Sbiancamento dentale
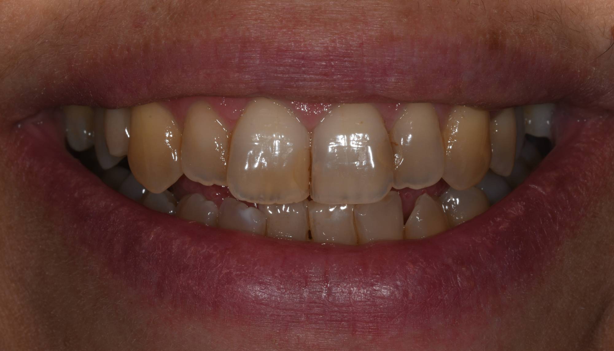
La giovane signora che vedi nella prima foto sorride con allegria e sicurezza, ma prima dello sbiancamento si faceva problemi a farlo, infatti guarda nella seconda foto di che colore erano i suoi denti. L’ingiallimento dei denti è dovuto all’alterazione della struttura minerale dello smalto che nel tempo diventa più poroso, inoltre i pigmenti batterici e alimentari macchiano i denti e ne riducono la brillantezza. I dentifrici sbiancanti riescono a rimuovere le macchie più superficiali, ma un loro uso continuativo può addirittura peggiorare l’estetica perché la loro azione abrasiva può assottigliare lo smalto e far affiorare la dentina sottostante, che è giallastra. Lo sbiancamento dentale professionale è la soluzione sicura per ritrovare un sorriso più brillante, con effetto immediato. Si sfrutta l’azione di un gel sbiancante che attiva un effetto schiarente all’interno del dente senza rovinarlo. Il gel è efficace solo sullo smalto naturale, per cui non ha effetto su otturazioni o protesi preesistenti. Come puoi notare infatti sarà necessario sostituire le vecchie otturazioni sugli incisivi per uniformarle al nuovo sorriso. Per il trattamento domiciliare basta prendere delle impronte. Si realizzano 2 mascherine su misura di morbida plastica trasparente e si inserisce il gel sbiancante per alcune ore al giorno e nel giro di 2 settimane si ottiene un sorriso smagliante. Se anche tu vuoi un sorriso che ti faccia notare, adesso sai cosa fare.

