Ricostruzione diretta o indiretta degli incisivi?
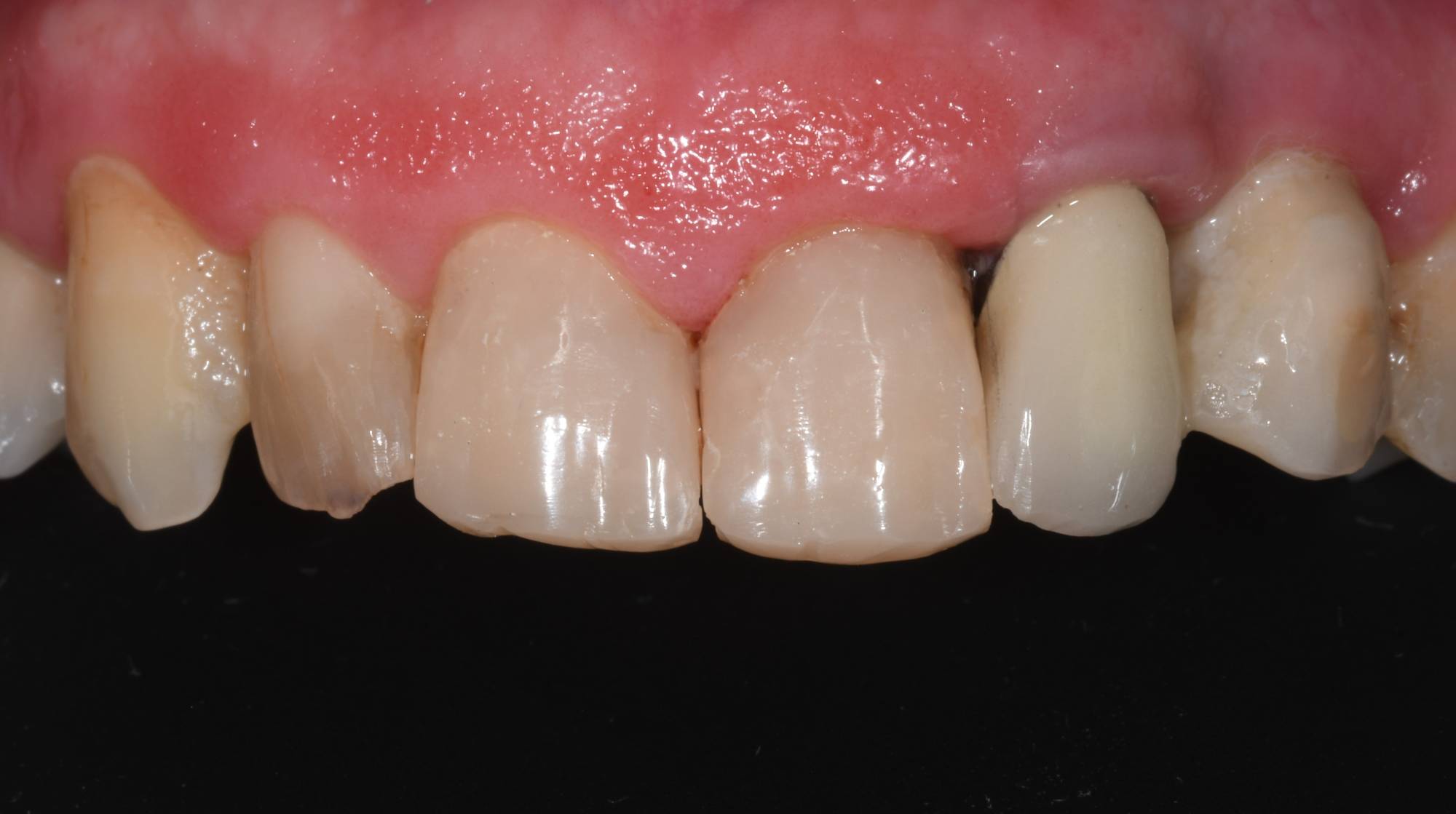
Sorridere con spensieratezza e spontaneità? Non tutti ci riescono. Molte persone si sentono a disagio a causa dei loro denti, per via di imperfezioni dello smalto dentale, che presenta macchie scure e alterazioni di forma o colore. Inoltre più passa il tempo, più la situazione peggiora. A volte tentare di non far vedere i propri incisivi può diventare un’ossessione. Guarda la prima foto: incisivi completamente usurati. Si poteva restaurarli con tecnica indiretta (faccette o corone in ceramica) ma con tempi e costi maggiori, o in modo diretto con materiali estetici da otturazione di ultima generazione. Il paziente ha scelto la seconda soluzione ritrovando la voglia di sorridere dopo solo una seduta in cui gli ho ricostruito lo smalto compromesso. Ha cambiato sorriso, come vedi nella seconda foto, nel giro di un paio d’ore L’aspetto più bello di questo lavoro è stato constatare che ho gli restituito la voglia di sorridere e che l’ho aiutato ad aumentare la sua autostima e sicurezza in sé stesso in una sola seduta. Nel mio Studio di Besana Brianza (MB) per dare i risultati che vedi nella seconda foto si utilizzano nuovi e performanti materiali compositi per otturazioni estetiche. I vantaggi di questa tecnica sono: • Risultati veloci in una sola seduta • In modo non invasivo, senza anestesia • Poco costosa Se anche tu desideri migliorare il tuo sorriso e ritrovare il piacere di stare con gli altri, lo Studio del dott. Fabio Ballestrasse a Besana Brianza è quello che fa per te.



