(Ri)tocco magico
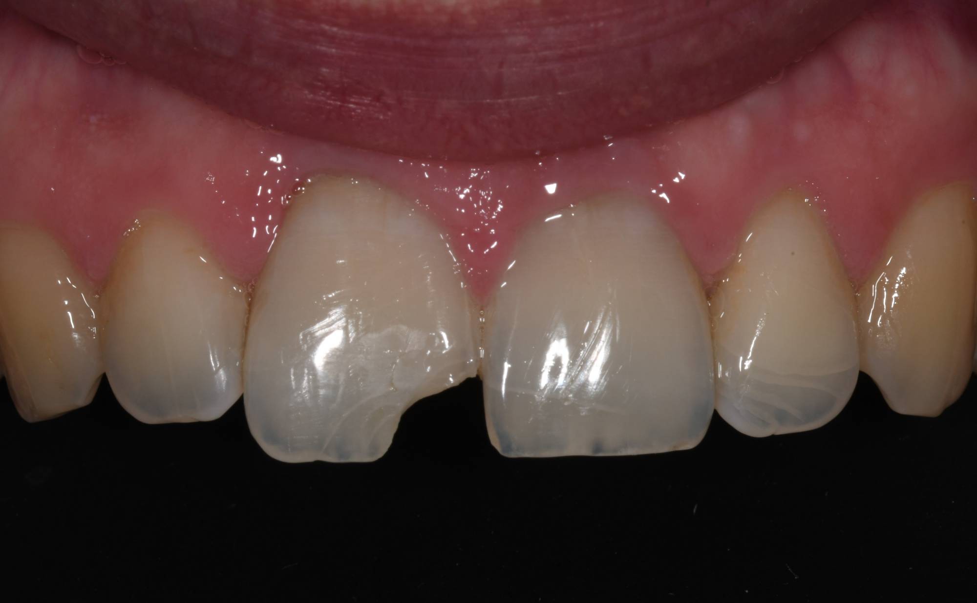
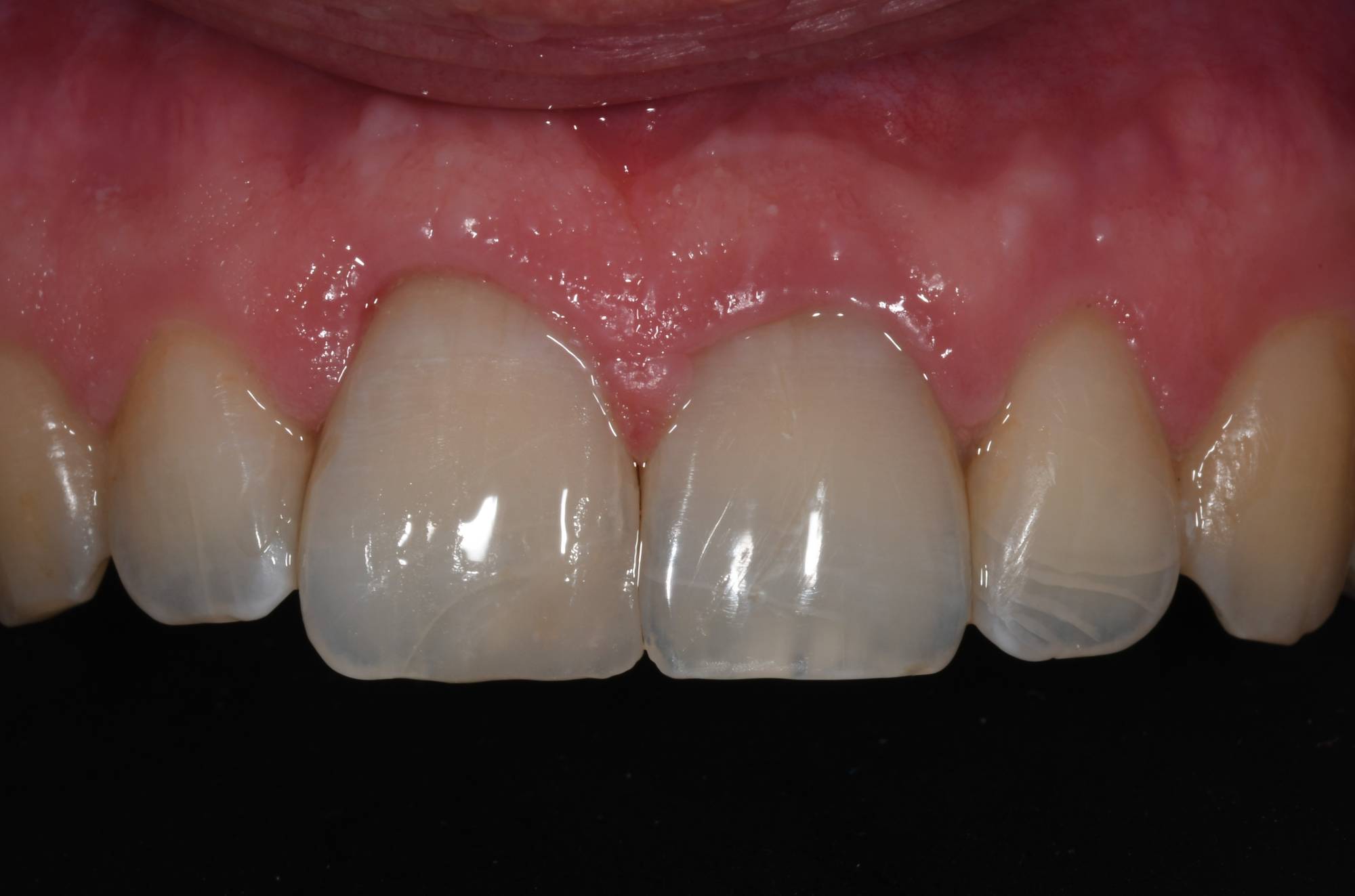
Un bel sorriso è un ottimo biglietto da visita. Purtroppo può succedere che un incidente stradale o in ambiente domestico te lo compromettano. Guarda bene la foto qui sotto: l’incisivo superiore di questo ragazzo era completamente rovinato dopo una caduta, ma grazie all’utilizzo di nuovi e performanti materiali compositi per otturazioni estetiche il problema è stato risolto in un’unica seduta. Il risultato è talmente soddisfacente che non si riesce nemmeno a notare dove finisce il dente e dove inizia la ricostruzione.
Questo è l’aspetto del mio lavoro che più mi dà soddisfazione: ridare la voglia di sorridere alle persone, aumentare la loro autostima, farle sentire più sicure di se stesse.
Hai denti sbeccati? Vecchie otturazioni da rifare? Hai degli spazi tra un dente e l’altro e vuoi chiuderli? In questi casi i vantaggi delle otturazioni dirette in composito sono:
• Risultati veloci in una sola seduta
• In modo non invasivo
• Bassi costi
Lo Studio dentistico del dott. Fabio Ballestrasse a Besana Brianza (MB) è il posto giusto per migliorare il tuo sorriso.

