Sorridi con spensieratezza
Vuoi ottenere un sorriso smagliante senza interventi invasivi e costosi anche se hai vecchie otturazioni ingiallite?
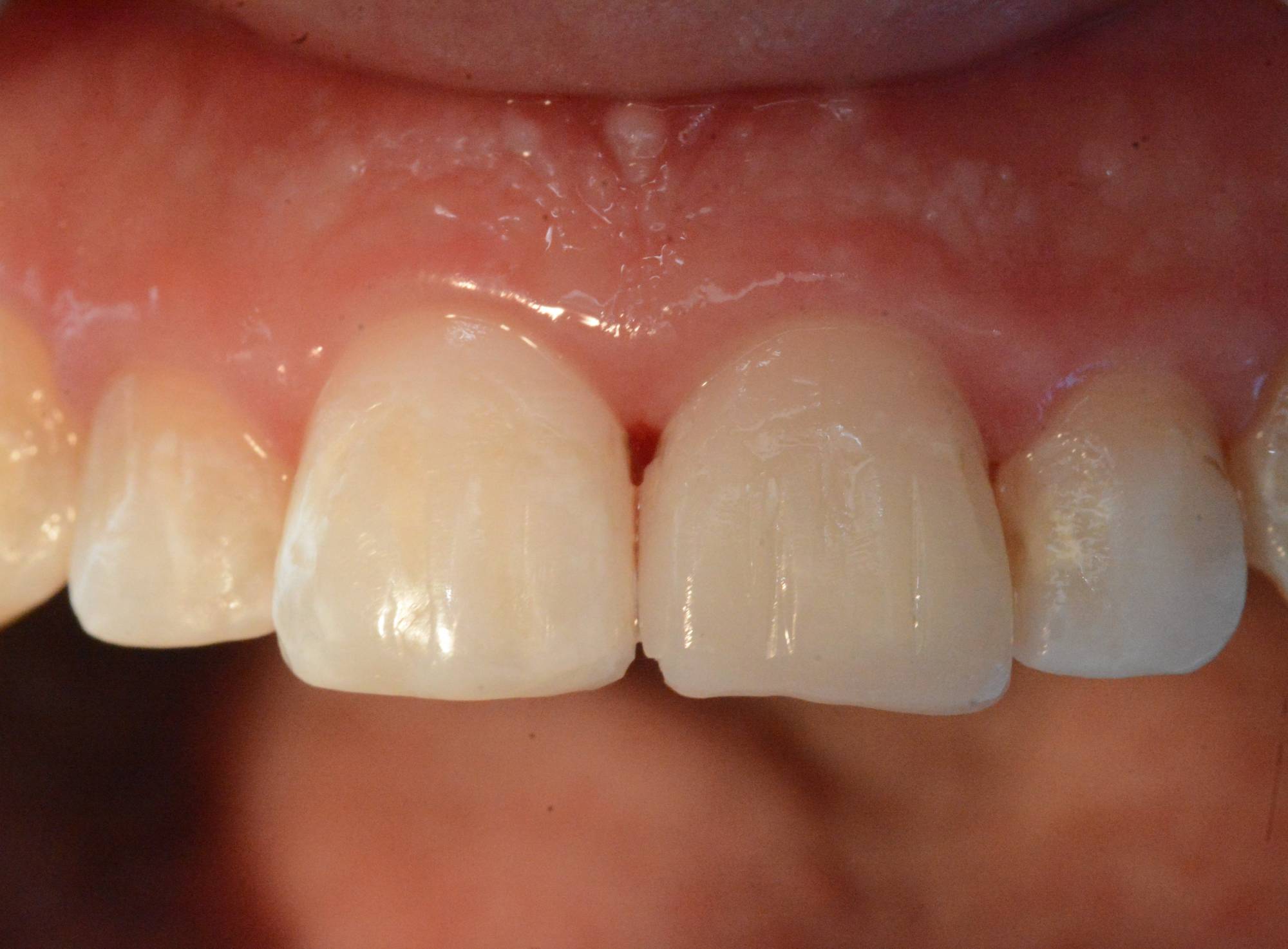
Ridere fa star bene e un bel sorriso è un ottimo biglietto da visita per avere successo nella vita. Alcune persone sorridono a denti stretti perché si vergognano dei loro denti a causa di vecchie otturazioni scolorite, scure, sbeccate. Non vedono l’ora di tornare a ridere, mangiare e divertirsi in compagnia. Guarda le foto qui sotto: una giovane ragazza ha trovato la voglia di sorridere dopo che le ho sostituito la vecchia otturazione di un incisivo superiore. Questo è l’aspetto più bello del mio lavoro qui a Besana Brianza: ridare la voglia di sorridere alle persone, aumentare la loro autostima, farle sentire più sicure di se stesse. Per dare i risultati che vedi nella seconda foto utilizzo nuovi e performanti materiali compositi per otturazioni estetiche. I vantaggi di questa tecnica sono:
• Risultati veloci in una solo seduta
• In modo non invasivo
• Poco costosa
Se ha voglia di migliorare il tuo sorriso e ritrovare il piacere di stare con gli altri, il dott. Fabio Ballestrasse di Besana Brianza ti aiuterà.

