Ritorno al futuro
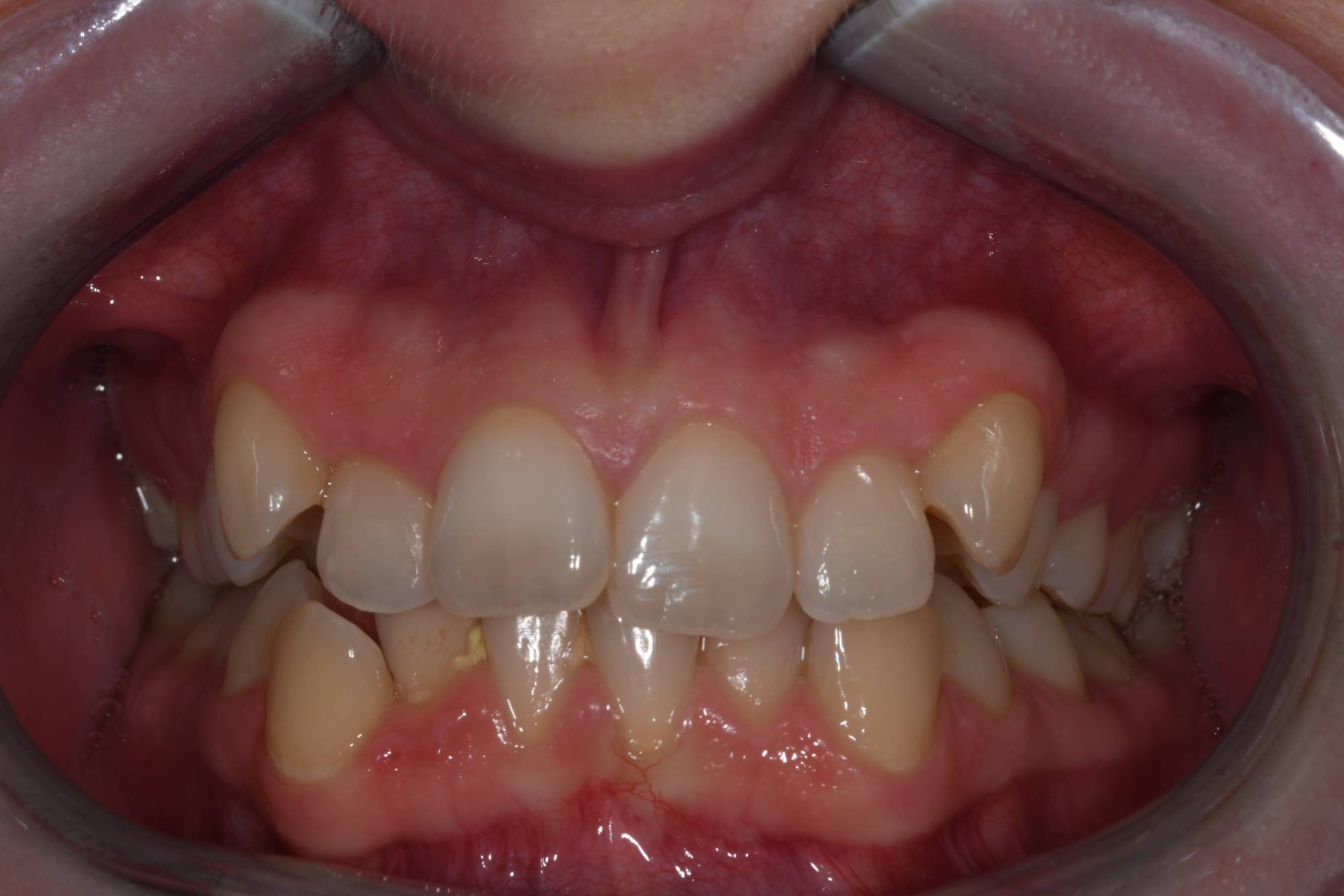
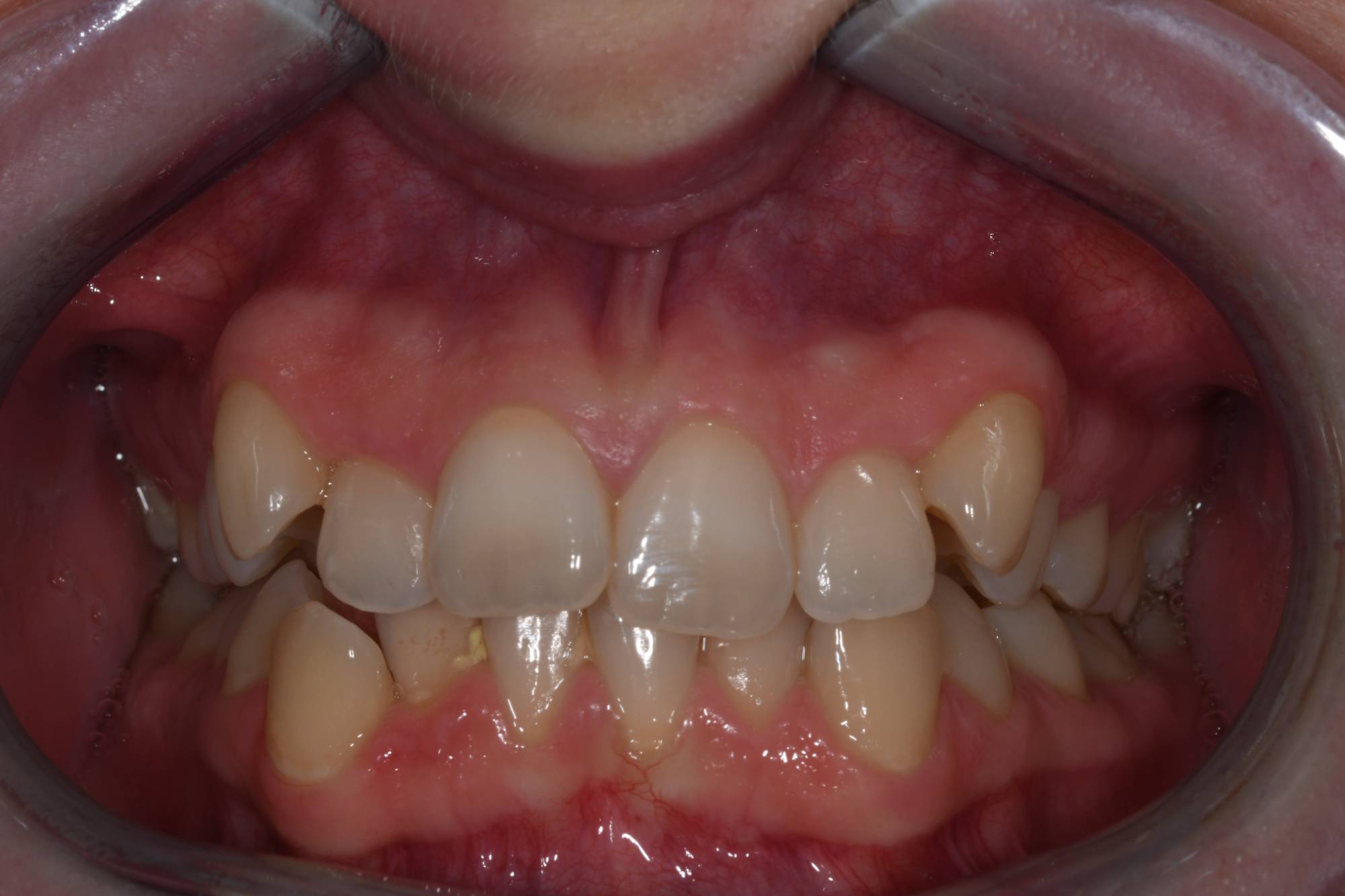
La foto dei denti che vedi appartiene ad una giovane ragazza bionda e carina. O meglio, apparteneva a quella ragazza, prima che si sottoponesse ad un trattamento ortodontico nel mio Studio a Besana Brianza per raddrizzare i suoi denti. Non solo la sua masticazione non era corretta, ma i denti anteriori erano sovrapposti e disallineati. Una condizione non complicata dal punto di vista ortodontico, ma che le rendeva la vita sociale imbarazzante. Infatti mi ha confessato che non sorrideva mai, si vergognava del suo aspetto estetico e si sentiva insicura di sé stessa. Nel suo album fotografico dei ricordi, non aveva nemmeno una foto in cui sorrideva. Hai una vaga idea dell’impatto psicologico del suo disagio? Viveva ogni situazione con timidezza.
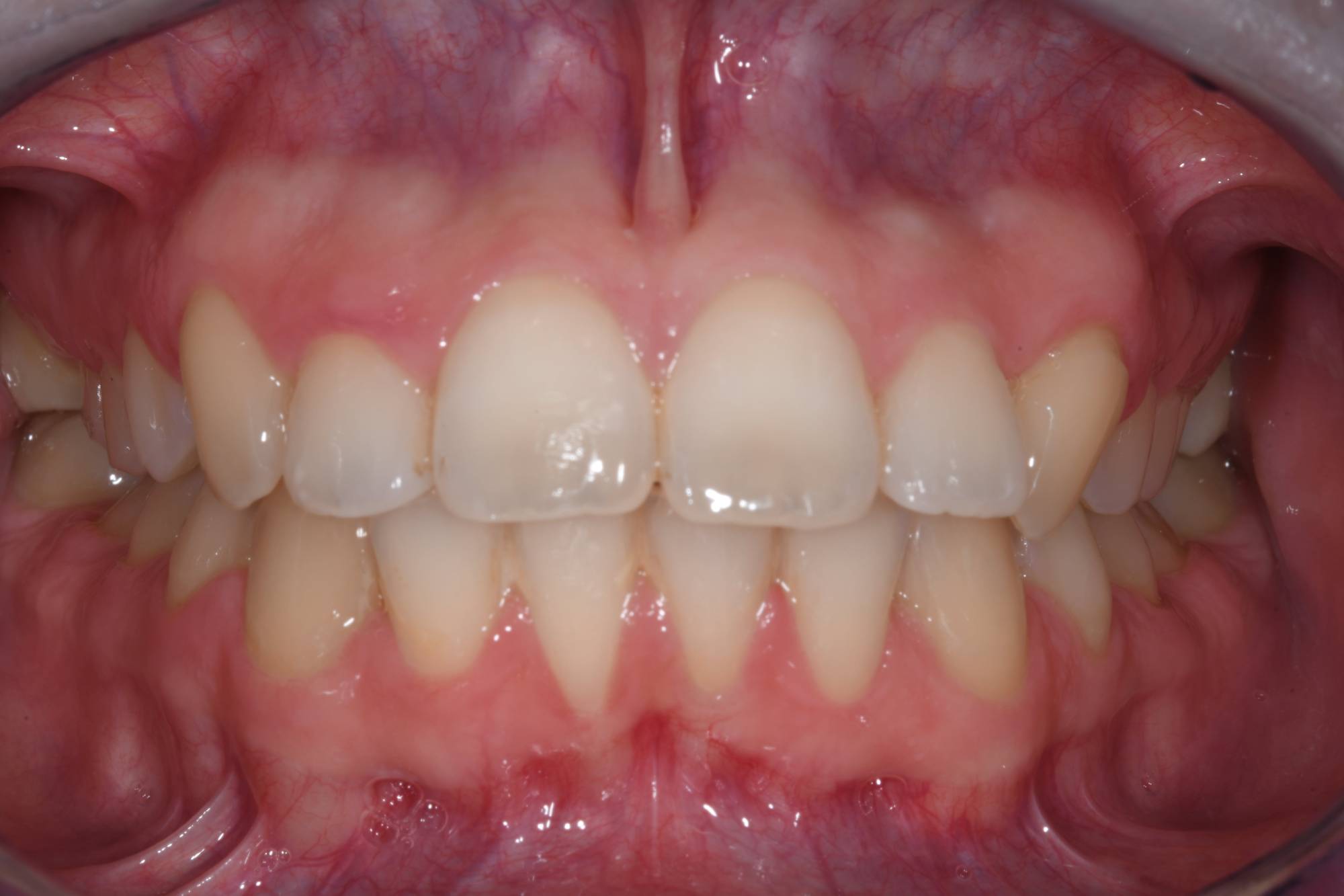
Ho applicato i brackets (gli attacchi metallici) sui denti. Dopo 12 mesi di terapia ortodontica abbiamo ottenuto il risultato che puoi vedere nell’altra foto. La masticazione adesso è corretta e i denti anteriori, superiori e inferiori, sono allineati. Ora può sfoggiare un sorriso smagliante e recuperare rispetto a tutte le foto che non ha osato scattarsi: un vero ritorno al futuro! La soddisfazione della paziente è enorme: masticazione più funzionale, migliore estetica e maggiore fiducia in sé stessa, finalmente adesso affronta la vita con più grinta.
Se anche tu hai problemi di masticazione ed estetica non esitare a chiedere una consulenza al dott. Fabio Ballestrasse a Besana Brianza (MB). Un bel sorriso può cambiarti la vita ed è il tuo miglior biglietto da visita.

