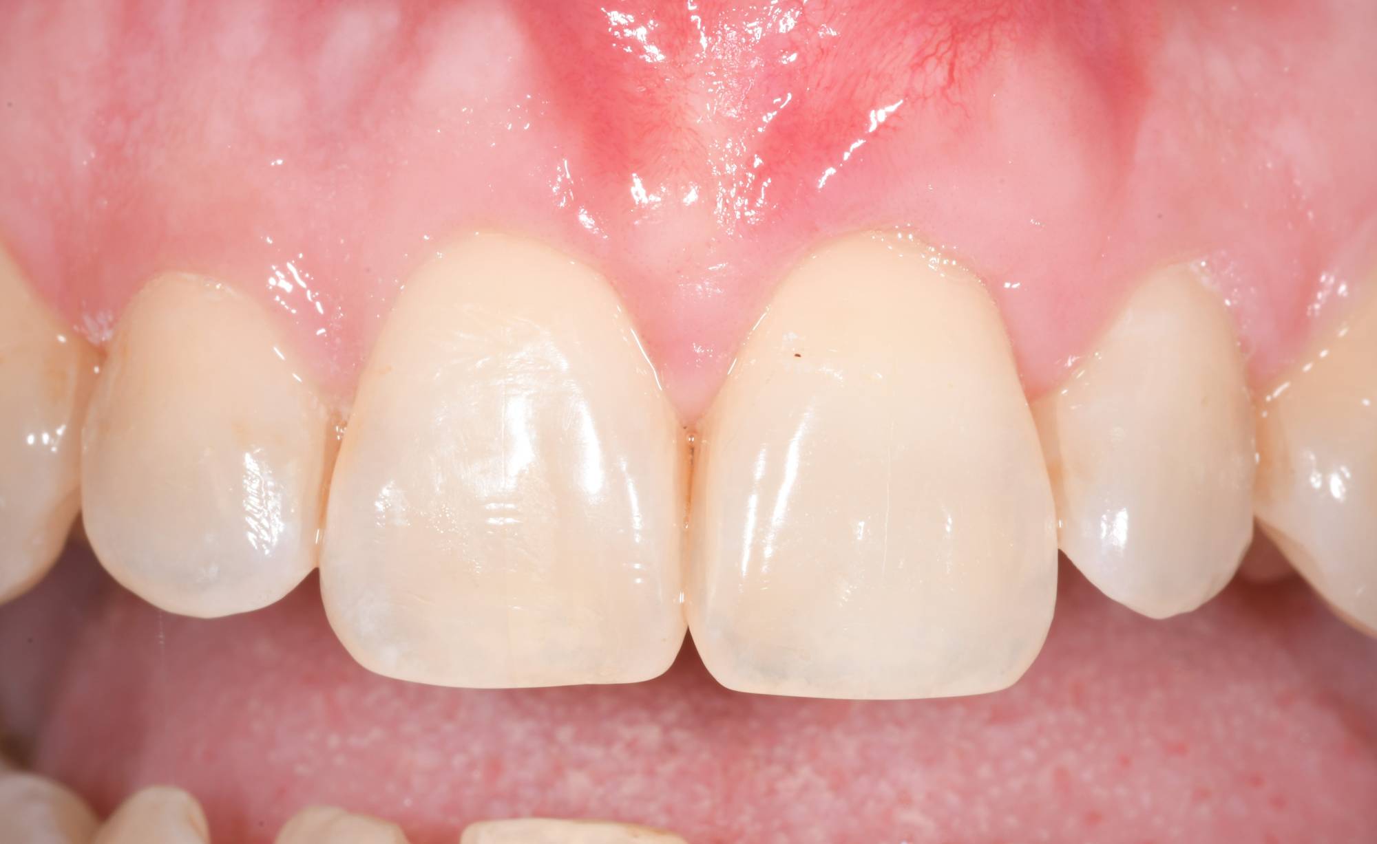
Le due cause principali della recessione gengivale sono la malattia parodontale e lo spazzolamento traumatico con lo spazzolino da denti usato in modo scorretto. Purtroppo le gengive ritirate non possono ricrescere da sole. È solo con un intervento di chirurgia mucogengivale eseguito da un dentista esperto in parodontologia, come il dott. Fabio Ballestrasse di Besana Brianza, che si può riportare la gengiva all’altezza originale. Si effettua spostando la gengiva verso la posizione originale, spesso eseguendo un innesto di gengiva prelevato dal palato per rimpiazzare quella persa. Se ci sono specifiche richieste estetiche, o esigenze specifiche riscontrate dal parodontologo, la chirurgia mucogengivale va eseguita in tempi brevi, come ha fatto la mia paziente. Puoi vedere il risultato nella seconda foto.

